60岁男性,慢性起病,以咳嗽、咳痰伴气促为主要表现,起病时有发热,外院予抗感染治疗后体温正常,但肺部病灶无明显吸收。外院多次查肺CT及PET/CT提示右肺中叶斑片影,两肺下叶多发结节影、条索影、斑片影,局部支气管扩张。该患者有类风湿关节炎及糖尿病病史。其所患何病?
【病例简介】
患者男性,60岁,私企老板。因“咳嗽、咳痰、气急半年余”入院。患者于2017年12月初开始出现咳嗽、咳痰,咳白色黏液痰,时有少许痰中带血丝,伴活动后气急、发热,体温在37~38℃,口服抗生素(具体不详)治疗后无好转。2017年12月16日于当地医院查胸部CT(图1A、B)示:“右肺中叶占位,两肺下叶结节,右肺中下叶及左肺下叶支气管扩张伴感染”。后在当地市中医院诊治,予抗感染、祛痰等治疗一周后体温正常,咯血止,但仍有咳嗽、咳痰。2017年12月24日再次于当地医院住院治疗,查胸部增强CT(图1C、D)报告“两肺弥漫性病变,较前片对比进展”。后转至上海某肿瘤医院,2018年1月3日行PET/CT示“右肺中叶及两肺下叶多发斑片致密影,结节影,条索影,FDG代谢略高”。予以“头孢类+左氧氟沙星”规律抗感染治疗4周,于2018年2月2日复查胸部CT提示双肺病灶无吸收。继续给予“哌拉西林/舒巴坦+阿奇霉素”抗感染治疗2周,仍有咳嗽、咳痰,且活动后气急明显。于2018年2月19日复查CT(图1E、F)报告“两肺炎症伴结节,两侧胸膜增厚,右肺中叶病灶较前有所吸收,双下肺病灶无吸收”。为进一步诊治,于2018年3月2日入我科。


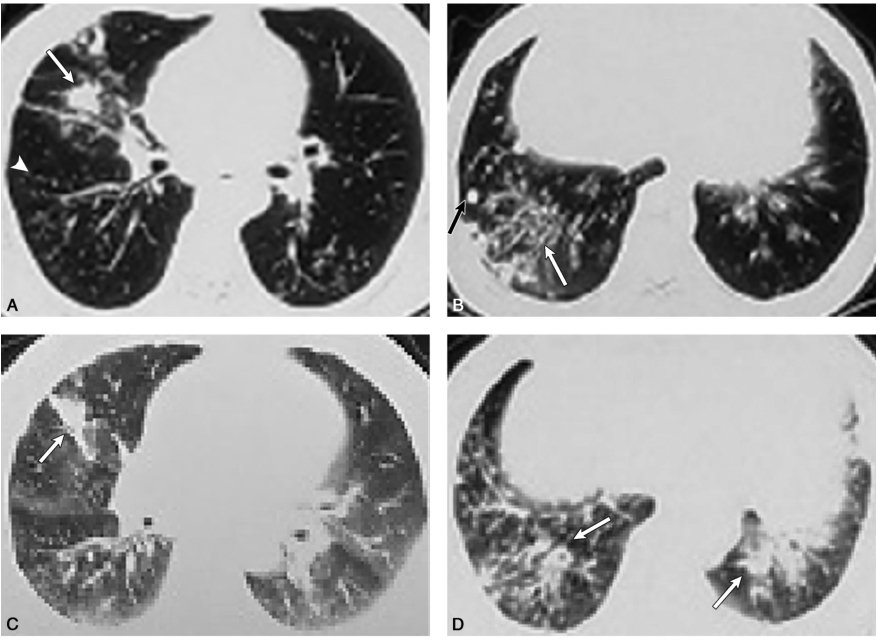
图1外院不同时间点胸部CT扫描提示:双肺弥漫性细小结节影(白箭头),斑片影、实变影呈一定的游走性(白箭),并牵拉性支气管扩张和管壁增厚(白箭),近胸膜下多发实性结节影(黑箭)外院胸部CT平扫时间:2017-12-16(A、B);2017-12-24(C、D);2018-02-19(E、F)
入院查体
T 37℃,P 78次/min,R 20次/min,BP 120/70mmHg,MEWS评分1分,身高176cm,体重73.5kg,指脉氧饱和度99%。全身皮肤、黏膜未见异常,无肝掌,全身浅表淋巴结无肿大。胸廓对称无畸形,胸骨无压痛;触觉语颤对称,未触及胸膜摩擦感,双肺叩诊清音,呼吸音粗糙,未闻及干、湿性啰音,未闻及胸膜摩擦音。心率78次/min,律齐,A2>P2,各瓣膜听诊区未闻及杂音。腹平坦,腹壁软,全腹无压痛及反跳痛。双下肢无水肿,四肢肌力正常。指(趾)间关节呈梭形肿胀及天鹅颈样畸形(图2)。

图2双手指间关节呈梭形肿胀及天鹅颈样畸形
A.手背;B.手掌
既往史及个人史
有糖尿病史2年,平日空腹血糖7~8mmol/L,服用“格列吡嗪”,血糖控制理想。有类风湿关节炎10余年,未规律服用药物治疗,近年停药。否认吸烟史及毒物接触史。否认粉尘接触史。无食物、药物过敏史。
初步诊断
1.肺部阴影待查
2.类风湿关节炎
3.糖尿病
【病例解析】
问题1:患者双肺多发阴影是否为感染性病变?
