中年女性,既往有哮喘病史,咳嗽咳痰1年余,慢性起病,外院行肺CT显示“左肺门占位伴左上肺阻塞性肺不张及炎症,左肺上叶炎症,右肺下叶磨玻璃结节”,如何诊治?
【病例简介】
患者女性,51岁,家庭主妇。主因“咳嗽、咳痰1年余”就诊。患者2016年8月无明显诱因下出现间断性咳嗽、咳痰,多为白色泡沫样痰,偶有黄脓痰,晨起为著,无明显季节性,无咯血、胸痛、胸闷、气急、声音嘶哑,无长期低热、午后盗汗、消瘦,无鼻塞、流涕、咽痛、咽痒、反酸、嗳气、胸骨后烧灼感等其他不适。自述外院痰培养阴性。2017年9月7日外院行肺CT报告“左肺门占位伴左上肺阻塞性肺不张及炎症,右肺下叶磨玻璃结节”。为进一步治疗收入院。追问病史,患者幼年时有“哮喘病史”,自述已治愈。近10年无药物治疗,无憋喘发作,活动耐力无明显下降。患病以来精神可,胃纳可,睡眠可,大小便正常,体重无明显下降。
1.入院查体
T 37℃,P 69 次/min,R 13 次/min,BP 124/71mmHg,身高 163cm,体重 55kg。神清,步入病房。全身皮肤黏膜未见异常,无肝掌,未见瘀点、瘀斑,未见皮疹,巩膜无黄染,睑结膜无充血,全身浅表淋巴结未触及肿大。口唇无发绀,咽部无充血,扁桃体无肿大。胸廓对称无畸形,胸骨无压痛;双肺呼吸音稍粗,左肺上叶可闻及湿啰音。心前区无隆起,心界无扩大,心率69次/min,律齐,各瓣膜听诊区未闻及杂音。腹软,全腹无压痛及反跳痛,肝、脾肋下未触及,肝肾无叩痛,肠鸣音4次/min。双下肢无水肿。四肢肌力正常,生理反射正常,病理反射未引出。
2.既往史、个人史、家族史、婚育史
否认肝炎、结核等传染病史,否认结核接触史。否认手术外伤史。否认食物药物过敏史。否认疫区接触史。否认有毒有害物质接触史。无吸烟、酗酒史。家族史无特殊。已婚已育,家人体健。
3.辅助检查
暂无。
4.初步诊断
左肺门占位,性质待查
肺部结节,性质待查
【病例解析】
问题1:患者初步诊断左肺占位,如何进一步检查明确诊断?
患者病史有如下特点:①中年女性;②既往有哮喘病史,否认吸烟、ACEI类降压药物应用史;③咳嗽、咳痰1年余,慢性起病;④外院行肺CT“左肺门占位伴左上肺阻塞性肺不张及炎症,左肺上叶炎症,右肺下叶磨玻璃结节”,综合以上病情特点,患者长期慢性咳嗽咳痰与左上肺病灶关系较大,拟根据症状体征复查胸部CT评估疗效,行血清学相关检查、气管镜等病原学及组织学检查明确诊断及鉴别诊断。
-血常规(2018-04-17):白细胞:5.25×109/L,中性粒细胞百分比:54.3%,淋巴细胞百分比:33.1%,嗜酸性粒细胞百分比:4.8%,血红蛋白:134g/L,血小板:311×109/L;CRP:6.89mg/L,ESR:7mm/h,PCT:0.09ng/ml↑。
-肿瘤标志物(2018-04-17):CA125:36.84ng/ml↑,余无异常增高。
- T-spot(2018-04-17):阳性,抗原 A(ESAT-6):19,抗原 B(CFP-10):10。
-血免疫球蛋白 IgE(2018-04-17):1137.6ng/ml↑。
-支气管镜检查(2018-04-18):左上叶固有段被较多脓性分泌物堵塞管口,吸除后管腔通畅,未见新生物。
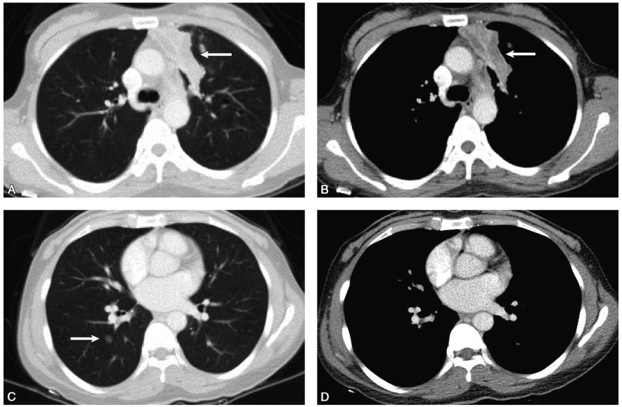
-胸部CT增强(2018-04-19):左肺上叶前段支扩伴感染,右肺下叶背段8mm磨玻璃结节(图1)。

图1胸部CT增强示左肺上叶前段支扩伴感染,右肺下叶背段8mm磨玻璃结节
A、B.白箭示支气管扩张,腔内见液性暗区;C.白箭示磨玻璃影;D.C图的纵隔窗表现
-肝功能、肾功能、电解质、血脂全套、DIC、细胞体液免疫、自身免疫抗体、乳胶凝集试验、G实验、HIV抗体:均阴性。
综合以上检查结果,患者慢性咳嗽咳痰考虑左肺上叶支气管扩导致的分泌物引流不畅所致,而左上肺反复不张及炎性病变也考虑与此相关。患者经支气管镜吸除脓性分泌物后症状明显好转。
问题2:患者右肺下叶背段磨玻璃结节如何明确其性质?
