纵隔感染是指发生于纵隔结缔组织或淋巴组织的弥漫性蜂窝组织炎性改变,可分为:急性纵隔炎、慢性纵隔炎及纵隔脓肿。临床上可出现发热、寒战、白细胞增高等严重中毒症状,甚至可发生休克,还可出现胸骨后胸痛、吞咽困难等症状;如累及喉返神经可出现声音嘶哑;如压迫上腔静脉可出现颜面水肿、颈静脉怒张等。
一、急性纵隔炎
多由链球菌和葡萄球菌感染所致。主要病因(约90%)为食管穿孔或破裂后感染,其他原因包括口咽部及颈深部化脓性感染下行进入纵隔,邻近组织如肺、胸膜、心包等化脓性感染直接蔓延,腹膜后感染向上扩散至纵隔,医源性损伤或并发症,其他部分感染血行扩散及胸部贯通伤等。食管穿孔引起的纵隔炎常并发胸腔积液,以左侧多见,并可迅速发展成脓胸。若同时有空气进入纵隔可并发纵隔气肿或脓气胸,气体还可沿疏松结缔组织形成皮下气肿。早期局限性病变可无任何X线检查表现,病变进一步发展,X线检查可表现为纵隔影增宽、边缘模糊,有时可见纵隔内气体影并蔓延至颈部;短期内X线检查动态复查可见病变变化较快;CT检查可清晰显示纵隔内软组织弥漫性浸润及纵隔内气体影,并可见纵隔内及胸膜下正常脂肪线影模糊或消失,提示炎性渗出;MRI检查炎性病变及渗出液在T1WI上呈低信号,T2WI上呈高信号,还可显示纵隔内血管受压、狭窄等改变。
二、慢性纵隔炎
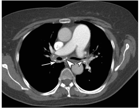
少见,多由组织胞浆菌病、结核感染所致,也可由急性纵隔炎发展而成,常见于前纵隔,病理上主要表现为肉芽肿、纤维化或两者并存,可分为纤维性纵隔炎(硬化性纵隔炎)和肉芽肿性纵隔炎。影像学大多表现为纵隔内肿块影和周围组织如气管、食管和血管的包绕压迫性改变(图1)。

图1 慢性纵隔炎
患者,女,59岁,胸部CT增强扫描纵隔窗示纵隔隆突下及双肺门区多发软组织密度影(白箭),内伴多发斑点状钙化(白箭头),病变包绕双侧支气管及肺动脉;肺动脉主干增宽,提示肺动脉高压。
三、纵隔脓肿
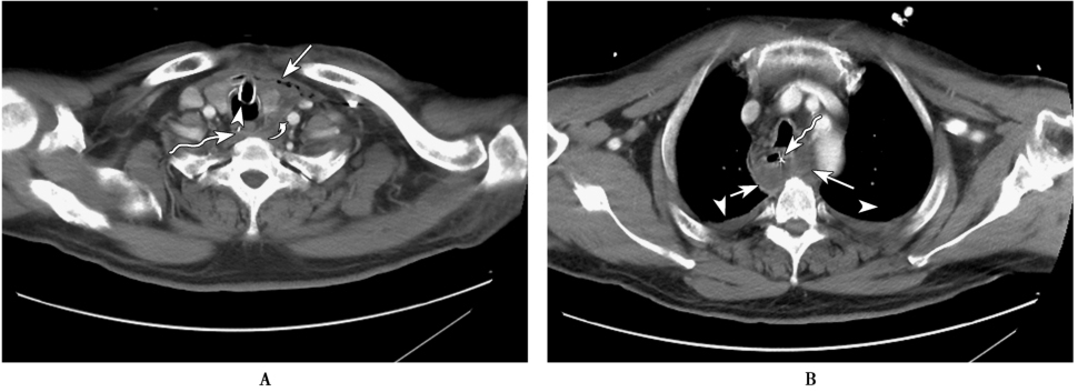
纵隔脓肿是一种发展迅速的致死性疾病,病死率高达40%~50%。纵隔中上段脓肿形成主要是牙源性感染、咽旁隙及咽后隙感染下行或是上段食管损伤及中上纵隔感染本身引起;下纵隔脓肿形成主要源于下段食管损伤,常并发单侧或双侧胸腔感染。纵隔脓肿X线检查可表现为向一侧或双侧纵隔突出的阴影,若与气管或食管相通则可出现气-液平面;CT可清晰显示纵隔脓肿的部位、范围、脓肿壁、气-液平面及其与周围结构的关系,增强扫描可见脓肿壁强化(图2);MRI增强检查亦可见脓肿壁明显强化。

图2 纵隔脓肿
患者,男,58岁,发热1周。A.胸部CT增强扫描纵隔窗示甲状腺左叶左旁与左侧颈总动脉间(白弯箭)液性渗出影,纵隔内多发游离气体密度影(白箭),气管(白箭头)及食管内(波浪箭)分别见插管影;B.胸部CT增强扫描纵隔窗示食管左侧及后方(白箭)包裹性液性渗出影,囊壁轻度强化,食管内(波浪箭)见置管影,双侧胸腔内少量积液(白箭头)。
慢性纵隔炎有时需与纵隔肿瘤相鉴别,通常各纵隔区肿瘤各具其病理及形态学特点,而纵隔炎症范围较广泛并缺乏肿瘤特点。
北京协和医院放射科主任助理,副主任医师,北京医学会放射学分会心胸学组委员,中国医学影像技术研究会咨询工作委员会秘书。2005年7月毕业于中国协和医科大学临床医学八年制专业,获得博士学位,同年进入北京协和医院放射科工作。目前主要从事呼吸系统肿瘤、感染性疾病、肺栓塞、胸部疑难杂症和肺间质病变的影像诊断工作。
免责声明
内容来源于人卫知识数字服务体系、人卫inside知识库,其观点不反映优医迈或默沙东观点。 此服务由优医迈与胤迈医药科技(上海)有限公司授权共同提供。
如需转载,请前往用户反馈页面提交说明:https://www.uemeds.cn/personal/feedback
人卫知识数字服务体系
Copyright © 2025 Merck & Co., Inc., Rahway, NJ, USA and its affiliates. All rights reserved.