37岁男性患者,17个月前开始出现反复胸部隐痛,深吸气时明显,胸骨上段为主,无放射痛,与体位、运动无关,无发热、咳嗽、咳痰、咯血。肺部查体未见异常,后背散在皮疹。CT示两肺弥漫性粟粒样小结节影。抗结核治疗无效。本病例是感染性肺部疾病还是非感染性肺部疾病?
一、入院疑诊
(一)病例信息
【病史】
男性患者,37岁,17个月前开始出现反复胸部隐痛,深吸气时明显,胸骨上段为主,无放射痛,与体位、运动无关,无发热、咳嗽、咳痰、咯血,于当地医院就诊,胸部CT提示双肺弥漫性小结节,诊断肺结核,以异烟肼、利福平、吡嗪酰胺、左氧氟沙星抗结核治疗,效果不佳,期间仍有反复胸部隐痛。10天前,患者再次至当地医院复诊,胸部CT提示两肺粟粒样影,肺功能检查提示轻度限制性通气功能障碍,小气道未见阻塞,诊断考虑间质性肺炎,停用抗结核药物,改为口服泼尼松(30mg,每天1次),症状无改善。病程中,患者无发热、畏寒、盗汗,无胸闷、气喘,无口干、眼干、关节痛,无腹痛、腹泻,饮食、睡眠可,大小便正常,体重无明显变化。
患者否认既往高血压、糖尿病病史,有慢性乙型病毒性肝炎病史8年,无吸烟、饮酒嗜好,否认手术、外伤、输血史,否认鸟类、鸽子接触史,否认粉尘接触史,否认家族遗传性疾病病史。
【体格检查】
体温36.7℃,心率79次/分,呼吸21次/分,血压142/84mmHg,SpO2 97%。神志清,精神可,颈部淋巴结未触及肿大,背部可见少许散在皮疹,色素沉着,唇无发绀;胸廓对称无畸形,两侧呼吸动度均衡;两肺听诊呼吸音粗,两肺未闻明显干湿啰音,无胸膜摩擦音;心律齐,未闻明显心脏病理性杂音;腹部未见明显异常;双侧下肢无水肿,未见杵状指。
【实验室检查】
痰抗酸杆菌阴性。
动脉血气分析(平静呼吸空气):pH 7.41,PaO2 104mmHg,PaCO2 42.6mmHg,SaO2 98%。
肺功能:轻度限制性通气功能减退,小气道未见阻塞。
【影像学检查】
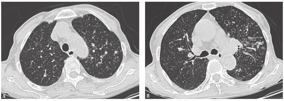
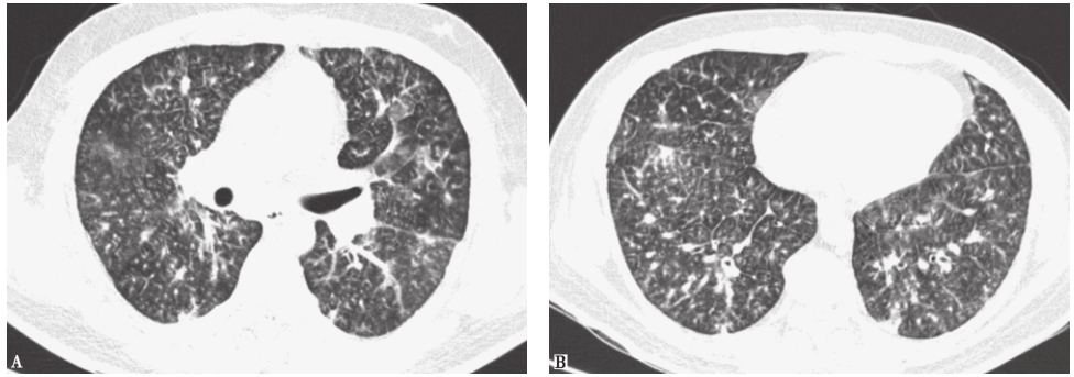
17个月前胸部CT见双肺弥漫性小结节(图1)。
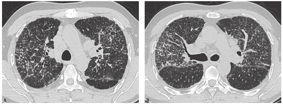
10天前胸部CT见双肺呈随机分布的弥漫性粟粒样小结节影(图2)。