患者病情有如下特点:①中老年男性;②慢性起病,以咳嗽、咳痰伴气促为主要表现,起病时有发热,外院予抗感染治疗后体温正常,但肺部病灶无明显吸收;③外院多次查肺CT及PET/CT提示右肺中叶斑片影,两肺下叶多发结节影、条索影、斑片影,局部支气管扩张;④有类风湿关节炎及糖尿病病史。对于发热伴肺部阴影的患者,首先需要鉴别感染性疾病和非感染性疾病,而感染性疾病又包括原发肺部感染和肺外感染累及肺部。入院后详细的病史采集及体格检查发现,患者无肺外器官感染以及脓毒症的表现。因此如果考虑感染性疾病,则需要进一步排查原发肺部感染的可能性,其中明确何种病原体感染至关重要。该患者病程较长,因此普通细菌感染可能性小,而一些特殊病原体、缓慢生长的真菌、结核与非结核分枝杆菌等感染尚不能排除。非感染性疾病主要应考虑肺癌、肺淋巴瘤或类风湿关节炎的肺部累及等。为明确诊断,入院后完善以下检查:
辅助检查
动脉血气分析:pH:7.41,PaO2:68.6mmHg,PaCO2:38mmHg,SaO2:93.9%。
ESR:4mm/h,PCT:0.02ng/ml,CRP:<3.13mg/L。
血常规:白细胞:4.37×109/L,血红蛋白:147g/L,中性粒细胞:48.3%,淋巴细胞:36.4%,血小板:115×109/L,嗜酸性粒细胞:176×106/L。
吸入物、食入物变应原筛查结果:均阴性。
自身免疫系列:抗核抗体:阳性+,滴度1∶100,核型:颗粒型;抗中性粒细胞胞浆抗体等其他免疫标志物结果:阴性。
呼吸道病原体IgM抗体九联检测、T-SPOT.TB、G试验:均阴性。
RF(IgA/IgG/IgM)、CCP抗体、ASO结果:均阴性。
肿瘤标志物:糖类抗原125:65.73U/ml,余阴性。
HIV抗体、RPR结果:阴性。
IgE:1716ng/ml,IgA:5.39g/L。
肺泡灌洗液(BALF)病原学检测:细菌、真菌、结核涂片+培养结果:均为阴性;BALF涂片:见大量中性粒细胞。
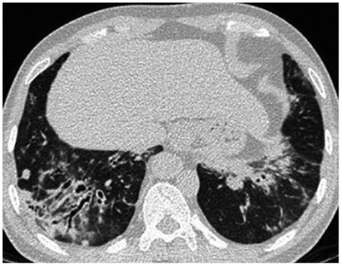
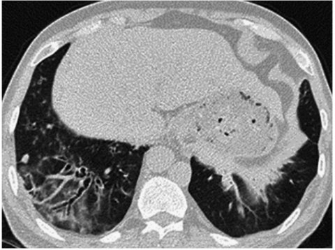
胸部增强CT(本院,2018-03-05,图3):右肺中叶条索影,支气管扩张;两肺下叶多发结节影、条索影、斑片影并牵拉性支气管扩张。
