一例巨细胞间质性肺炎的诊治经验分享
2025-11-21
108

48岁男性患者,5个月前出现咳嗽,多为干咳,偶有少量白痰咳出,起初无明显气喘,间断至当地医院予青霉素等抗感染治疗,效果不佳。1个月前,患者自觉咳嗽症状加重,并出现活动后气喘,上二层楼即感气喘,于当地医院住院诊治,查胸部CT示双肺弥漫性病变。患者在机械厂从事钻孔工作,接触较多金属粉尘。本病例是感染性肺疾病还是非感染性肺疾病?


一、入院疑诊


(一)病例信息


【病史】


男性患者,48岁,5个月前出现咳嗽,多为干咳,偶有少量白痰咳出,起初无明显气喘,间断至当地医院予青霉素等抗感染治疗(具体用药不详),效果不佳。1个月前,患者自觉咳嗽症状加重,并出现活动后气喘,上二层楼即感气喘,于当地医院住院诊治,查胸部CT示双肺弥漫性病变。住院期间,起初予抗感染治疗(具体用药不详),效果不佳,后给予甲泼尼龙(40mg,每天1次)静脉滴注治疗8天,辅以多索茶碱平喘、氨溴索化痰,患者自觉咳嗽、气喘症状有所改善。患者为求进一步诊治入住我科。发病以来,患者无发热、寒战,无皮疹或关节痛,无明显口干、眼干,无反复口腔溃疡,无腹痛、腹泻,饮食、睡眠可,大小便正常,体重无明显变化。


患者否认高血压、糖尿病等慢性病病史;3年前因骑车摔伤致左锁骨骨折,于当地医院行左锁骨骨折内固定术;否认犬类、牛羊等动物接触史;在机械厂工作8年,从事钻孔工作,接触金属粉尘较多;无石棉接触史;有吸烟史10余年,每天20支;无饮酒嗜好;家族史无特殊。


【体格检查】


体温36.7℃,心率95次/min,呼吸18次/min,血压130/75mmHg,SpO2 97%(未吸氧);神志清,精神可,无发绀;胸廓对称、无畸形,两侧呼吸动度均衡;两肺听诊呼吸音粗,未闻明显干湿啰音;心律齐,各瓣膜听诊区未闻明显病理性杂音;腹部未查及明显异常;双下肢不肿,可见杵状指。


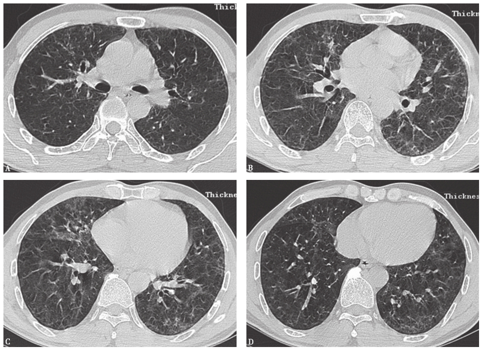
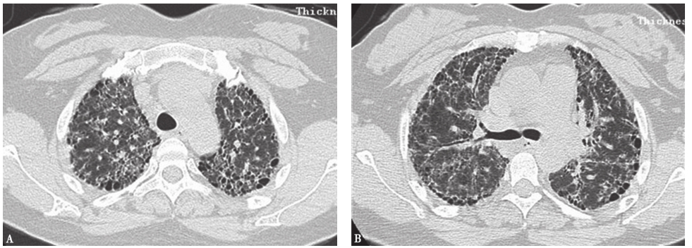
【影像学检查】


外院胸部CT示两肺散在磨玻璃影、弥漫性小结节影(图1),局部可见牵拉性支气管扩张。


图1外院胸部CT表现-6902305394853888


图1外院胸部CT表现-6902307317614592


图1外院胸部CT表现




(二)临床思辨


【临床特点】


1.患者为中年男性,在机械厂从事钻孔工作,接触较多金属粉尘,慢性起病。

2.主要症状和体征为咳嗽、活动后气喘,可见杵状指。

3.胸部CT示两肺磨玻璃影伴小结节影形成。

4.抗感染治疗(青霉素等)效果不佳;静脉滴注激素后,患者咳喘症状改善。


【思辨要点】


1.本病例是感染性肺疾病还是非感染性肺疾病?