图1 17个月前胸部CT表现

图2 10天前胸部CT表现
(二)临床思辨
【临床特点】
1.患者为中青年,起病隐袭,进展慢。
2.主要症状和体征为反复胸部隐痛,无发热,肺部查体阴性,后背散在皮疹。
3.CT示两肺弥漫性粟粒样小结节影。
4.抗结核治疗无效。
【思辨要点】
本病例是感染性肺部疾病还是非感染性肺部疾病?
肺部感染性疾病按病因可分为细菌性肺炎、病毒性肺炎、非典型病原体肺炎(军团菌、肺炎支原体、衣原体)、真菌性肺炎(曲霉菌、念珠菌、隐球菌、肺孢子菌)、肺结核以及其他病原体所致肺炎(立克次体、弓形虫、寄生虫等)。本例患者为中青年男性,既往身体健康,无基础疾病,慢性病程,病程中无发热、咳嗽、咳痰等感染症状,胸部CT表现为两肺弥漫性粟粒样小结节影,不符合普通感染表现。
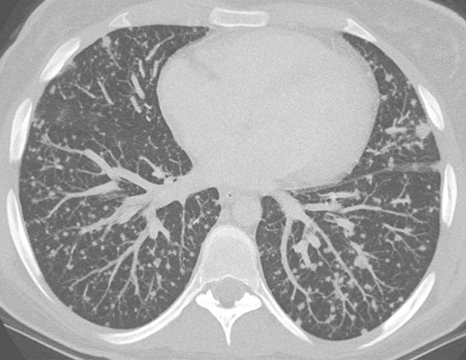
可出现类似胸部CT表现的感染性疾病有血行播散型肺结核、血行播散性真菌感染。血行播散型肺结核急性期胸部CT可见两肺大小、密度、分布“三均匀”的粟粒样结节,多数结节直径<3mm,边缘一般清楚(图3),一般不引起近肺门部的支气管血管束结节;亚急性期则表现为结节大小、分布、密度多不均一,中上肺野多见(图4),部分病灶可融合并产生干酪样坏死、空洞形成。多数患者有结核分枝杆菌感染中毒症状,痰检可发现结核分枝杆菌,结核菌素试验呈强阳性,红细胞沉降率增快等。本例患者无典型结核分枝杆菌感染中毒症状,痰抗酸杆菌阴性,正规抗结核治疗1年余,症状、影像学均无明显改善,故结核分枝杆菌感染可能性不大。

图3粟粒性肺结核胸部CT表现
女性患者,39岁,发热伴胸闷1个月余,病理诊断为粟粒性肺结核。胸部CT可见双肺随机分布的弥漫粟粒性结节

图4肺结核胸部CT表现
女性患者,76岁,反复发热2个月,伴发认知障碍3天,诊断为肺结核、结核性脑膜炎。胸部CT可见双肺分布不均、大小不等的多发结节影
侵袭性真菌感染指侵入人体组织、血液,并在其中生长繁殖导致组织损害、器官功能障碍、炎症反应的病理改变及病理生理过程。真菌感染常继发于免疫功能低下和粒细胞缺乏状态。可造成胸部影像学表现为多发结节影的致病真菌包括念珠菌、曲霉、隐球菌等。肺念珠菌病根据感染途径分为原发(吸入)性念珠菌肺炎和继发性念珠菌肺炎(指血源性播散引起的肺部病变)。后者(血行播散型真菌感染)的全身症状有畏寒、发热、心动过速,甚至出现低血压、休克、呼吸衰竭等,胸部影像学表现可为阴性,少数患者影像学表现为肺间质病变,亦可呈粟粒状阴影或趋于融合(图5)。隐球菌感染者胸部影像学表现多见单发或多发结节或团块影,常位于胸膜下,直径1~10cm,边缘光整,也可边缘模糊或有小毛刺(图6A),弥漫性粟粒状阴影或肺间质性病变较少见,可发生在获得性免疫缺陷综合征(acquired immunodeficiency syndrome,AIDS)患者(图6B)。侵袭性肺曲霉菌病(invasive pulmonary aspergillosis,IPA)可分为气道侵袭性曲霉菌病和血管侵袭性曲霉菌病。前者CT表现为小叶中央性小结节和树芽征,支气管周围实变影(图7);后者CT特征为多发结节及周围晕征、空洞和空气半月征。本例患者无免疫功能低下或粒细胞缺乏等高危因素,病程较长,无发热、咳嗽、咯血等感染症状,故患真菌感染可能性不大。
综上分析,从总体临床过程来看,本病例为非感染性肺疾病可能性大。

