36岁男子,入院5个月前开始出现受凉后心前区及手腕处针扎样疼痛,可持续1天左右,活动时加重,贴膏药后可缓解,未规律诊治。入院前1小时患者起床小便后再次出现上述症状,伴胸闷、出汗,遂来笔者医院就诊。该患者患有……
【病历摘要】
患者,男性,36岁,装修工人。主因“间断心前区及手腕针扎样疼痛5个月,再发伴胸闷1小时”于2005年5月18日清晨入院。患者5个月前开始出现受凉后心前区及手腕处针扎样疼痛,可持续1天左右,活动时加重,与体位和呼吸无明显相关,贴膏药后可缓解。共发作4次,性质大致相同,未规律诊治。入院前1小时患者起床小便后再次出现上述症状,伴胸闷、出汗,无恶心、呕吐,无意识丧失,遂来笔者医院就诊。
既往无高血压、糖尿病病史,无心脏病及高血压家族史,有吸烟史20余年,每日约5~6支。
入院查体:T 36.7℃,P 73次/分,R 18次/分,BP 120/70mmHg(双侧)。神志清楚,口唇无发绀,胸部皮肤正常。双肺呼吸音清,心界不大,HR 73次/分,未闻及杂音。腹软,无压痛,肝脾不大。双下肢不肿,未见静脉曲张。胸骨和肋骨无压痛,四肢关节活动正常,脊柱无压痛。
辅助检查(入院当时):心电图见(图1);心肌标记物:CK‐MB 2.2ng/ml;MYO 225ng/ml;TnI<0.05ng/ml。
图1 心电图
入院后第1份心电图,示V2导联的胚胎r波
【分析】
胸痛是最常见的急诊原因,常见的胸痛原因有:
1.心脏及大血管病变
急性心肌梗死、主动脉夹层和肺动脉栓塞是急诊首先要排除的三大胸痛病因,这三种疾病均可在短时间内出现猝死,早期诊治直接决定患者预后。心绞痛的典型表现为发作性胸骨后或心前区压榨样疼痛,常伴胸闷,服用硝酸酯类药物可有不同程度的缓解。如疼痛剧烈且伴大汗多提示心肌梗死。对于不典型病例,动态观察心电图和心肌标记物对早期诊断非常重要。主动脉夹层(DeBakeyⅠ型和Ⅱ型)多表现为胸背部剧烈的、突然发作的撕裂样疼痛,疼痛在一开始即达高峰,患者多能准确说出疼痛开始的具体时间。随着动脉壁的撕裂,疼痛可向病变远端蔓延。临床上多伴血压升高,对可疑病例需要检查双侧血压和脉搏,必要时加测下肢血压。肺动脉栓塞患者除胸痛外,还常见缺氧和呼吸急促,心电图、D‐二聚体和血气分析常用于疾病的初步筛查。急性心包炎也是常见的胸痛原因,疼痛为持续性,心电图表现为除aVR导联外的其他导联呈弓背向下型抬高,临床上多有发热、血白细胞升高等炎症表现,与上述三种疾病相比,病情程度较轻。
2.肺及胸膜部病变
如肺炎、胸膜炎、气胸和肺癌等,疼痛也呈持续性,多合并呼吸道症状,如咳嗽、咯血和呼吸困难等,胸片上常有阳性发现。
3.胸壁病变
如肋软骨炎、肋神经炎及肋骨、胸椎骨折,疼痛多为持续性,而非发作性,咳嗽、用力呼吸和身体转动可使疼痛加剧,病变部位多有压痛。带状疱疹表现为沿肋间分布的皮肤锐痛,有皮疹表现,但部分患者可在皮疹出现前有局部皮肤疼痛。
4.食管病变
如胃食管反流病(gastroesophageal reflux disease,GERD),一般表现为胸骨后的烧灼样疼痛,卧位时诱发或加重。
5.神经症
除外上述器质性因素,患者胸痛症状仍反复发作,则考虑神经症的诊断。
此病例为青年男性,症状表现为反复发作性心前区及手腕的疼痛,活动后加重,虽然患者既往无高血压、糖尿病等冠心病的高危因素,但从症状特点上应首先考虑心绞痛。患者此次发作程度较之前加重,伴胸闷、出汗,应考虑急性冠状动脉综合征(acute coronary syndrome,ACS)。
诊治经过:患者入院后第1份心电图(图1)示Ⅱ、Ⅲ及aVF导联ST段呈下斜行下移0.05mV,胸前导联T波形态基本正常,因外界干扰导致肢体导联显示不完全。但仔细分析可以发现,在V2导联有明显的“胚胎r波”,表现为r波纤细,其高度可能正常,但没有宽度。急性胸痛出现“胚胎r波”的患者,对急性心肌梗死的诊断具有很高的特异性。心肌标记物示MYO稍高于正常,CK‐MB及TnI正常。8:30查超声心动图示节段性室壁运动异常(室间隔中下段及左心室心尖部)(图2),因此尽管心脏标记物检查为阴性结果,临床考虑诊断为急性心肌梗死,9:40复查心电图,如图3所示。复查心肌标记物,CK‐MB 21.3ng/ml;MYO 468ng/ml;TnI 0.34ng/ml。诊断急性心肌梗死,急诊行冠状动脉造影示前降支100%闭塞,术中置入支架1枚。

