胃肠间质瘤(gastrointestinal stromal tumors,GIST)一般为单发肿瘤,多发GIST通常见于家族性GIST或出现在一些综合征中,如1型神经纤维瘤病、Carney综合征。原发的多发散发GIST(multiple sporadic GIST)较为罕见,术前影像学检查或内镜检查有时难以发现,可能存在漏诊甚至误诊,因此临床上要警惕有多发的可能。且目前多发GIST的发病机制和病理危险度分级方案亦无定论,治疗方案存在争议。
【病例摘要】
患者,男性,80岁,近1个月无明显诱因反复出现黑便,伴轻微腹痛、腹胀,无呕血,服用“胃药”(具体不详)后可稍缓解。昨日患者再次出现黑便,为求进一步治疗,遂至四川大学华西医院胃肠外科就诊,门诊以“上消化道出血待查”收治入院。
1.既往史及家族史
既往无特殊病史,无家族性肿瘤病史。
2.体格检查
入院查体:生命体征平稳,腹部饱满,全腹柔软,无压痛及反跳痛,腹部未触及包块,双下肢无水肿。
3.辅助检查
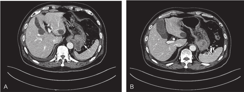
-腹部增强CT:胃贲门部及胃体分别可见两处大小分别为5cm和3cm左右、混杂密度肿块影,两处肿块增强扫描均呈现不均匀强化,考虑GIST可能(图1)。

图1术前腹部CT示胃部肿瘤
A.胃底贲门部;B.胃体部
-实验室检查:血红蛋白 85g/L↓,钠126.3mmol/L↓,钾2.93mmol/L↓,氯95.6mmol/L↓,C反应蛋白75.30mg/L↑,前列腺特异性抗原39.150ng/ml↑,其余实验室结果均在正常范围内。
4.初步诊断
1.胃多发肿物:胃肠间质瘤?
2.中度贫血
3.低钾血症
【治疗过程】
(一)病例分析
患者为老年男性,1个月来反复出现黑便,腹部CT检查提示贲门及胃体两处肿瘤,从CT检查来看,考虑GIST可能,有手术指征,建议患者行外科手术切除胃部肿物,明确肿瘤性质并指导术后治疗。患者目前一般情况不佳,应及时纠正贫血及水电解质失衡,完善相关术前检查,及早手术治疗。
(二)治疗方案
完善术前准备后,患者于全麻下行开腹根治性胃肿瘤切除术。术中发现:腹腔内无腹水,盆底腹膜光滑,肝脏见囊肿,未扪及实性结节,胰腺脾脏未扪及异常,小肠及其系膜未见异常,贲门近胃底大弯侧及前壁见两个较大的包块,大小分别为5cm×4cm×4cm和3cm×3cm×3cm,起源于胃壁黏膜下,向胃腔内外生长,呈哑铃型,两处肿瘤其间有正常胃壁组织间隔(图2)。距肿瘤边缘2cm处完整切除肿瘤,术中冷冻病理示胃梭形细胞肿瘤。胃壁浆膜面还见一直径1cm外生性结节,一并切除(图3)。手术顺利,术后予以肠外营养、禁食、补液等对症支持治疗,术后恢复良好,顺利出院。

图2术中所见

图3术后剖视肿瘤标本
(三)术后病理及基因检测
-术后病理:送检三处均为胃肠间质瘤(图3),其中:胃肿瘤1大小5.2cm×4.5cm×3.0cm,核分裂象约3个/50HPF,梭形细胞型,肿瘤内可见大片坏死;肿瘤2大小3.5cm×2.5cm×2.0cm,核分裂象约6个/50HPF,上皮细胞型;肿瘤3大小约0.6cm×0.5cm×0.4cm,核分裂象约1个/50HPF,上皮细胞型。改良NIH危险度分级:肿瘤1、2为中风险,3为极低风险。
-免疫组织化学染色:CD117(+),DOG-1(+),VIM(+),SMA(-),SDHB(+),Caldesmon(+),DES(-),S-100(-),Ki-67(Li:约 10%)。
【预后】
术后患者接受伊马替尼辅助治疗,截至末次随访(术后10个月)未见复发转移征象。
【经验与体会】
GIST发病无特异性症状,大部分患者因腹胀、腹痛、消化道出血等常见消化道症状就诊,完整切除肿瘤是GIST主要的治疗方法,伊马替尼治疗已经极大改善了GIST的预后。GIST一般为单发肿瘤,散发多病灶GIST罕见。多发GIST的临床症状、治疗与一般单发GIST无异。当前对于原发多发GIST的发病机制仍不明确,根据疾病表现的不同,可将原发多发GIST分为三类,即:①家族性多发GIST:此类GIST有明确家族史,多为胚系突变所致,年轻发病,多见于小肠,伴有肠道Cajal细胞增生;②1型神经纤维瘤病(type 1 neurofibromatosis,NF1)和Carney三联征相关GIST:此类GIST通常不伴有KIT和PDGFRA的突变,免疫组织化学染色可见CD34、CD117、DOG-1阴性;③原发多发散发型GIST:一般为体细胞突变,临床表现与常见GIST无异,多见于高龄患者。
本例患者结合病史、查体及病理结果,初步诊断为多发散发GIST,此类肿瘤常见于胃和小肠中,甚至同时并发于胃和小肠。本例患者病理尤为特殊性,肿瘤1和肿瘤2、3细胞形态学不同,前者为梭形细胞型,后两者为上皮细胞型。细胞形态学不同提示肿瘤细胞学来源可能不同。遗憾的是,我们目前尚未获得患者多个肿瘤基因检测结果。目前临床对于原发多发GIST病理危险度分级尚未统一,改良NIH危险度分级和AFIP标准均未明确多发GIST病理危险度分级标准,临床中一般取危险度分级较高的肿瘤作为患者最终危险度级别。
实际临床中对于多发GIST,一般采用排除法诊断。首先应判断患者是否为原发转移,再根据几种多发GIST的临床特点结合病理学结果最终做出诊断。目前手术完整切除肿瘤仍是多发GIST主要治疗方法,同时根据术后危险度分级,决定患者是否接受伊马替尼辅助治疗。
免责声明
内容来源于人卫知识数字服务体系、人卫inside知识库,其观点不反映优医迈或默沙东观点。 此服务由优医迈与胤迈医药科技(上海)有限公司授权共同提供。
如需转载,请前往用户反馈页面提交说明:https://www.uemeds.cn/personal/feedback
人卫知识数字服务体系
Copyright © 2025 Merck & Co., Inc., Rahway, NJ, USA and its affiliates. All rights reserved.