图5念珠菌肺炎胸部CT表现
肺移植术后因留置导管出现发热,经培养确诊念珠菌肺炎。胸部CT可见双肺弥漫随机分布的结节影

图6隐球菌肺炎胸部CT表现
A.男性患者,73岁,反复发热、咳嗽、咳痰2年,再发1个月,病理确诊为隐球菌肺炎,胸部CT可见双肺多发高密度斑片影,部分呈结节状改变,伴双侧少量胸腔积液;B.男性患者,65岁,反复发热伴消瘦5个月,感染HIV,病理诊断为播散性隐球菌肺炎,胸部CT发现双肺呈随机分布的弥漫粟粒性结节

图7肺曲霉菌病胸部影像学表现
女性患者,15岁,诊断系统性红斑狼疮后进行免疫抑制治疗多年,间断发热1年余,病理诊断为肺曲霉菌病。胸部CT可见右下肺沿支气管播散的多发结节影,并见树芽征;左下肺大片高密度实变影,支气管充气征不明显
2.本病例可能为哪种类型的非感染性肺疾病?
非感染性疾病种类较多,鉴别诊断复杂。本例患者症状、体征无特异性,无特殊职业史、接触史,因此鉴别诊断应从影像学特征入手。患者CT表现为两肺弥漫性粟粒样小结节影,可能出现类似表现的常见疾病包括肺转移瘤、支气管肺泡细胞癌、肺淋巴管癌病、过敏性肺炎、结节病、尘肺、弥漫性泛细支气管炎等。
(1)血源性肺转移瘤:是肺内或肺外肿瘤血行播散到肺内所致,胸部影像学表现为随机分布的结节,直径2~5cm,常呈球形,边缘光滑,多数病灶形态相同、密度均匀、大小不一,以肺基底部常见,且多分布于周边(图8)。粟粒性表现者为短期内大量癌细胞经血道或淋巴道播散所致,结节直径3~5mm,呈圆形,边缘清楚,大小较均匀,常为腺癌,原发灶多来源于甲状腺、肾及滋养叶细胞。

图8肺腺癌胸部影像学表现
男性患者,61岁,咳嗽、咳痰10余天。胸部CT可见双肺多发大小不等、随机分布的类圆形结节影。病理诊断为肺腺癌肺内转移
(2)细支气管肺泡细胞癌(bronchioloalveolar carcinoma, BAC):现统称为肺腺癌,原发于肺泡内或细支气管上皮,呈弥漫性散在分布,属原发多中心性结节,结节可以融合成较大病灶,既可以累及肺间质又可以累及肺实质,结节大小不等、密度不一、边缘不规则或模糊,周围可见长短不一的毛刺或足突样结构,背景可以正常或呈磨玻璃影或网状阴影,支气管血管束增粗、增多、延长、僵直(图9)。