肺部感染性疾病指包括终末气道、肺泡腔及肺间质等在内的肺实质炎症。按病因可分为细菌性肺炎、病毒性肺炎、非典型病原体肺炎(军团菌、肺炎支原体、衣原体感染)、真菌性肺炎、肺结核、其他病原体(立克次体、弓形虫、肺孢子菌、寄生虫等)所致肺炎。临床表现为发热、咳嗽、咳痰,部分可有气促、胸痛、咯血等,体征可有湿啰音,影像学有肺浸润改变。病情严重者有气体交换障碍。肺部感染性疾病可根据症状、体征、影像学表现等做出临床诊断,确诊需依据病原学检查结果。本例患者为中年男性,慢性病程,病程中无发热,主要临床表现为咳嗽、气喘,抗感染治疗效果不佳,结合胸部影像学表现,与普通感染表现不符合。患者平时身体健康,无结构性肺病等慢性病病史,特殊病原体感染可能性亦不大。患者CT特点为两肺磨玻璃影、弥漫性小结节影,须注意与肺结核尤其是血行播散型肺结核鉴别。后者影像学表现为肺野内多发均匀分布的小颗粒状阴影,病变亦可相互融合,呈小斑片状阴影,部分边缘模糊,有的病变呈增殖硬结,部分亦可见纤维化索条状阴影(图2)。本例患者无结核相关发热、消耗等表现,故患肺结核可能性亦不大。


图2血行播散型肺结核胸部CT表现


图2血行播散型肺结核胸部CT表现


胸部CT可见两肺弥漫小结节影,大小、分布、密度较均一


综上分析,从总体临床过程来看,本病例为非感染性肺疾病可能性较大。



2.本病例可能为哪一类非感染性肺疾病?


非感染性疾病种类繁多,鉴别诊断复杂。对于本例患者,鉴别诊断应从其CT表现入手。


(1)风湿免疫病和肿瘤


患者CT主要表现为两肺磨玻璃影、多发小结节影,局部可见网状影及牵拉性支气管扩张。首先须排查风湿免疫病和肿瘤。风湿免疫病是一种系统性疾病,往往伴有肾、关节、皮肤、肌肉和血液等多系统损伤,单一累及肺组织者少见。本例患者无发热,无皮疹或关节痛,无明显口干、眼干,无反复口腔溃疡等,患风湿免疫病可能性不大,可进一步完善自身免疫相关检查以排除。肿瘤方面的鉴别诊断,主要应排查肺转移癌。血源性转移癌可出现随机分布的结节,一般两肺对称,广泛分布于肺的各个部位,结节密度较高,边缘一般较清楚(图3)。淋巴转移癌表现为支气管血管束不规则结节状增厚,小叶间隔增厚呈串珠状或胸膜下多角形细线结构,可伴有患侧胸腔积液 (图4)。患者常有刺激性咳嗽。本例患者肺内无原发癌表现,临床症状、体征亦无其他部位肿瘤提示,发生肺转移癌可能性较小。


图3肺癌伴肺内转移CT表现


图3肺癌伴肺内转移CT表现

女性患者,45岁,肺癌伴肺内转移。胸部CT见两肺广泛粟粒状小结节影



图4癌性淋巴管炎胸部CT表现


图4癌性淋巴管炎胸部CT表现

女性患者,55岁,胃癌。胸部CT可见双侧少量胸腔积液伴网格状周边型结节,呈癌性淋巴管炎表现


(2)间质性肺疾病


CT呈弥漫性肺病改变的一类主要疾病为间质性肺疾病(interstitial lung disease,ILD)。ILD是一组以肺泡单位炎症和间质纤维化为基本病变的异质性非肿瘤和非感染性肺部疾病的总称,又称弥漫性实质性肺疾病(diffuse parenchymal lung disease,DPLD)。根据CT表现,本病例需要鉴别的ILD主要有以下几种:


1)特发性肺纤维化(IPF):组织病理学表现为普通型间质性肺炎(UIP),典型的CT表现为双侧和下肺胸膜下分布的网状影、蜂窝肺、牵拉性支气管和细支气管扩张、肺结构变形,无或少量磨玻璃影,小结节影少见(图5)。CT表现出现下述任何一条,则不符合UIP,更应注意其他疾病的可能:①病变分布以中上肺叶为主;②病变分布以支气管血管束周围为主;③过多磨玻璃样改变;④弥漫性微结节影;⑤多发囊性病变(远离蜂窝区);⑥气体陷闭;⑦肺叶段实变。本例患者CT表现以磨玻璃影及小结节影为主,不符合IPF的CT表现。