患者肺部CT示:右肺下叶背段8mm磨玻璃结节,从肺部CT来看属于纯磨玻璃结节,需考虑肺癌可能。2017年4月27日转胸外科行胸腔镜下肺段切除术VAST右下叶背段切除,术后病理示(右下肺)微浸润性腺癌,以贴壁型生长为主,肿瘤浸润胸膜,切缘未见肿瘤累及,送检4组淋巴结3枚,7组淋巴结1枚,9组淋巴结1枚,10组淋巴结1枚,12组淋巴结2枚,均未见肿瘤转移(0/8+)。手术过程顺利。至此肺部结节诊断明确。
问题3:患者支气管扩张症的原因是什么?
患者入院后肺部CT明确为支气管扩张症,入院后予以左氧氟沙星0.5g,1次/d,联合头孢哌酮/舒巴坦3.0g,2次/d,经验抗感染治疗,同时复查支气管镜,随访血常规、血沉、CRP、PCT、曲霉特异IgE等检查。
-血常规(2018-05-02):白细胞:10.08×109/L↑,中性粒细胞:76.7%,嗜酸性粒细胞:3.2%;ESR:52mm/h↑,CRP:14.2mg/L↑,PCT:0.03ng/ml。
- T-spot(2018-05-02):阴性,抗原 A(ESAT-6):0,抗原 B(CFP-10):0。
-曲霉特异 IgE(2018-05-04):0.65ng/ml↑。
-支气管镜(2018-05-03):左上叶尖段支气管可见脓性分泌物堵塞,吸除坏死分泌物,局部生理盐水灌洗送检病原学,真菌直接镜检阳性,见丝状真菌生长。
-肺功能(2018-05-03):总呼吸道阻力增高,轻度混合型肺通气功能障碍,小气道闭陷,FEV1/FVC:83.8%,吸气肌肌力减退,呼吸肌肌力正常,呼吸中枢驱动力增高,肺弥散功能中度减退。
-鼻窦CT(2018-05-07):鼻窦黏膜增厚,鼻旁窦无殊。
患者既往有哮喘病史,临床表现为反复咳嗽咳痰,影像学示反复左肺上叶支气管扩张伴感染,指套征(+),黏液栓(+),肺功能提示混合型肺通气功能,血免疫球蛋白IgE及曲霉特异IgE升高,支气管肺泡灌洗液真菌镜检丝状真菌阳性,综上,根据诊断标准,临床诊断为变应性支气管肺曲霉菌病(allergic bronchopulmonary aspergillosis,ABPA)。
【最终诊断】
1.变应性支气管肺曲霉菌病
2.右肺癌(微浸润性腺癌)
【治疗过程】
甲泼尼龙20mg,1次/d;伊曲康唑口服液20ml,2次/d,口服;碳酸钙 D31片,1次/d,奥美拉唑胶囊20mg,1次/d支持。
用药后患者咳嗽、咳痰症状明显缓解。
【随访】
出院后甲波尼龙片20mg,1次/d,联合伊曲康唑20ml,2次/d,口服,同时护胃、补钙对症治疗。4周后门诊随访,定期复查血常规、肝肾功能电解质,调整甲波尼龙片用量。2018年6月5日复查肺部CT显示:两肺纹理增多,左肺上叶前段支气管扩张,腔内液性分泌物吸收。双肺散在条索影(图2)。

图2肺部CT示两肺纹理增多,左肺上叶前段支气管扩张,腔内液性分泌物吸收,双肺散在条索影
A、B.白箭示支气管扩张,腔内未见液性暗区;C.白箭示纤维条索影;D.C图的纵隔窗表现
【病例点评】
1.变应性支气管肺曲霉菌病(ABPA)的处理