图9支气管肺泡细胞癌胸部影像学表现
男性患者,49岁,乏力伴活动后气喘3个月。胸部CT可见双肺弥漫分布的随机性小结节影,左上肺可见多发斑片影伴胸腔积液。病理诊断为支气管肺泡细胞癌
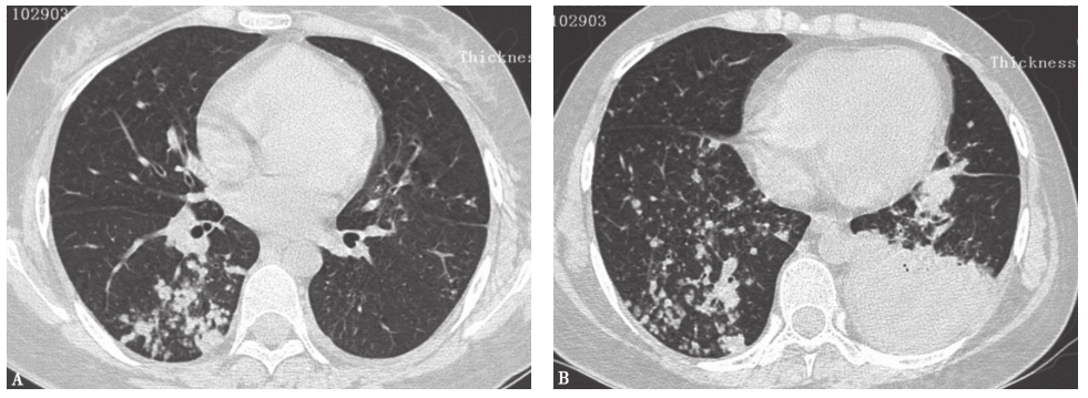
(3)肺淋巴管癌病(pulmonary lymphangitic carcinomatosis,PLC):是一种特殊形式的肺内转移癌,以转移性癌细胞在淋巴管内弥漫性生长、形成癌栓为特征。胸部CT示结节大小不等、边缘清楚、密度不均、分布不均,常累及中轴支气管血管束和周围肺间质,使其模糊、不规则,表现为小叶间隔增厚呈串珠状或胸膜(包括叶间胸膜)不规则结节状增厚,支气管血管束显著增粗,呈网状、网结节状改变(图10)。
本例患者无刺激性咳嗽、胸闷气喘等症状,初步检查未发现原发肿瘤,病程1年余,临床表现及影像学无明显进展,一般情况可,不符合晚期肿瘤表现,故患肿瘤可能性不大,需进一步行病理学检查予以排除。

图10肺淋巴管癌病胸部影像学表现
男性患者,29岁,咳嗽伴气喘20余天。胸部CT可见双肺以周边型分布为主的弥漫小结节影,伴小叶间隔不规则增厚和纵隔淋巴结肿大。病理诊断为胃腺癌、肺淋巴管癌病
(4)过敏性肺炎(hypersensitivity pneumonitis, HP):往往有相关暴露史和较为特殊的影像学表现(图8)。本例患者无明确抗原接触史,胸部CT未见明显磨玻璃影,小结节为随机分布而非小叶中心型分布,可行经支气管肺活检取得病理结果进一步排除该诊断。
(5)结节病:是一种免疫介导的以非干酪样上皮样细胞肉芽肿为病理特征的多系统性疾病,肺部最常受累,起病隐匿、症状较轻,缺乏特异性,影像学主要表现为双侧肺门、纵隔淋巴结对称性肿大,肺内弥漫性小结节影,沿淋巴道分布,以中心和上肺野为主,晚期患者可有肺间质纤维化、蜂窝肺、囊性支气管扩张等。结节病的典型结节直径为1~5mm,也可大至5~10mm,通常位于支气管血管束周围及胸膜下、叶间裂附近,随着病变进展,可见肺内弥漫性分布呈粟粒样改变,边界清楚(也可模糊),伴肺间质性改变,支气管血管束及叶间隔增厚或呈弥漫性网结节病灶,牵拉性支气管扩张(图11)。本例患者临床表现与结节病相似,但胸部CT未见明显淋巴结肿大,肺部结节非沿淋巴道分布,肺野未见间质纤维化、牵拉性支气管扩张等表现。
(6)尘肺
矽肺:是最常见的尘肺类型,是由于反复吸入微小的游离二氧化硅晶体颗粒导致的以肺部弥漫性纤维化为主的疾病。胸部影像学表现可见弥漫性微结节影的有急性矽肺和单纯型矽肺。急性矽肺可发生于在高浓度、高分散度二氧化硅粉尘环境中作业者,可在数月到3年内发病。胸部CT显示双肺弥漫性小叶中央性微结节影,片状磨玻璃影、小叶间隔增厚和少许实变影,可见铺路石征(图12)。单纯型矽肺胸部CT可见双肺多发微结节影,边界清晰,以上肺分布为主,部分钙化,结节多在小叶中央、间隔周围和胸膜下分布,呈淋巴管周围分布,肺门和纵隔淋巴结可以增大,可形成典型的蛋壳样钙化。

