急性肺栓塞是常见的心血管系统疾病,也是常见的三大致死性心血管疾病之一。但其临床表现缺乏特异性,容易造成漏诊或误诊,尤其是发生在老年人,多与其他疾病合并存在,临床表现更加不典型,诊断难度也更大。通过对本例老年肺栓塞患者诊疗过程的回顾,可以帮助临床医生熟悉老年人肺栓塞的发病特点、诊断思路和治疗策略。
【病史摘要】
患者男性,77岁,主因“头晕、胸闷伴气促4小时”以“胸闷原因待查”收住院。患者于2016年7月初在游泳时突发头晕、胸闷,伴气促,1分钟后自行缓解。后上述症状多次出现,不伴胸痛、冷汗、咳嗽、咯血,无明显呼吸困难,未引起重视。此次症状出现后,自行含服速效救心丸10粒后症状无缓解,为进一步诊治收入院。
既往史:有高血压及糖耐量减低病史多年。1998年冠状动脉造影检查未见明显异常,2006年查体时发现左室心肌肥厚,以心尖部肥厚为主。另有甲状腺功能亢进及睡眠呼吸暂停综合征等病史。无烟、酒嗜好;父母均有冠心病、高血压等病史。
【入院时查体】
体温36.3℃,脉搏75次/min,呼吸18次/min,血压170/79mmHg。
一般情况尚可,颈静脉无怒张,双肺呼吸音清,未闻及干、湿啰音。心率75次/min,律齐,各瓣膜听诊区未闻及杂音。腹软,无压痛及反跳痛,肝、脾肋下未触及,肠鸣音正常,双下肢轻度凹陷性水肿。
【辅助检查】
1.血生化
肌酐128μmol/L,丙氨酸氨基转移酶44U/L,天冬氨酸氨基转移酶38U/L,肌钙蛋白I 0.038μg/L,肌钙蛋白T 0.029ng/ml,脑钠肽前体404.1pg/ml。
2.血气分析
酸碱度测定7.455,氧分压测定46.2mmHg,二氧化碳分压测定33.8mmHg,氧饱和度84.4%,剩余碱测定0。
3.凝血功能
血浆D-二聚体测定9.08μg/ml,血浆纤维蛋白原测定2.36g/L,血浆活化部分凝血酶原时间测定37.3s。
4.心电图(electrocardiogram,ECG)
胸前导联T波倒置,较前无明显动态改变。
5.超声心动图(ultrasonocardiography,UCG)
肺动脉高压(重度,估测肺动脉收缩压为86mmHg,较2016年4月明显增高),左房内径49mm,右房内径41mm,左室壁肥厚(室间隔14mm,左室后壁12mm,左室心尖部厚约20mm),左室流出道未见梗阻;主肺动脉(28mm)及左、右肺动脉增宽,静息状态下未见明显节段室壁运动障碍,左室射血分数69%。
6.肺部CT
右上肺前段陈旧性病灶,双肺散在泡状肺气肿。
7.颅脑CT
左侧侧脑室旁白质腔隙性梗死灶。
【入院诊断】
1.胸闷原因待查,肺血栓栓塞?肥厚型心肌病?不稳定型心绞痛?
