69岁女性,主因“活动后头晕、胸闷、气短2年,加重3个月”入院,经检查诊断后行起搏器植入手术。后患者诉突发胸痛逐渐加重,原因为何?
【病例摘要】
患者女性,69岁,主因“活动后头晕、胸闷、气短2年,加重3个月”于2012年11月入院。现病史:2010年步行100~200m左右突发头晕、气短、右侧胸闷。休息后症状可减轻。1年后突发晕厥,摔伤致腰椎压缩性骨折。发病2年后头晕明显加重,行动态心电图检查示“心室长间歇,最长4.4秒”,给予曲美他嗪、单硝酸异山梨酯等,症状休息时好转,活动后头晕明显。既往史:高血压病20余年,最高160/110mmHg,血压控制可。糖尿病病史3年,二甲双胍及胰岛素治疗,血糖控制可;入院诊断:①心律失常,病态窦房结综合征;②原发性高血压2级,很高危;③冠心病,稳定型心绞痛;④2型糖尿病。入院后诊疗方案:抗血小板、调脂、扩冠等药物治疗;复查动态心电图;根据临床证据采取双腔起搏器植入或冠脉介入治疗。
入院后诊疗经过:心电图:窦性心动过缓,大致正常心电图(图1)。患者入院后出现一过性心悸,伴房颤发作(图2);动态心电图检查:窦性心动过缓,平均心率58次/min;最高心率:81次/min;最低心率:52次/min;RR间期均小于2秒;偶发房性期前收缩及室性期前收缩;ST-T正常;心脏超声检查:左房略大,余未见异常。

图1患者入院心电图

图2患者房颤发作时心电图
拟行永久性心脏起搏治疗,暂不考虑冠脉介入治疗;临床依据如下:既往动态心电图证实心室长间歇4.4秒;曾有明确晕厥史,且摔伤致腰椎骨折;运动后心率低于90次/min,伴头晕;房颤发作,需要抗心律失常药物治疗;各项检查未发现心肌缺血证据。根据患者病情及生活质量需要,拟行DDDR起搏器植入。
起搏器植入手术过程:常规穿刺左锁骨下静脉,制作囊袋并充分止血;经鞘管送入右心室主动固定起搏导线(Medtronic/5076)和右心房被动起搏电极(Medtronic/4547);右室电极定位于RVOT室间隔中下部,因参数不满意多次调整位置;心室起搏参数(阈值1.2V,阻抗1260Ω,R波9.0mv),出现房颤;患者诉突发胸痛逐渐加重;心率增快,最高至110次/min,血压、脉压无下降;透视下无心包积液表现;心电图无明显ST-T改变。
【诊治思路】
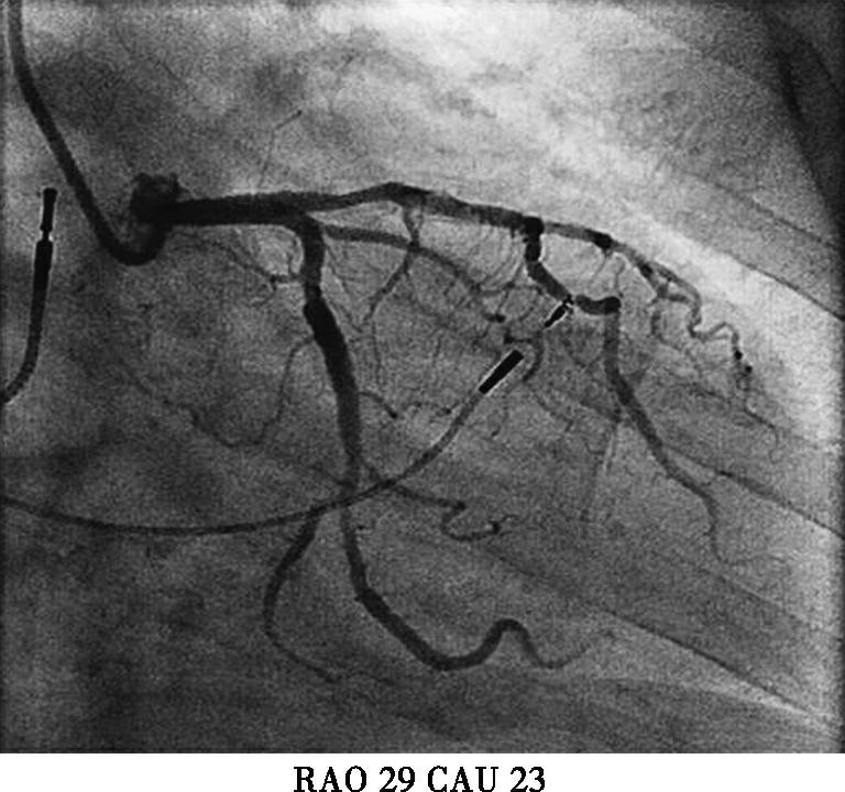
本例患者虽然有高血压、糖尿病等冠心病危险因素。起搏器电极植入后立刻发生的胸痛考虑与心绞痛关系不大,且患者未出现心电导联ST-T变化,胸痛原因主要考虑:起搏电极导致冠脉损伤?起搏电极刺破右室?遂台上决定立即行冠脉造影(图3);多个投照体位均可见起搏电极螺旋尖端触及前降支,因此决定行前降支血管内超声(IVUS)检查,结果于电极接触部位,血管8点钟方向可见强回声,距离血管外膜小于1mm;综合判断起搏电极损伤血管外膜导致胸痛的可能性大;随后进行电极重新植入,并再次造影排除起搏电极穿透冠脉可能,电极具体位置及冠脉造影见图4,心室起搏参数(阈值0.8V,阻抗670Ω,R波10.0mv)。患者症状完全消失,于导管室留观30分钟,复查心脏超声,心包内未见积液,排除起搏电极刺破右室可能,转回病房。