图11结节病胸部CT表现
男性患者,38岁,病理诊断为结节病。胸部CT见两肺多发粟粒样结节影,沿支气管血管束、胸膜下、叶间裂分布,小叶间隔增厚,可见牵拉性支气管扩张

图12急性矽肺胸部影像学表现
女性患者,59岁,诊断为急性矽肺。胸部影像学表现为双肺弥漫性小叶中央性微结节,磨玻璃影、小叶间隔增厚,可见铺路石征
铁尘肺:是由于肺内巨噬细胞积聚三氧化二铁颗粒形成的,通常是吸入过多的焊工烟雾所致,故也称为焊工尘肺。绝大部分铁尘肺不引起肺纤维化和肺功能损害。胸部CT可以发现双肺多发性边界不清的小叶中心型小结节影(图11)。本例患者无职业粉尘接触史,肺部弥漫性小结节既非单纯小叶中心型结节,也非沿淋巴管分布,故尘肺诊断依据不足。
弥漫性泛细支气管炎(diffuse panbronchiolitis,DPB):是一种弥漫存在于两肺呼吸性细支气管的气道慢性炎症性疾病,受累部位主要是呼吸性细支气管以远的终末气道,炎症病变弥漫性分布并累及呼吸性细支气管壁的全层。胸部HRCT可见两肺弥漫分布的小叶中心性颗粒样小结节影,严重时可出现以两下肺为主的囊状支气管扩张(图13)。本例患者无反复咳嗽、咳痰、活动后呼吸困难等症状,无慢性鼻窦炎病史,胸部CT未见支气管扩张表现,与DPB表现不符。肺组织活检可协助鉴别诊断。
根据以上分析,本病例的诊断倾向于非感染性肺疾病。根据患者慢性病程的特点,需注意排除结节病、尘肺、过敏性肺炎、弥漫性泛细支气管炎;根据患者肺部结节随机分布的特点,需注意排除肺转移瘤、支气管肺泡细胞癌以及一些少见疾病。根据现有临床资料难以做出以上鉴别诊断,需要进一步完善相关检查,尤其是病理检查,从而明确疾病类型。

