69岁女性,因“胸闷、气促2天”入院。该患者确诊“纯红细胞再生障碍性贫血”7年,定期输血治疗。患者此次突发胸闷、气促最可能的诊断是什么?
【病例简介】
患者女性,69岁,因“胸闷、气促2天”入院。患者2天前无明显诱因出现胸闷、气促,无头痛、胸痛,无视物模糊,无咳嗽、咳痰及咯血。患者当时未予重视。1天前自觉胸闷加重,遂于我院急诊就诊。
入院查体
T36.5℃,P84次/min,R20次/min,BP110/60mmHg。神清,贫血貌,全身浅表淋巴结未触及肿大,口唇无发绀,颈静脉无怒张。双肺呼吸音清,未闻及干、湿啰音。心率84次/min,律齐,各瓣膜区未闻及明显杂音,肝脾肋下未触及,肝、肾区无叩击痛,移动性浊音阴性,双下肢无水肿。生理反射正常,病理反射未引出。
既往史及个人史
确诊“纯红细胞再生障碍性贫血”7年,定期输血治疗。
辅助检查
血常规:白细胞:6.27×109/L;红细胞:1.91×1012/L↓;中性粒细胞:84.8%↑;血红蛋白:64g/L↓。
血气分析(3L/min):pH:7.46,PO2:63mmHg,PCO2:33mmHg,SpO2:92.9%。
心肌标志物:肌红蛋白:50.85ng/ml,肌钙蛋白 T:0.1510ng/ml↑,CK-MB mass:3.41ng/ml,NT-pro BNP:10174pg/ml↑。
凝血功能:D-二聚体:3.1mg/L FEU↑,纤维蛋白原降解产物:9.50μg/ml↑。
肝、肾功能及电解质:无明显异常。
胸部CT:左肺上叶舌段及双肺下叶纤维条索灶;双侧胸腔少许积液,双肺纹理增多。
初步诊断
1.胸闷待查
2.纯红细胞再生障碍性贫血
【病例解析】
问题1:患者此次突发胸闷、气促最可能的诊断是什么?
胸闷、气促症状临床最常见的原因是心源性和肺源性两大病因。心源性胸闷包括心功能不全、心力衰竭、冠心病、心包积液和其他多种原因的心肌与瓣膜疾病;肺源性胸闷包括肺实质、肺间质、气道与肺栓塞和肺血管的病变等。综合上述检查结果,患者存在心肌损害,重度低氧,D-二聚体升高,无明显的肺实质、间质与气道病变,考虑肺血管病变肺栓塞可能性比较大。为了明确胸闷病因,需进一步完善以下检查:
超声心动图:右房、右室增大,右室收缩活动稍弱,中度肺动脉高压伴中度三尖瓣反流,右心功能各项指标为正常低值。
心电图:窦性心律。V2~V3T波倒置,V4~V6T波低平。
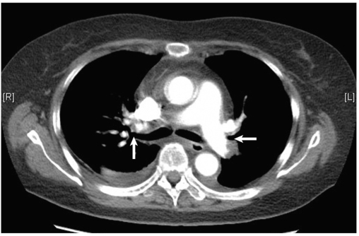
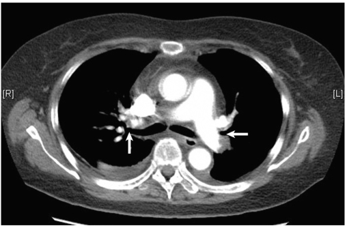
肺动脉CTA:右肺上叶动脉、中叶动脉、下叶动脉及其分支多发充盈缺损;左肺动脉主干末端、左肺上叶及下叶动脉及其分支多发充盈缺损(图1)。
.jpg)
图1肺动脉CTA显示双侧肺动脉多发充盈缺损(白箭)
肺栓塞诊断分为确诊、分层、溯源和求因四部分内容。患者sPESI评分为1分(纯红细胞再生障碍性贫血);无明显血压下降,但存在右心扩大及心肌损害指标升高,为中高危肺栓塞。
双下肢动静脉血管彩超:双侧胫前静脉血栓形成可能。余双下肢深静脉未见明显血栓。
问题2:患者血栓形成的原因是什么?
患者确诊纯红细胞再生障碍性贫血7年余,长期处于严重贫血状态,生活起居以卧床为主,较少有肢体活动,因此血液淤积,促进血栓形成。此外,患者治疗纯红再障期间长期服用激素、免疫抑制剂和输血等,这些都是常见继发性血栓高危因素,导致凝血功能异常,诱发血栓形成。
患者入院后筛查易栓症:抗凝血酶Ⅲ活性76%;凝血因子Ⅷ活性185.9%,凝血因子Ⅻ活性59.3%,凝血因子Ⅶ活性42.6%,凝血因子Ⅹ活性47.2%;蛋白C活性57%,蛋白S活性51.3%。提示患者同时存在易栓倾向。
目前患者诊断基本明确。
【最终诊断】
1.急性肺血栓栓塞症(中高危)
2.双侧胫前静脉血栓
3.易栓症 Ⅷ因子活性升高、Ⅻ因子活性下降、蛋白C和蛋白S活性下降
4.急性肺源性心脏病,肺动脉高压
5.纯红细胞再生障碍性贫血
问题3:如何治疗?
急性肺栓塞的治疗原则是分层治疗。中高危肺栓塞指南推荐密切心电监护下的抗凝治疗。
【治疗】
1.那屈肝素0.6ml/12h,皮下注射。
2.改善贫血,排除相关禁忌及完善输血前相容性检查后,予输入红细胞悬液400ml。
问题4:如何确定抗凝疗程?
患者抗凝1周,复查血管超声提示:双下肢动脉硬化,内膜、中膜多发小斑点,双下肢深静脉未见明显血栓。患者胸闷、气促症状改善明显。因患者存在原发与继发血栓危险因素,需长期甚至终生抗凝。考虑用药的方便性,结合患者意愿,给予利伐沙班长期抗凝,嘱门诊随访。
【随访】
出院后2个月随访,胸闷、气短症状明显减轻,复查肺部CTA:双肺栓塞灶较前明显吸收(图2)。嘱长期利伐沙班抗凝,定期随访。
.jpg)
图2肺动脉CTA示抗凝治疗2个月后双侧肺动脉血栓大部分溶解吸收(白箭)
【病例点评】
1.患者系纯红细胞再生障碍性贫血,治疗纯红再障的药物和经常输血都是常见的继发性血栓高危因素;同时患者也存在易栓症:Ⅷ因子活性升高、Ⅻ因子活性下降、蛋白C和蛋白S活性下降。因此,患者为血栓高危人群,在出现突发性胸闷、气短症状时,应高度怀疑急性肺栓塞的可能。
2.因患者存在原发与继发血栓危险因素,需长期甚至终生抗凝。最新临床试验研究结果显示,利伐沙班组疗效不劣于低分子肝素加华法林组,不增加大出血风险,而且没有传统治疗方式所需要的常规监测、注射或者控制饮食等的限制,为临床应用提供了极大的便利。考虑用药的方便性,结合患者意愿,给予利伐沙班长期抗凝。
免责声明
内容来源于人卫知识数字服务体系、人卫inside知识库,其观点不反映优医迈或默沙东观点。 此服务由优医迈与胤迈医药科技(上海)有限公司授权共同提供。
如需转载,请前往用户反馈页面提交说明:https://www.uemeds.cn/personal/feedback
人卫知识数字服务体系
Copyright © 2025 Merck & Co., Inc., Rahway, NJ, USA and its affiliates. All rights reserved.