2.高血压,3级、很高危。
3.糖耐量减低。
【诊治思路及首要问题】
该患者首要解决诊断及早期处理问题:胸闷、气促发作是肺栓塞还是心肌缺血所致?患者活动后突发头晕、胸闷、气促伴一过性血氧饱和度下降,血浆D-二聚体明显升高,超声心动图提示新发肺动脉高压及右心扩大,临床高度可疑肺栓塞。因入院时生命体征稳定、无不适主诉,入院后予以低分子肝素抗凝治疗,监测动脉血气、心肌标志物及心电图变化,尽早完善CT肺动脉造影(computed tomographic pulmonary angiography,CTPA)检查。另外,患者有长期心肌肥厚病史,运动等心肌耗氧增加后也可出现胸闷、气促等症状,需要与之鉴别。
【诊治过程】
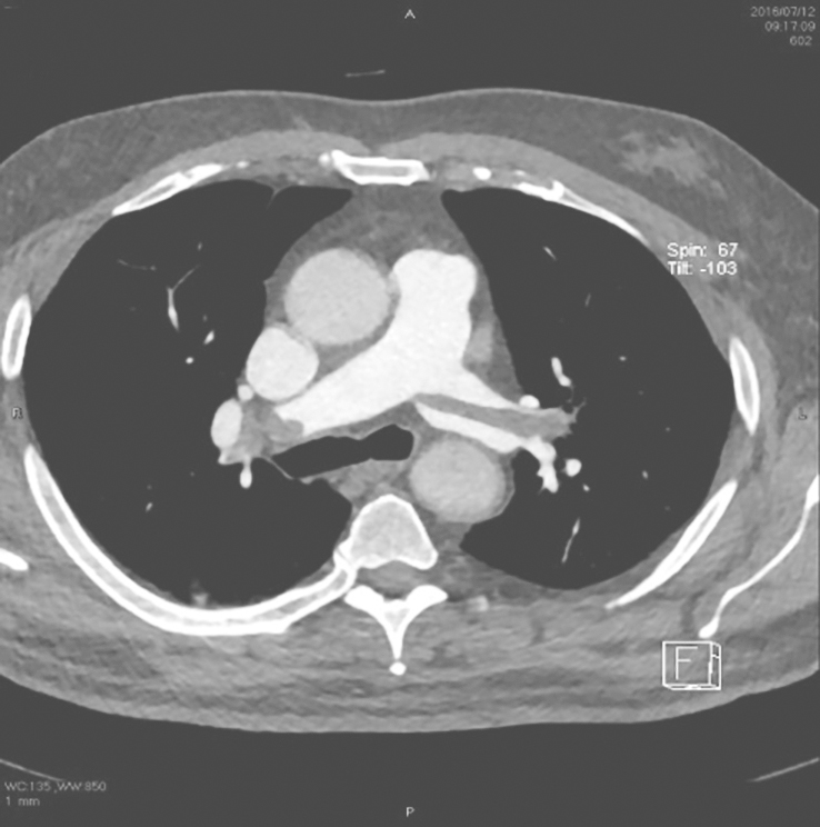
入院后给予达肝素钠2500U、每12小时1次,抗凝治疗。CTPA检查示,肺动脉分叉处、左右肺动脉内可见较大条状低密度充盈缺损,较大条状低密度影大小约8mm×56mm。右上肺动脉、右下肺动脉、左上肺动脉、左下肺动脉各段动脉内也可见多发低密度充盈缺损(图1)。双下肢静脉超声示,右下肢肌浅静脉末端、小腿肌间静脉陈旧性血栓。
肺栓塞诊断明确,治疗方面调整达肝素钠至5000U、1次/12h抗凝治疗,发病3周后改为利伐沙班片20mg、1次/d口服抗凝。8月10日因患者出现痔疮出血,将利伐沙班片减量至10mg、1次/d。

图1CTPA可见左、右肺动脉低密度充盈缺损
【最后诊断】
1.急性肺栓塞,低危组。
2.静脉血栓栓塞症。
3.高血压,3级,很高危。
4.左室心肌肥厚。
5.糖耐量减低。
【随访】
血浆D-二聚体逐渐降至正常,肺动脉收缩压降至32mmHg(恢复至发病前水平),日常活动无不适主诉。半年后复查CTPA示,原肺动脉多发低密度充盈缺损消失(图2);下肢静脉超声示,右下肢小腿肌间静脉陈旧性血栓。

图2复查CTPA所见原肺动脉多发低密度充盈缺损消失
【诊治心得】
患者为老年男性,以突发头晕、胸闷伴一过性血氧饱和度下降入院。实验室检查提示血浆D-二聚体明显升高,超声心动图提示肺动脉压明显增高及右心扩大。入院后经CTPA证实双肺动脉内多发大面积低密度充盈缺损,肺血栓栓塞症诊断明确,考虑为下肢深静脉血栓形成,血栓脱落导致肺栓塞。经过及时抗凝治疗,恢复良好,目前随访2年以上未见肺栓塞复发。此患者发生血栓栓塞的危险因素不多,但仍发生了大面积肺血栓栓塞,需要高度警惕,进而对肿瘤、自身免疫性疾病及易栓症等进行了相关检查,未见明确阳性发现。
肺栓塞(pulmonary embolism,PE)是以各种栓子阻塞肺动脉或其分支为其发病原因的一组疾病或临床综合征的总称,包括肺血栓栓塞症(pulmonary thromboembolism,PTE)、脂肪栓塞综合征、空气栓塞等,其中PTE为肺栓塞的最常见类型。引起PTE的血栓主要来源于下肢的深静脉血栓形成(deep venous thrombosis,DVT)。PTE和DVT合称为静脉血栓栓塞症(venous thromboembolism,VTE),两者具有相同易患因素,是VTE在不同部位、不同阶段的两种临床表现形式。