图13弥漫性泛细支气管炎胸部影像学表现
女性患者,27岁,诊断为弥漫性泛细支气管炎。胸部影像学表现为两下肺弥漫分布的小叶中心型小结节影及树芽征,可见支气管管壁增厚、支气管扩张
二、诊治过程
(一)临床信息
【实验室检查】
一般检查
(1)血常规:WBC 6.5×109/L,N% 42.7%,淋巴细胞(lymphocyte)百分比48.6%,血红蛋白(hemoglobin,Hb)和血小板(platelet,PLT)均正常。
(2)生化:总胆红素(total bilirubin,TBIL)4.1μmol/L,直接胆红素(direct bilirubin,DBIL)1.3μmol/L,胆碱酯酶(cholinesterase,CHE)17.3KU/L,其余均正常。
(3)凝血功能:凝血酶原时间(prothrombin time,PT)、活化部分凝血活酶时间(activated partial thromboplastin time,APTT)、凝血酶时间(thrombin time,TT)均在正常范围。
(4)其他:尿常规、便常规无明显异常。红细胞沉降率(erythrocyte sedimentation rate,ESR)正常。心肌酶(肌酸激酶、肌酸激酶MB同工酶、α-羟丁酸脱氢酶)均在正常范围。
2.免疫相关检查
自身抗体(包括抗核抗体、抗dsDNA抗体、抗Sm抗体、抗线粒体抗体、类风湿因子等)均阴性;抗中性粒细胞胞质抗体阴性;补体C3、C4和免疫球蛋白IgA、IgG、IgM均在正常范围;淋巴细胞免疫分型均在正常范围。
3.感染相关检查
C反应蛋白(C-reactive protein,CRP)6.5mg/L;痰病原学检查5次(普通细菌、真菌、抗酸染色)均阴性;EB病毒DNA阴性;巨细胞病毒DNA阴性。
4.肿瘤标志物检查
肺癌标志物指标均在正常范围,包括癌胚抗原(carcinoembryonic antigen,CEA)、细胞角蛋白19片段(cytokeratin 19 fragment,CYFRA21-1)、神经元特异性烯醇化酶(neuron-specific enolase,NSE)。
5.肺功能
肺通气功能基本正常。
【支气管镜检查】
支气管镜镜下表现:双肺各叶段支气管通畅,未见气管、支气管内明显异常。
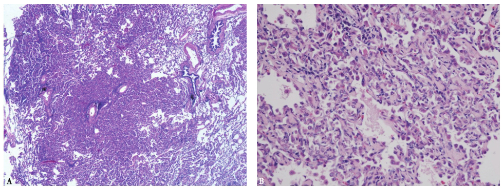
经支气管肺活检(transbronchial lung biopsy,TBLB)(右肺活检组织)病理表现:多数区域轻度肺泡隔轻度增宽,部分区域肺泡上皮增生,具有轻度异型性(图14A),未见明显特异改变。免疫组化:甲状腺转录因子-1(thyroid transcription factor-1,TTF-1)阳性(图14B),巨细胞病毒(cytomegalovirus,CMV)、单纯疱疹病毒(herpes simplex virus,HSV)、呼吸道合胞病毒(respiratory syncytial virus,RSV)均阴性。
右肺中叶刷片:未查见恶性细胞。
支气管肺泡灌洗液(bronchoalveolar lavage fluid,BALF)细胞分类:中性粒细胞3%,淋巴细胞5%,组织细胞82%,抗酸杆菌阴性。