图5特发性肺纤维化胸部CT表现


图5特发性肺纤维化胸部CT表现

胸部CT可见两下肺胸膜下网状阴影、蜂窝影、牵拉性支气管扩张



2)非特异性间质性肺炎(NSIP):CT表现多样,有磨玻璃影、网状影、实变影、粗线条状影、小结节影、牵拉性支气管扩张、蜂窝影等。典型CT表现有:两下叶对称性分布、磨玻璃影、网状阴影、牵拉性支气管扩张、肺体积缩小(图6)。CT表现以弥漫性小结节影为主的NSIP少见,如果出现小叶中央性结节影更应考虑其他间质性肺疾病。本病例CT可见弥漫性小结节影、主要表现为小叶中央性,故为NSIP可能性不大。


图6非特异性间质性肺炎胸部CT表现


图6非特异性间质性肺炎胸部CT表现

女性患者,39岁,胸腔镜肺活检病理证实为非特异性间质性肺炎。CT示两下肺网状阴影、小点片状磨玻璃影,胸膜下散在分布



3)呼吸性细支气管炎伴间质性肺疾病(RB-ILD):最常见的CT表现是中央支气管和周围支气管管壁增厚,其他CT表现包括小叶中央小结节影、磨玻璃影和伴有气体潴留的肺气肿(图7)。患者应有相应的临床背景资料(尤其是在最近6个月内有吸烟史),有相应的临床和影像学表现,肺活检符合RB-ILD表现,同时排除其他更为严重的弥漫性间质性肺疾病。本例患者有吸烟史,CT可见小结节影、磨玻璃影,因此须进行相关检查以与RB-ILD相鉴别。




图7RB-ILD胸部CT表现

图7RB-ILD胸部CT表现

男性患者,41岁,胸腔镜肺活检病理证实为呼吸性细支气管炎伴间质性肺疾病。CT示两肺弥漫分布小叶中心型小结节影、周围支气管管壁增厚


4)职业相关性间质性肺疾病:本例患者有一个重要的特点,即有特殊的职业史——从事钻孔工作8年,接触较多金属粉尘。有无可能是职业相关性间质性肺疾病呢?职业相关性间质性肺疾病包括一大类由于吸入职业环境中的粉尘颗粒或化学烟雾导致的肺部疾病,主要包括各种尘肺、石棉肺、化学性肺炎和过敏性肺炎等。其中多数影像学表现为肺部弥漫性病变。本例患者主要需在以下3种疾病中鉴别。


过敏性肺炎(HP):也称外源性过敏性肺泡炎(EAA),指易感个体反复吸入有机粉尘抗原后诱发的肺部变态反应性疾病。急性HP胸部HRCT表现为大片状或斑片性磨玻璃和气腔实变阴影,内有弥漫性分布且边界难以区分的肺腺泡性小结节影(图8),直径<5mm,伴小叶中心和细支气管周围分布,斑片性磨玻璃样变和肺泡过度充气交错形成马赛克征象。亚急性HP胸部HRCT主要显示沿小叶中心和细支气管周围弥漫分布的边界不清的小结节影;细支气管炎可导致支气管阻塞,引起气体陷闭,形成小叶分布的斑片样过度充气区(图9)。慢性HP胸部HRCT主要表现为小叶间隔和小叶内间质不规则增厚,蜂窝肺伴牵拉性支气管或细支气管扩张和肺大疱,间或混有斑片性磨玻璃样变(图10)。根据明确的抗原接触史,典型的症状发作及其与抗原暴露的明确关系,胸部影像学表现和肺功能特征性改变,支气管肺泡灌洗检查显示淋巴细胞明显增加(通常淋巴细胞>40%, CD4+/CD8+<1),可以做出明确诊断。经支气管肺活检取得的合格病理资料可进一步支持诊断,一般不需要外科肺活检。