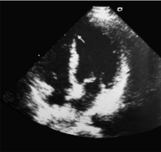
图2 超声心动图
心尖四腔切面示左心室心尖部室壁变薄,活动减弱

图3 心电图
入院后1小时复查心电图,示V2导联r波变矮,q波出现
【讨论】
急性心肌梗死(acute myocardial infarction,AMI)的早期诊断一直以来都是急诊医师面临的一大难题。通常的做法是依赖动态观察心电图和心肌标记物来排除高危患者,但在实际应用中这种传统做法有着很大的局限性。首先AMI的心电图变化复杂多样,而急诊医师对心电图的判读能力参差不齐,临床应用中受主观影响较大,而典型的心电图表现(如ST段呈弓背向上型抬高)敏感性较低。其次,心肌标记物的升高需要时间较长,一味地等待标记物升高会延误患者最佳的治疗时机。另外,反复复查心电图和心肌标记物也会增加患者的医疗负担。因此发掘其他床旁检测手段,如床旁超声心动图,快捷、可靠地早期诊断急性心肌梗死,意义重大。本病例是笔者利用超声心动图早期诊断急性心肌梗死的一个成功范例。
早在1935年,人们便认识到在阻塞冠状动脉数秒后即可出现节段性室壁运动异常。研究表明,心肌缺血范围超过心肌厚度的20%时,即可出现节段性室壁运动异常。人为地在冠状动脉造影术中用球囊反复阻塞冠状动脉,观察患者节段性室壁运动异常、心电图及胸痛的改变情况,结果表明,节段性室壁运动异常的发生率远远大于心电图异常或胸痛的发生率,且在时间顺序上,节段性室壁运动异常最先出现,而在球囊放气后,胸痛症状最先消失,室壁运动异常持续时间最长。在急性冠状动脉综合征的早期诊断方面,超声心动图的敏感性远远大于心电图,因此具有较高的阴性预测价值。目前认为,超声心动图下未发现节段性室壁运动异常可除外严重的冠状动脉疾病,认为患者近期无严重心脏事件,可直接由急诊出院。这一点对于临床医师正确处置急诊胸痛患者具有重大意义。
作为一项心脏的影像学检查手段,超声心动图能提供心脏结构和功能两方面的信息。超声心动图并不能诊断AMI,但是对一些因急性胸痛而到急诊求治的患者,超声检查可以提供一些辅助诊断,如室壁活动的异常、急性心肌梗死的机械并发症(如乳头肌断裂、室间隔穿孔等)、心脏收缩功能以及瓣膜情况等,为判定患者近期及远期预后提供参考。
另外,对于其他急诊室常见的危重情况,如心脏压塞、主动脉夹层和急性肺动脉栓塞,超声心动图能提供相关的诊断信息,有助于鉴别病因、指导治疗。
超声心动图的局限性主要体现在以下几点:①超声心动图检测到室壁运动异常,但不能区分陈旧性心肌梗死、急性心肌梗死或是严重心肌缺血所致。因此,对既往有陈旧性心肌梗死的患者,诊断意义较小。②小面积的非透壁梗死行超声心动图检查时室壁运动可以正常。③其结果的判定受到操作医师经验和受试者的声窗和体位的影响。因此对超声心动图结果的判定应与患者当时的临床情况及其他检查手段相结合。
【小结】
超声心动图是一项简便、无创、有效的检查手段,尤其是床旁超声心动图在急诊有着更广泛的应用前景。要达到对急性心肌梗死的早期诊断,临床医师除了应努力提高自身对心电图的判读能力、动态监测心电图外,应认识到超声心动图在这方面的应用价值。
(周倩云 朱继红)
(环球医学编辑:余霞霞)
免责声明
版权所有©人民卫生出版社有限公司。 本内容由人民卫生出版社审定并提供,其观点并不反映优医迈或默沙东观点,此服务由优医迈与环球医学资讯授权共同提供。
如需转载,请前往用户反馈页面提交说明:https://www.uemeds.cn/personal/feedback
来源:《急诊科疑难病例分析》
作者:朱继红 周倩云
页码:33
出版:人民卫生出版社
Copyright © 2025 Merck & Co., Inc., Rahway, NJ, USA and its affiliates. All rights reserved.