图14经支气管透壁肺活检病理表现
A.HE染色,20×;B.TTF-1染色,200×
(二)临床思辨
患者入院后所做系列检查显示:①痰抗酸杆菌、支气管肺泡灌洗液抗酸杆菌均阴性,血沉正常,经支气管肺活检病理未见上皮样肉芽肿及干酪样坏死,故可排除结核分枝杆菌感染;②血常规、淋巴细胞免疫分型均正常,无免疫缺陷,炎症指标均正常,痰真菌培养、支气管镜检查均未见真菌,故可排除血源性真菌感染;③自身抗体、抗中性粒细胞胞浆抗体(anti-neutrophil cytoplasmic antibody,ANCA)、免疫常规检查均阴性,结合临床表现,基本可排除风湿免疫病;④血肺癌标志物检查正常,但经支气管肺活检(TBLB)病理示肺泡上皮增生,具有轻度异型性,且胸部HRCT示两肺小结节呈随机分布,故不能完全排除恶性肿瘤。
此时需要思考以下问题:
1.关于本病例的诊断,目前可基本排除风湿免疫病,如果仍考虑为非感染性疾病,如何进一步鉴别恶性肿瘤或其他少见疾病?
对于本病例,根据病史及入院后初步检查结果,已基本可以排除结核分枝杆菌和真菌感染等感染性疾病以及风湿免疫病;根据其慢性病程,虽然CT表现与结节病、尘肺、过敏性肺炎、弥漫性泛细支气管炎的典型表现不符合,但不能完全排除,进一步明确诊断需依赖病理结果;根据患者肺部结节随机分布的特点,以及经支气管肺活检病理提示部分上皮增生,具有轻度异型性,虽然病程偏长,病情无明显进展,仍需考虑转移性肿瘤等可能性。
2.对于本病例,TBLB为什么未能给出确切诊断?如何选择明确诊断的最佳手段?
肺部弥漫性病变的最终诊断需病理结果证实,常用的有创获取标本手段包括CT或B超引导下经皮肺穿刺、电子支气管镜、超声支气管镜、外科胸腔镜手术等。本例患者胸部CT表现为两肺弥漫性粟粒样小结节影,无实变、团块影,经皮肺穿刺活检不易取得理想组织,且气胸发生率极高,故不考虑此方法。支气管镜检查创伤小,费用低,患者易接受,故可作为首选的活检方法,但由于TBLB组织块小,且钳夹过程中组织、细胞会挤压、变形,可能影响病理医师的结果判读,故本例患者支气管镜检查并未能明确诊断。VATS检查虽然创伤较大,但获取的标本较理想,有助于尽早明确诊断。
三、临床确诊
(一)临床信息
经患者同意,行胸腔镜下右肺活检术。大体标本显示肺组织胸膜尚光滑,切面灰褐色,可见弥漫分布多枚灰白色粟粒样结节。镜下可见肺泡上皮高度增生,呈弥漫性小结节状分布,细胞具有一定异型性(图15)。免疫组化(图16):CK7(++)、TTF-1(+++)和SP-B(++),Ki-67约1%(+),CR、CD34、D2-40、CD68和LCA等阴性。病理诊断:符合弥漫性非黏液型细支气管肺泡细胞癌。

图15胸腔镜肺活检病理表现
A.HE染色,20×;B.HE染色,400×

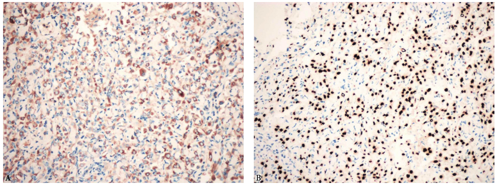
图16胸腔镜肺活检病理免疫组化结果
A.SP-B(++),200×;B.TTF-1(+++),200×
因患者临床表现与该病理诊断不完全符合,故当时未行抗肿瘤治疗,继续随诊观察。半年后,患者额部、背部皮疹较前明显,呈血管纤维瘤表现(图17),头颅CT可见多发室管膜下钙化、皮质钙化(图18)。再次病理会诊,肺部病变诊断为多灶微结节性肺泡上皮增生。