图8急性过敏性肺炎胸部CT表现

图8急性过敏性肺炎胸部CT表现

胸部CT示肺弥漫性磨玻璃影,其内见肺腺泡性小结节影


图9亚急性过敏性肺炎胸部CT表现


图9亚急性过敏性肺炎胸部CT表现

胸部CT示两肺弥漫性边界不清的小结节影




图10慢性过敏性肺炎胸部CT表现

图10慢性过敏性肺炎胸部CT表现

胸部CT示两肺磨玻璃影、蜂窝肺形成


本病例CT表现为弥漫性小结节影、散在磨玻璃影,与HP类似。但患者既往接触较多金属粉尘,而非植物或动物的有机粉尘,不完全符合HP。从CT表现来看,本病例无蜂窝肺、肺大疱表现,不符合慢性HP,亦无急性HP典型的大片状磨玻璃影和气腔实变影,是否为亚急性HP,需要病理检查结果进一步鉴别。


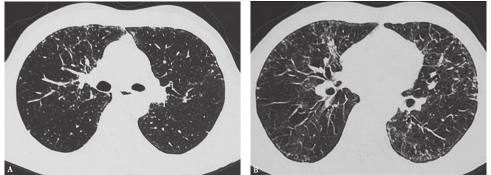
铁尘肺:是由于肺内巨噬细胞积聚三氧化二铁颗粒形成的,通常是吸入过多焊工烟雾造成的,故也称为焊工尘肺。绝大部分铁尘肺不引起肺纤维化和肺功能损害,可以无任何临床症状而在体检时发现。胸部CT可以发现双肺多发性边界不清的小叶中心型小结节影,少部分患者可发现线状影、斑片状实变影和广泛磨玻璃影(图11)。铁尘肺的诊断主要依据职业接触史和影像学特征,少数患者需要肺活检病理证实。本例患者自诉其接触金属粉尘可能主要为铁粉尘,但CT所示小结节影不如典型铁尘肺分布广泛,且临床症状相较于铁尘肺偏重,最终仍需病理结果来明确鉴别。


巨细胞间质性肺炎(giant cell interstitial pneumonia,GIP):是暴露于含有钴、碳化钨等硬金属及其化合物引起的少见职业相关性间质性肺疾病。其典型胸部CT表现为弥漫性磨玻璃影、小结节影、广泛网状影和牵拉性支气管扩张改变,以及大小不等的实变影(图12)。晚期患者可见肺部广泛的结构扭曲和蜂窝样改变。GIP最终诊断应该根据职业接触史、影像学特征和病理学等证据。本例患者从事钻孔工作8年,接触金属粉尘较多,有职业接触史,影像学特征也较符合GIP,但仍需获得病理学检查结果以明确诊断。


图11尘肺胸部CT表现


图11尘肺胸部CT表现

男性患者,42岁,经支气管肺活检病理证实为铁尘肺。胸部CT示两肺弥漫性磨玻璃样小结节影




图12巨细胞间质性肺炎胸部影像学表现


图12巨细胞间质性肺炎胸部影像学表现

男性患者,32岁,从事刀具磨制工作9年,经支气管肺活检病理证实为巨细胞间质性肺炎。CT示两肺散在磨玻璃影、小结节影、小片实变影、牵拉性支气管扩张



综上所述,本病例为非感染性肺疾病可能性大,主要需要在几种间质性肺疾病,尤其是职业相关性间质性肺疾病中鉴别,现有临床资料尚难以确定。此外,仍需完善相关检查,进一步排除风湿免疫或感染性因素可能导致的病变。


二、诊治过程


(一)临床信息


【实验室检查】


1.一般检查


(1)血常规:WBC 7.1×109/L,N% 66.8%,Hb 151g/L,PLT 230×109/L。

(2)尿常规、便常规:无明显异常。

(3)肝、肾功能及电解质:均在正常范围。

(4)凝血功能:凝血酶原时间(PT)、活化部分凝血激酶时间(activated partial thromboplastin time,APTT)、凝血酶时间(thrombin time,TT)均在正常范围。

(5)动脉血气分析(平静呼吸空气):pH 7.40,PaCO2 46mmHg,PaO2 94mmHg,SaO2 97%。


2.免疫相关检查


自身抗体(包括抗核抗体、抗dsDNA抗体、抗Sm抗体、抗线粒体抗体、类风湿因子等)均阴性;抗中性粒细胞胞质抗体阴性;补体C3、C4和免疫球蛋白IgA、IgG、IgM均在正常范围;淋巴细胞免疫分型,CD3+细胞占淋巴细胞比例稍低(46.5%),其余均在正常范围;心肌酶(肌酸激酶、肌酸激酶MB同工酶、α羟丁酸脱氢酶)在正常范围。