图3初次植入心室电极后冠脉造影


图4重新植入心室电极后冠脉造影
【讨论】
右室主动固定电极植入时需要明确植入的解剖位置,以避免造成植入相关的心脏结构损伤,其植入平面位于右室中部也就是流出道平面,理想的植入位置位于室间隔。手术医生应熟练掌握不同投照体位下,电极形态与植入位置的关系,以确保主动固定电极螺旋固定于室间隔部位。其中后前位投照可以确定植入平面。而右前斜40°能够排除电极误入冠状窦或者冠状静脉的风险。左前斜40°投照时,确保电极头端指向脊柱也就是右后方是起搏电极固定于室间隔部的重要标志。通过准确定位电极固定位置,能够最大限度地避免出现电极导致游离壁穿孔、冠状动脉损伤的少见并发症。
【小结】
起搏电极损伤冠脉病例罕见,其可能的危险因素为:室壁厚度、特殊冠脉走行、LAO投照时电极位置判断不佳、主动电极反复旋入固定;患者预后多良好;文献报道仅有1例出现冠脉右室瘘,未造成心功能明显下降;预防该损伤的关键措施是左前斜投照位置下准确掌握RVOT电极定位技术。
【专家点评】
该病例临床罕见,有较好的临床借鉴作用;首先是患者出现胸痛能够警惕到冠脉损伤的可能,及时进行了冠脉造影,调整了电极位置,避免了再次上台手术增加起搏系统感染的风险。其次主动固定起搏电极其螺旋头端伸出的最大长度不超过2mm,造成术中急性心脏穿孔的概率很小,多数起搏电极穿出心室,与起搏电极张力调整不佳,局部应力过大,患者心肌薄弱相关。起搏电极造成冠脉穿孔的报道十分罕见,回顾文献,仅有一例ICD患者电极相关的冠状动脉瘘的病例报道,因其分流量很小,对患者心肌供血及心功能均无明显影响,因此也未作进一步处理。该并发症发生概率低,危害不大,绝大多数情况下可以通过综合判断投照影像和起搏参数来避免其发生。对于冠脉走行变异的患者,起搏电极植入后发生胸痛,需要警惕电极损伤冠脉的可能性,必要时进行台上冠脉造影。
免责声明
内容来源于人卫知识数字服务体系、人卫inside知识库,其观点不反映优医迈或默沙东观点。 此服务由优医迈与胤迈医药科技(上海)有限公司授权共同提供。
如需转载,请前往用户反馈页面提交说明:https://www.uemeds.cn/personal/feedback
人卫知识数字服务体系
Copyright © 2025 Merck & Co., Inc., Rahway, NJ, USA and its affiliates. All rights reserved.