图17患者背部皮肤呈血管纤维瘤表现

图18头颅CT表现
最后诊断:多灶微结节性肺泡上皮增生、结节性硬化症。
(二)临床思辨
患者经历了前期误诊为肺结核、间质性肺炎、肺癌,最终明确诊断为多灶微结节性肺泡上皮增生、结节性硬化症。该病理类型相对罕见,造成诊断困难。
多灶微结节性肺泡上皮增生(multifocal micronodular pneumocyte hyperplasia,MMPH)是1995年Guinee等提出的一种特殊病理学改变,其组织学特点是肺泡上皮多灶、小结节状增生,伴有结节内肺泡隔弹力纤维增多。这种病理改变非常少见,国内尚未有经病理证实的病例报道。该病变几乎只发生在结节性硬化症患者中,目前认为是良性病变,如果对此病理改变不了解,容易诊断为非典型腺瘤样增生或细支气管肺泡细胞癌。文献报道,MMPH胸部CT表现为两肺磨玻璃状小结节影,结节在多数患者中随机分布,结节直径1~10mm,偶有达20mm,多数患者有10~30个甚至更多结节。
1.何为结节性硬化症?
结节性硬化症(tuberous sclerosis,TSC)由Bourneville首先描述并命名,其发病率为1/12000~1/6000,属常染色体显性遗传,基因定位于9q34(TSC1)或16p13(TSC2),近1/3病例为家族性。TSC可多系统受累,而以神经和皮肤损害为最常见。中枢神经系统受损临床表现主要有癫痫,智力低下,语言、行为、运动异常等。皮肤损害包括皮脂腺瘤、血管纤维瘤、色素脱失斑、鲨鱼皮样斑、指(趾)部纤维瘤和咖啡牛奶斑。其他器官受累可出现肾血管平滑肌脂肪瘤、肾囊肿、肾细胞癌。1.0%~2.3%的TSC患者有肺受累,女性TSC患者肺部受累发生率达34%。
全美TSC协会1998年制订的诊断标准如下:①确诊:2个主要特征或1个主要特征加2个次要特征;②可能为本病:1个主要特征加1个次要特征;③怀疑本病:1个主要特征或2个及以上次要特征。主要特征包括:①面部血管纤维瘤或额部斑块;②非创伤性指(趾)甲或甲周纤维瘤;③色素脱失斑(3块或3块以上);④鲨鱼皮样斑(结缔组织痣);⑤脑皮质结节;⑥侧脑室室管膜下结节;⑦室管膜下巨细胞星形细胞瘤;⑧多发性肾淋巴血管平滑肌脂肪瘤;⑨心脏横纹肌瘤(单个或多发);⑩淋巴血管平滑肌瘤病;⑪眼底视网膜错构瘤。次要特征包括:①多发、随机分布的牙釉质小凹;②错构瘤性直肠息肉;③骨囊肿;④大脑白质放射状移行线;⑤牙龈纤维瘤;⑥非肾性错构瘤;⑦视网膜无色性斑块;⑧咖啡牛奶斑;⑨多囊肾。
2.结节性硬化症累及肺部是否都表现为MMPH?
TSC患者肺部受累以女性患者多见。其肺部表现有两种类型:肺淋巴管平滑肌瘤病(pulmonary lymphangioleiomyomatosis,PLAM)、多灶微结节性肺泡上皮增生(MMPH)。前者文献报道更为多见,有组织学证实的MMPH文献报道不足百例。Kobashi于2008年总结了日本文献报道的15例胸腔镜活检及尸检证实具有MMPH的TSC患者情况;患者发病年龄为22~56岁(中位年龄为37.4岁);男性患者12例;3例患者有家族史;11例患者有肾血管平滑肌脂肪瘤,其中2例为双侧性;14例患者没有呼吸道症状,随访6个月~13年,没有明显进展,8例患者胸部CT合并有淋巴管平滑肌瘤病的肺囊性改变。除个别报道发生在正常人,MMPH几乎只发生在TSC患者中,绝大多数为女性患者,确诊需依靠病理诊断。
精要回顾与启示
双肺弥漫性小结节影可见于多种呼吸系统疾病。根据分布特点,小结节可分为小叶中心型结节、沿淋巴管分布结节、随机分布结节等,可由多种病因所致。尽管引起弥漫性肺病的病因不同,但可有相似的影像学表现;同样,同一种疾病的不同时期或不同类型也可有不同的影像学特征,需结合临床、影像和病理表现综合分析,才能提高诊断的准确性。
在本病例的诊断过程中,临床医师根据其临床病程特点对病理诊断提出了质疑,又通过随访过程中对其他系统体征的观察,与病理医师共同讨论,最终得出了正确的结论,避免了不恰当的治疗。
免责声明
内容来源于人卫知识数字服务体系、人卫inside知识库,其观点不反映优医迈或默沙东观点。 此服务由优医迈与胤迈医药科技(上海)有限公司授权共同提供。
如需转载,请前往用户反馈页面提交说明:https://www.uemeds.cn/personal/feedback
人卫知识数字服务体系
Copyright © 2025 Merck & Co., Inc., Rahway, NJ, USA and its affiliates. All rights reserved.