PE的发生率随年龄增长而呈指数增长,老年人发病率明显高于青年人。国外流行病学调查发现,PE的年发生率由65~69岁组的1.8%逐步增加到85~89岁组的3.1%。Giuntini等研究发现,PE的发病高峰在70岁左右,男性略提前于女性。来自国内60家大型医院的资料显示,住院患者中PTE的比例从1997年的0.26‰上升到2008年的1.45‰,但目前国内尚无大规模老年人群发病率统计。
任何可导致静脉血流缓慢、血管内皮损伤和血液高凝状态的因素均为VTE的危险因素。常见的易患因素中,强易患因素包括重大创伤、外科手术、下肢骨折、关节置换等;中等易患因素包括肿瘤、自身免疫性疾病、遗传性血栓形成倾向、中心静脉置管、卒中偏瘫、慢性心力衰竭、浅静脉血栓形成;易患因素包括卧床大于3天、久坐、高龄、静脉曲张等。四川大学华西医院分析了近年该院确诊的PE患者,结果显示老年PE的独立危险因素为糖尿病、充血性心力衰竭、下肢水肿、严重肺部疾病和卧床大于3天。本病例中患者VTE的危险因素不多,但仍发生了大面积的PTE,因此我们筛查了肿瘤、自身免疫性疾病及易栓症等相关检查,未找到明确的证据。但患者有久坐、超重、高血压、糖耐量减低及睡眠呼吸暂停,近期研究认为这些既是导致动脉粥样硬化的危险因素,又是VTE新的易患因素,且可产生协同作用。另外,患者发病前3个月曾有足部皮肤感染病史,不排除皮肤感染导致DVT的可能,呼吸系统、口腔、胃肠道、皮肤黏膜等部位感染,病原微生物入血,激活内源性凝血系统,从而导致血栓形成。患者虽然目前无肿瘤证据,但老年人肿瘤往往隐匿,应注意筛查和随访。
急性PTE临床表现多种多样,缺乏特异性,主要取决于血管堵塞范围的大小、发生速度和基础心肺状态等,且老年人PTE多与其他疾病合并存在,临床表现不典型,因而诊断难度大,易造成漏诊或误诊。对于既往体健的患者,一般当栓塞范围超过血管床的50%时才出现症状;老年患者不论有无心肺疾病均较易出现症状。呼吸困难及气促是急性PTE最常见的症状,呼吸困难在中央型急性PTE患者中急剧而严重,而在小的外周型急性PTE中通常短暂且轻微;其次为胸闷、胸痛,而较少发生晕厥和咯血。该患者主要表现为间断头晕、胸闷、气促,持续时间短且相对轻微。因此,临床上对出现不明原因的呼吸困难、胸闷、胸痛、晕厥、右心功能不全的老年患者,在排除其他疾病的基础上应重点考虑PE的诊断,做到早确诊、早治疗。
对于本病例,在疑诊PTE的相关检查中血浆D-二聚体和超声心动图发挥了重要作用。D-二聚体对急性PTE诊断的敏感度在92%~100%,对于低或中度临床可能患者具有很高的阴性预测价值。D-二聚体诊断的特异度随年龄的增长而逐渐降低,80岁以上的患者降至约10%,建议使用年龄校正的临界值以提高老年患者D-二聚体的评估价值。超声心动图在提示PTE诊断和排除其他心血管疾病方面有重要价值。PTE的超声心动图可表现为直接征象和间接征象,直接征象为发现肺动脉及主要分支或右心腔血栓,但阳性率不足10%;间接征象多是右心负荷过重的表现,表现为右心室和/或右心房的扩大、三尖瓣反流速度加快、肺动脉干增宽等。尽管老年人群中慢性阻塞性肺疾病、肺炎等肺部疾病也可表现为肺动脉压力升高,但根据临床经验,一般肺动脉压力较前升高30mmHg以上,应高度可疑急性PE可能。因此,该患者血浆D-二聚体明显升高、心肌损伤标志物阴性,同时结合超声心动图的典型表现,这为在确诊PTE前尽早抗凝治疗提供了重要依据。