3.感染相关检查


CRP 6.9mg/L;3次痰找抗酸杆菌均阴性。


4.肿瘤标志物检查


肺癌三项指标(包括CEA、CYFRA21-1、NSE)均在正常范围。


5.肺功能及弥散量检测


因患者不愿配合而未能完成。


【影像学检查】


1.心脏彩超


左心室收缩功能正常。


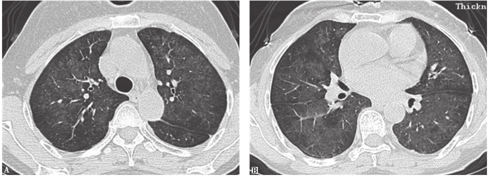
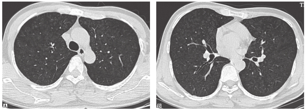
2.胸部HRCT


两肺散在磨玻璃影及小结节影(图13),局部网状影,较入院前(图1)明显吸收、好转。



图13入院后胸部HRCT表现

图13入院后胸部HRCT表现



(二)临床思辨


患者入院后所做系列检查显示:①自身抗体均阴性,结合临床表现,基本可排除风湿免疫病;②常规病原学检查均阴性;③胸部HRCT可见两肺小结节影、磨玻璃影,较外院CT明显吸收、好转,证明外院激素治疗有效。此外,患者在未接受抗肿瘤治疗的情况下小结节影吸收、好转,与肺转移癌不符(由于癌细胞不断增殖,粟粒状癌灶可在短时间内渐进性增大)。


此时,对于本病例,基本可排除感染性疾病、风湿免疫病及肺转移癌,而须进一步思考以下问题:


1.结合患者的职业史,本病例可能是职业相关性间质性肺疾病吗?


根据患者金属粉尘暴露史,经激素治疗及暂时脱离原有工作环境后,胸部CT示肺部病变有明显好转趋势,基本排除特发性或原发性间质性肺疾病,须重点甄别职业相关性间质性肺疾病。铁尘肺典型的CT表现是双肺多发小结节影,多呈磨玻璃样结节,本病例的结节影分布不如典型铁尘肺广泛,但尚需进一步鉴别。GIP胸部CT可见磨玻璃影、小结节影,与本病例情况相似,但最终还需病理检查明确诊断。


2.下一步应如何选择检查方法以明确诊断?


外科胸腔镜检查创伤较大、费用高,不作为首选。本例患者入院后CT仅显示两肺散在少量微结节影及磨玻璃影,不适合肺穿刺活检。支气管镜检查创伤小、患者易接受,并且可进行刷检、灌洗、活检等,对诊断价值更高。


三、临床确诊


(一)临床信息


支气管镜检查,镜下见气管、主支气管和各叶段支气管管腔通畅,黏膜光滑,未见出血、新生物(图14)。左肺舌叶BALF涂片见多核巨细胞(图15A),细胞分类示多核巨细胞10%、嗜酸性粒细胞15%、组织细胞60%、淋巴细胞15%,未找到恶性肿瘤细胞,抗酸杆菌涂片阴性;在右肺下叶刷片,亦见到少数多核巨细胞(图15B)。右肺下叶经支气管肺活检病理示送检肺组织内见肺泡隔纤维组织增生、慢性炎症细胞浸润,部分肺泡腔内见融合的组织细胞(多核巨细胞)(图16)。



图14支气管镜检查镜下表现



图14支气管镜检查镜下表现

A.气管隆嵴;B.左主支气管;C.右上叶支气管;D.右下叶基底段支气管




图15左肺舌叶BALF(A

图15左肺舌叶BALF(A.瑞氏染色,400×)及右肺下叶刷检(B.HE染色,400×)均可见多核巨细胞



图16右肺下叶经支气管肺活检病理表现(HE染色,100×)


图16右肺下叶经支气管肺活检病理表现(HE染色,100×)


最后诊断:巨细胞间质性肺炎。

患者经泼尼松(20mg,每天2次)口服治疗,并且脱离原有工作环境,1个月后复查胸部HRCT示两肺磨玻璃影及小结节影较前进一步吸收(图17),咳嗽、气喘症状明显缓解。