肺功能:FEV1/FVC:65.77%,FEV1/pre:56.6%,FVC/pre:69.2%,DLCO/pre:66%。
FENO:8μg/L。
心电图:窦性心律,Ⅰ度房室传导阻滞。
超声心动图:静息状态下经胸超声心动图未见明显异常,左心收缩功能正常,左心舒张功能正常。
支气管镜:右中叶、下叶及左下叶均见较多脓性分泌物,予以吸除并灌洗,送检病原学检查;右中叶管腔狭窄,黏膜肥厚粗糙,予以活检,送组织学检查。
EBUS-GS未探及明显异常超声信号。
鼻窦CT扫描:双侧上颌窦炎症,右侧下鼻甲黏膜增厚,鼻中隔左侧偏曲。
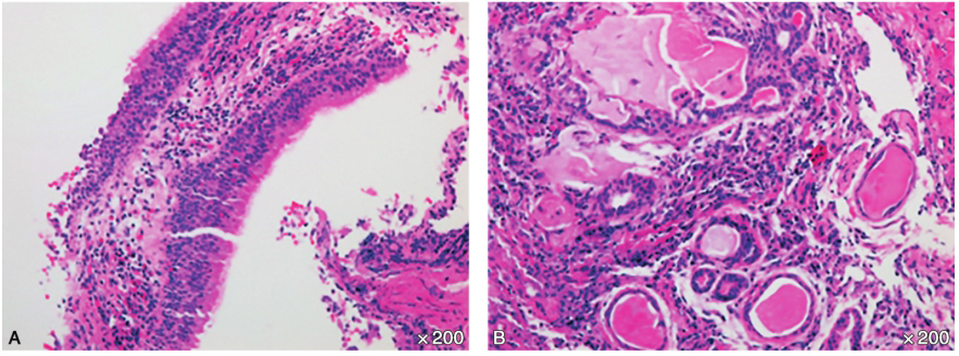
支气管镜活检病理(本院,2018-03-08,图4):(右中叶支气管)黏膜慢性炎症。

图3胸部增强CT示两肺下叶多发结节影、条索影、斑片影,并牵拉性支气管扩张

图4支气管镜活检病理(×200):(右中叶支气管)黏膜慢性炎症伴大量嗜酸性粒细胞浸润(A),黏液腺增生、高分泌及黏液潴留(B)
综合分析上述检查结果及临床特征,需要重点考虑嗜酸性粒细胞增多相关疾病。嗜酸性粒细胞增多相关疾病可分为反应性、克隆性和特发性三大类。由于该患者外周血中嗜酸性粒细胞正常,因此反应性(继发性)嗜酸性粒细胞增多可能性大,克隆性或特发性嗜酸性粒细胞增多可能性小。继发性嗜酸性粒细胞增多的感染性疾病主要有寄生虫、曲霉菌、HIV、分枝杆菌感染等。为此进一步完善了以下检查:
辅助检查
GM试验、寄生虫抗体、曲霉特异性IgE抗体结果:均阴性。
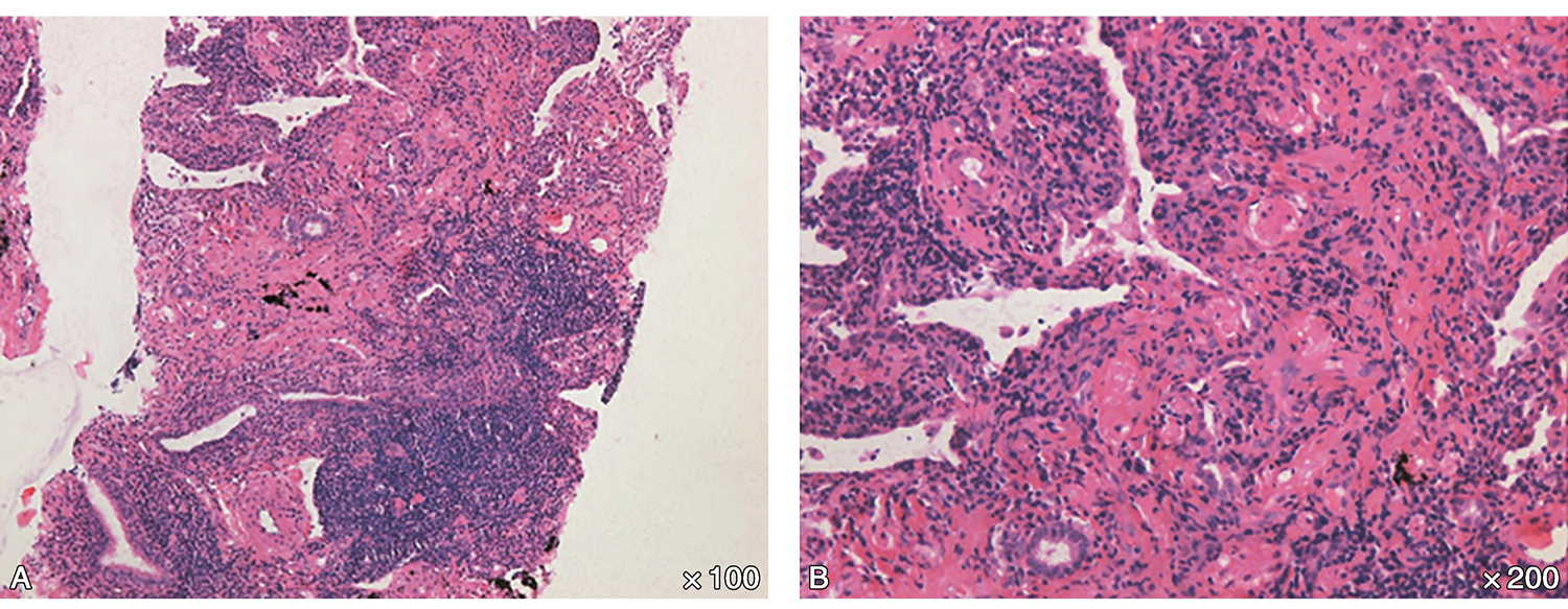
CT引导下经皮肺穿刺活检病理(本院,2018-03-15,图5):(右肺下叶)慢性炎症,伴纤维组织增生。
检查结果提示寄生虫、曲霉菌、HIV特异性感染指标结果阴性。气管镜活检及肺穿刺病理均未见干酪样坏死,未见特异性菌丝及真菌孢子,故不支持感染性疾病,也未发现恶性病变证据。此外,患者相关炎症指标如ESR、CRP、PCT结果均正常。综合分析检查结果及病史特点,考虑感染性疾病和恶性病变可能性小,非感染性疾病可能性大,尤其要重点考虑类风湿关节炎的肺部累及。