对于血流动力学稳定的PTE疑诊患者,指南推荐将CT肺动脉造影(computed tomographic pulmonary angiography,CTPA)作为首选的确诊检查手段;如果存在CTPA检查相对禁忌(如造影剂过敏、肾功能不全、妊娠等),建议选择其他影像学确诊检查,如核素肺通气/灌注显像、磁共振肺动脉造影等。对临床高度疑诊的VTE患者,如果没有抗凝禁忌,出血风险评估若无出血风险,在等待检查确诊的同时,即可开始应用胃肠外抗凝治疗。该患者临床高度可疑VTE,在确诊之前我们已经予以低分子肝素抗凝治疗。
抗凝治疗是PTE的基础治疗手段,可以有效地防止血栓再形成和复发,同时促进机体自身纤溶机制溶解已形成的血栓。低分子肝素和磺达肝癸钠发生大出血或肝素诱导的血小板减少症的风险较低,首选用于PTE患者的初始抗凝治疗。胃肠外初始抗凝治疗启动后,应根据临床情况及时转换为口服抗凝药物,我们是应用低分子肝素3周后改为利伐沙班进行口服抗凝治疗。抗凝治疗疗程至少3个月,3个月后是否需要延展期抗凝治疗需要在出血和血栓复发之间寻求最佳平衡点。本例患者起始利伐沙班剂量为20mg、1次/d,应用12天后由于痔疮出血将利伐沙班减量至10mg,继续应用4个月后停用。目前随访2年以上,未见血栓复发和出血不良事件。接受抗凝治疗的患者,目前尚无准确方法评估出血风险,出血危险因素包括高龄、肝肾功能不全、肿瘤、合并应用抗血小板药物等,由于高龄老人并发症多、器官功能减退、用药复杂,在抗凝过程中需充分评估获益/风险比,选择个体化治疗方案。
不伴休克或持续性低血压的急性PTE患者,不推荐常规全身溶栓治疗。皮下注射低分子肝素或磺达肝癸钠是大多数不伴血流动力学障碍的急性PTE患者治疗的最佳选择。该患者虽PTE范围较广,但经过积极、充分抗凝治疗后日常活动无不适,肺动脉压力降至正常。
小贴士
肺栓塞临床表现多种多样,症状缺乏特异性,对出现不明原因的呼吸困难、胸闷、胸痛、晕厥,特别是伴右心功能不全的老年患者,应重点考虑肺血栓栓塞症的诊断。
超声心动图简便易行,在提示诊断、预后评估和排除其他心血管疾病方面具有重要价值。
对临床高度疑诊的肺血栓栓塞症患者,如果没有抗凝禁忌,在等待检查确诊的同时,应尽早对其进行胃肠外抗凝治疗。
免责声明
内容来源于人卫知识数字服务体系、人卫inside知识库,其观点不反映优医迈或默沙东观点。 此服务由优医迈与胤迈医药科技(上海)有限公司授权共同提供。
如需转载,请前往用户反馈页面提交说明:https://www.uemeds.cn/personal/feedback
人卫知识数字服务体系
            
                
                
            
            
Copyright © 2025 Merck & Co., Inc., Rahway, NJ, USA and its affiliates. All rights reserved.