图17泼尼松治疗1个月后胸部HRCT表现-6902304544819200


图17泼尼松治疗1个月后胸部HRCT表现

HRCT显示磨玻璃影及小结节影进一步减少,双肺胸膜下少量小结节影



(二)临床思辨


根据一系列临床证据,本病例最终明确诊断为巨细胞间质性肺炎,这也解释了其抗感染治疗无效而激素治疗有效的原因。


巨细胞间质性肺炎(GIP)是暴露于含有钴、碳化钨等硬金属及其化合物引起的罕见间质性肺疾病,自2002年以后,不再纳入特发性间质性肺炎分类中。该病一般潜伏期较长,病程进展缓慢,症状较轻微,可有干咳、气短、胸闷、胸痛和乏力等症状。肺部体检多无特别阳性体征。晚期部分患者出现明显肺间质纤维化时,肺部可听到捻发音或Velcro音。常规实验室检查多无特征性异常改变。胸部HRCT表现为两肺磨玻璃影、小结节影、网状影和牵拉性支气管扩张改变,可见大小不等的实变影。晚期患者胸部影像学表现可见肺部广泛的结构扭曲和蜂窝样改变。GIP特征性的病理改变为肺泡腔内巨噬细胞和大量多核巨细胞聚集,其内可见被吞噬的炎症细胞。其主要治疗措施为脱离金属粉尘暴露环境和/或使用糖皮质激素。


此时还需思考:如果没有明确金属粉尘的性质,是否可以诊断GIP?


硬金属为具有极高物理硬度的耐磨、耐热、抗腐蚀的合金,其主要成分为钴、碳化钨、钛等金属,常用于制作钻头、切割、打磨刨光模具等而应用于各个行业。由于吸入过多硬金属粉尘导致的间质性肺疾病又称为硬金属尘肺。目前认为,能引起硬金属尘肺的金属粉尘包括钴和碳化钨等。GIP是硬金属尘肺的特征性组织学改变。Ohori等提出的硬金属尘肺诊断标准包括:①硬金属粉尘接触史;②慢性咳嗽、气短和劳力性呼吸困难;③间质性肺疾病影像学特征;④GIP(肺泡腔内充填大量巨细胞)或间质性肺炎的病理学改变;⑤肺组织中检测到硬金属成分。随着新的相关职业工种、材料和工具的出现,发生硬金属粉尘相关职业性肺疾病的可能性也在增加。有时医师和患者并不清楚其职业接触史,患者本人亦不了解所接触粉尘的金属成分。此外,硬金属肺疾病发病与暴露于粉尘环境的时间、强度及粉尘在肺内堆积的量可能不显著相关,而与个体易感性有关。变态反应在该病发病机制上的作用要超出硬金属沉积机制。在实际临床工作中,也确实在很多GIP患者的肺组织中没有检测到超标的硬金属颗粒。本例患者有明确的金属粉尘接触史,有咳嗽和活动后气喘症状,影像学表现为间质性肺疾病,支气管镜标本有典型的GIP病理表现(即硬金属尘肺的特征性病理改变),符合硬金属尘肺的诊断标准,GIP诊断可以成立。


精要回顾与启示


肺部弥漫性磨玻璃影伴小结节影是多种呼吸系统疾病可能呈现的CT表现,需注意在感染、风湿免疫病、肿瘤、间质性肺疾病等方面仔细鉴别。许多不同病因所致弥漫性肺病可以有类似的影像学表现,只有临床、影像和病理三者紧密结合,才能提高诊断的准确性。巨细胞间质性肺炎是非常少见的慢性间质性肺炎,无特殊临床表现,影像学表现类似于其他间质性肺炎,临床诊断困难,须依靠病理检查帮助确诊。此外,询问病史时必须仔细查问职业、环境暴露史,避免职业或环境相关肺病的漏诊和误诊。



免责声明

内容来源于人卫知识数字服务体系、人卫inside知识库,其观点不反映优医迈或默沙东观点。 此服务由优医迈与胤迈医药科技(上海)有限公司授权共同提供。

如需转载,请前往用户反馈页面提交说明:https://www.uemeds.cn/personal/feedback

参考资料

人卫知识数字服务体系

(0)
下载
登录查看完整内容
热门推荐图标
热门推荐
二维码
关注优医迈微信
并绑定账号
即可获得100优点