图5CT引导下经皮肺穿刺活检病理(A:×100,B:×200):(右肺下叶)慢性炎症,伴纤维组织增生,炎细胞以淋巴细胞为主,见少量嗜酸性粒细胞
问题2:如何确诊类风湿关节炎的肺部累及?
进一步分析患者疾病特点:①慢性起病,以咳嗽、咳痰伴气急为主要表现;②影像学表现为双肺多发结节影、条索影、斑片影并牵拉性支气管扩张;③病理提示慢性炎症,伴纤维组织增生,无坏死性炎症;④有类风湿关节炎病史十余年,指(趾)间关节呈梭形肿胀及天鹅颈样畸形。追问病史,患者既往有手指晨僵,且目前全部指(趾)间关节对称性肿胀及畸形,根据2018中国类风湿关节炎诊疗指南,类风湿关节炎诊断明确。近期未使用类风湿关节炎治疗药物导致病情控制不佳。根据以上病史特点,考虑患者为类风湿关节炎肺受累可能性大。该患者RA相关的血清学指标均为阴性,而血清阴性的RA患者肺部受累更为少见。为此我们需要进一步排除是否合并其他疾病,尤其是肿瘤性疾病。为此我们再次行CT引导下经皮肺穿刺取右下肺结节活检。
病理(图6)示(右下肺结节)间质内急、慢性炎细胞浸润及少量嗜酸性粒细胞。

图6CT引导下经皮肺穿刺活检病理(A:×200,B:×400):(右下肺结节)间质内急、慢性炎细胞浸润及少量嗜酸性粒细胞
间质性肺病病理会诊中心会诊结论:形态学表现为小气道慢性炎症和间质性肺炎,腺上皮增生、鳞化,结合临床,符合结缔组织病肺损伤。至此,结合上述病理结果、影像学表现、病史特点,可排除肿瘤性疾病,诊断类风湿关节炎相关性间质性肺病。
【最终诊断】
1.类风湿关节炎相关性间质性肺病(RA-ILD)
2.类风湿关节炎
3.2型糖尿病
问题3:如何评估患者间质性肺病?
RA-ILD患者总体预后不佳,目前主要通过症状、血气分析、肺功能及HRCT来评估病情。RA-ILD患者早期可出现肺弥散功能减退,DLCO/pre的下降程度可以反映RA-ILD肺损害的严重程度。研究表明,FVC小于60%预计值且DLCO小于40%预计值的患者预后较差,6~12个月内FVC下降≥10%或DLCO下降≥15%的RA-ILD患者死亡风险增加。此外,HRCT提示20%以上肺受累或者表现为UIP的患者预后较差,氧饱和度在88%以下的患者预后亦较差。尽管患者肺功能及氧饱和度并未明显减退,但肺部受累范围较大,综合分析患者病情及辅助检查结果考虑其病情较重、预后欠佳。
问题4:如何确定治疗方案?