是烟曲霉致敏引起的一种变应性肺部疾病,表现为慢性支气管哮喘和反复出现的肺部阴影,可伴有支气管扩张。ABPA临床表现多种多样,缺乏特异性,主要表现为咳嗽、咳痰、喘息,还可见低热、消瘦、乏力、胸痛等。咳棕褐色黏冻样痰栓为特征表现,体检时肺部可闻及湿啰音或哮鸣音,晚期可有杵状指或发绀,由于黏液嵌塞可引起肺不张而出现呼吸音减弱或管状呼吸音。实验室检查中针对烟曲霉速发型皮肤反应阳性,血清总IgE、特异性IgE及烟曲霉血清沉淀素或特异IgG及血嗜酸性粒细胞可升高。ABPA常见的影像表现为肺部浸润影或实变,特征为一过性、反复性及游走性。黏液嵌塞、支气管扩张、小叶中心性结节、树芽征较有特征性。ABPA的肺功能检查急性期表现为可逆性阻塞性通气功能障碍,慢性期可表现为混合型通气功能障碍及弥散功能降低。其诊断标准须具备以下第1、2项,同时具备第3项中至少2条:
(1)相关疾病:①哮喘;②其他:支气管扩张、慢性阻塞性肺疾病、肺囊性纤维化等。
(2)必需条件:①烟曲霉特异性IgE水平升高(ABPA界值>0.35kUA/L)或烟曲霉皮试速发反应阳性;②血清总IgE水平升高(>1000U/ml)。
(3)其他条件:①血嗜酸性粒细胞计数>0.5×109/L;②影像学与ABPA一致的肺部阴影;③血清烟曲霉特异IgG抗体或沉淀素阳性。
结合患者的病史及辅助检查,ABPA诊断明确。ABPA的治疗目标包括控制症状、预防急性加重、防止或减轻肺功能受损,治疗药物在抑制机体曲霉变态反应的同时,清除气道内曲霉定植,防止支气管及肺组织出现不可逆损伤。口服激素是治疗ABPA的基础用药,不仅可减轻曲霉引起的炎症损伤,早期应用可减轻支气管扩张及肺纤维化造成的慢性损伤起始剂量0.5mg/(kg·d),2周后继以0.25mg/(kg·d)用4~6周,据病情试行减量,一般每2周减5~10mg,疗程因疾病严重程度而有所差异,总疗程一般在6个月以上。而抗真菌药可通过减少真菌定植、减轻炎症反应而发挥作用,常可选用的药物有伊曲康唑200ml,2次/d及伏立康唑200mg/12h(体质量≥40kg,如体质量<40kg则用100mg/12h)。ABPA如能早期诊断、规范治疗,病情可缓解并长期控制,预后较好,ABPA远期并发症包括严重气流受限、肺不张、侵袭性肺曲霉菌病及肺纤维化。本例患者激素治疗后短期效果明显,肺内病灶吸收较好,治疗效果良好。
2.肺部磨玻璃结节的处理
根据Fleischner学会肺磨玻璃密度结节处理指南所示,肺内直径大于5mm的纯磨玻璃结节(GGO),3个月后复查,以观察病变是否消失。如持续存在,则每年复查,至少持续3年。病理上为不典型腺瘤样增生(AAH)、原位腺癌和一小部分微浸润腺癌。不建议使用抗生素。PET检查价值不大。CT引导穿刺不推荐,阳性率较低。如果病变增大或病变密度增高,可采取手术治疗,术式推荐胸腔镜楔形手术、肺段或亚段切除。本例患者肺部结节属于pGGO,随访1年结节有增大趋势,故手术治疗。手术病理明确为微浸润腺癌。因此提高对肺部GGO的早期诊断水平十分重要。
免责声明
内容来源于人卫知识数字服务体系、人卫inside知识库,其观点不反映优医迈或默沙东观点。 此服务由优医迈与胤迈医药科技(上海)有限公司授权共同提供。
如需转载,请前往用户反馈页面提交说明:https://www.uemeds.cn/personal/feedback
人卫知识数字服务体系
Copyright © 2025 Merck & Co., Inc., Rahway, NJ, USA and its affiliates. All rights reserved.