RA-ILD的治疗是临床上的难点,目前国内外尚无统一的治疗指南。由于RA-ILD患者存在机会感染的可能性,此外部分抗风湿药物长期使用后本身也会导致肺纤维化,因此在治疗前应详细评估病情,制订个体化的治疗策略。目前,大多数观点认为应根据患者肺部的病理组织类型和RA的基础情况来选择治疗方案。治疗上以控制病情、延缓进展为目标。RA-ILD的药物主要包括激素、生物制剂和非生物制剂的抗风湿病情药物(DMARDs),后者包括甲氨蝶呤(MTX)和肿瘤坏死因子-α(TNF-α)抑制剂、来氟米特等。由于本例患者肺部受累范围较大,使用生物制剂出现机会感染风险较大,而MTX又可导致肺纤维化,故最终选择小剂量激素联合来氟米特进行治疗。
【治疗】
1.醋酸泼尼松片,20mg/d,口服;
2.来氟米特片,10mg/d,每晚口服;
3.积极控制血糖。
【随访】
患者明确诊断后院外口服药物治疗,咳嗽、咳痰、气急症状较前好转,2018年4月26日复查肺功能提示DLCO/pre 65.2%,较前相仿;动脉血气分析提示SaO2 95.8%,较前好转;胸部CT平扫:病灶较前有所吸收(图7)。

图7胸部CT平扫示双肺下叶基底段病灶较前明显吸收
【病例点评】
1.以嗜酸性粒细胞浸润为特点的肺部病变
非感染性肺部阴影可根据病变解剖部位的不同分为以肺实质病变为主的疾病、以肺血管病变为主的疾病、以肺间质病变为主的疾病。以嗜酸性粒细胞浸润为特点的肺部非感染性病变主要有肿瘤(包括淋巴瘤、腺癌等)、结缔组织性疾病、变应性肉芽肿性血管炎(CSS)和原发性、克隆性嗜酸性粒细胞增多症的肺浸润等。以嗜酸性粒细胞浸润为特点的肺部感染性病变主要有寄生虫、曲霉菌、HIV、分枝杆菌感染等。本例患者根据以嗜酸性粒细胞浸润为特点的肺部病变的诊断思路,详细分析患者HRCT表现及病理特点,最终明确诊断为RA-ILD。由于肺穿刺在疾病诊断上的特异性和敏感性并不能达到100%,因此确诊有赖于综合分析病史特点以及影像学特征。
2.RA-ILD的临床特点及预后
RA是常见的自身免疫性疾病,我国的患病率为0.32%~0.36%。RA呼吸系统受累以ILD最为常见,病理上可表现为UIP、NSIP、OP、细支气管炎、肺结节。来自北京朝阳医院的一项临床研究发现,RA-ILD患者中常见的HRCT表现有网格影(57.8%)、胸膜肥厚(57.0%)、磨玻璃影(53.2%),其次为小叶间隔增厚、结节影、肺大疱、蜂窝样改变。RA-ILD患者早期可出现肺弥散功能减退DLCO/pre下降程度可以反应RA-ILD肺损害的严重程度。因此定期对RA患者进行肺功能检测,可能有助于早期发现ILD等肺部病变。RA-ILD患者总体预后不佳,目前主要通过症状、血气分析、肺功能及HRCT来评估病情。研究表明,FVC小于60%预计值且DLCO小于40%预计值的患者预后较差,6~12个月内FVC/pre下降≥10%或DLCO/pre下降≥15%的RA-ILD患者死亡风险增加。
3.RA-ILD的危险因素
研究表明,吸烟、男性、老年、HLA-DR4阳性、RF高滴度均为RAILD的危险因素,而抗CCP抗体则与RA气道疾病相关。目前多项研究证明吸烟与RA-ILD有关,有多项研究报道了吸烟和RA-ILD进展之间的关系,发现RA-ILD的风险随吸烟量的增多而增加。另一项研究发现,年龄>65岁,发生ILD风险增加4倍以上。然而本例患者无吸烟史,且多次查RF、CCP抗体均为阴性,推测其出现RA-ILD可能存在其他因素。最近的一项研究也发现在采用2010年ACR/EULAR分类标准诊断的RA患者中,血清阴性的这类RA亚组患者在临床和超声表现上均具有更高的炎症疾病活动度。这提示RF、CCP抗体并不能完全反映RA-ILD患者的病情程度。
免责声明
内容来源于人卫知识数字服务体系、人卫inside知识库,其观点不反映优医迈或默沙东观点。 此服务由优医迈与胤迈医药科技(上海)有限公司授权共同提供。
如需转载,请前往用户反馈页面提交说明:https://www.uemeds.cn/personal/feedback
人卫知识数字服务体系
Copyright © 2025 Merck & Co., Inc., Rahway, NJ, USA and its affiliates. All rights reserved.