32岁女性,因“反复咳嗽、发热半年余,加重1个月”入院,历经波折,最终发现竟是小小花生米惹的祸。这到底是怎么回事呢?
【病例简介】
患者女性,32岁,某单位文员。主因“反复咳嗽、发热半年余,加重1个月”于2017年11月13日收入华山医院呼吸科。患者半年前无明显诱因开始出现咳嗽、咳白痰,伴低热,体温波动在37.2~38℃之间,于社区医院静脉用“头孢”抗感染治疗(具体不详)1周后咳嗽好转,体温恢复正常。7月底着凉后再次出现发热,伴咳嗽,在外院急诊静脉用“头孢”抗感染治疗(具体不详),1周后体温升高至38℃,咳黄脓痰,痰浓稠不易咳出,不伴咯血,转而住院治疗。住院期间行肺CT检查,提示“肺部感染”。反复查血常规提示:白细胞升高,波动在11×109~13×109/L。采用左氧氟沙星控制感染、金荞麦片祛痰止咳平喘治疗,住院1周后体温降至正常,咳嗽、咳痰缓解后出院。11月患者再次出现咳嗽、咳痰伴低热。12月6日至我科门诊,行肺CT(2017-12-08)检查:右肺中叶大片高密度影,其内可见支气管充气征(图1)。血常规示:白细胞:13.01×109/L,中性粒细胞:9.85×109/L(比值75.7%),血小板:466×109/L。肺功能检查示:轻度混合性肺通气功能障碍,小气道中度陷闭;肺弥散功能轻度减退。予以左氧氟沙星口服抗感染治疗后咳嗽较前减轻,痰量减少。现为进一步诊治入我院。患病以来患者精神好,胃纳可,睡眠好,大小便正常,体重无明显下降。
图1 胸部CT:右肺中叶外侧段高密度实变影,其内可见支气管充气征
既往史及个人史:否认传染病史、手术史、外伤史、输血史,对青霉素过敏。否认高血压、糖尿病史。否认吸烟、饮酒史。否认呛咳史、生食史及禽类接触史。
体格检查:T 37℃,P 84次/min,R 15次/min,BP 130/70mmHg。神清,全身皮肤巩膜无黄染和皮疹。全身浅表淋巴结未触及肿大。口唇无发绀,咽部无充血,颈静脉无怒张,甲状腺无肿大。胸廓对称无畸形,胸骨无压痛,叩诊清音,双肺呼吸音清,未闻及干湿性啰音;无胸膜摩擦音。心率84次/min,律齐,各瓣膜听诊区无杂音。腹软,无压痛,肝脾肋下未及;肠鸣音减弱。四肢无水肿,肌力正常。生理反射正常,病理反射未引出。
初步诊断:
肺部感染
【病例解析】
问题1:患者反复发生肺部感染的原因?
患者病程中反复多次发生肺部感染,经抗感染治疗均有改善。通常情况下反复多次发生肺部感染常见以下原因:①气管、支气管新生物导致的阻塞性肺炎;②慢性结构性肺病细菌定植,在机体免疫力下降时导致反复感染;③长期口服激素与免疫抑制剂导致肺部继发反复感染;④特殊病原体感染未予针对性的根治;⑤支气管异物阻塞导致肺部反复感染发作;⑥以肺部感染为临床表现的自身免疫性疾病。为明确病因,患者入院后完善以下检查:
辅助检查:
血常规:白细胞:9.38×109/L,红细胞:4.51×1012/L,血红蛋白:132g/L,中性粒细胞:61%,淋巴细胞:32.7%,嗜酸性粒细胞:0.7%,血小板:519×109/L。
炎症标志物:PCT:0.02ng/ml,CRP:<3.03mg/L,ESR:14mm/h。
呼吸道病原体IgM抗体九联、G实验、T-SPOT:阴性。
血免疫球蛋白 IgE:360ng/ml,补体 C3:1.14g/L,补体 C4:0.175g/L。
肿瘤标志物:神经元特异性烯醇酶:17.98ng/ml,余均正常。
自身抗体:均阴性。
生化、血脂全套:未见异常。
DIC:部分凝血活酶时间33.2s,余正常。
全身浅表淋巴结和腹部B超:双侧颈部、双侧锁骨上、双侧腋下、双侧腹股沟、后腹膜未见明显异常淋巴结肿大。脂肪肝。胆囊、胰腺、脾脏、双肾均未见明显异常。双侧肾上腺区未见明显占位病灶。
支气管镜检查(2017-12-16):右肺中叶外侧段支气管管腔可见脓性分泌物堵塞管腔。在此行黏膜活检、刷检及给予NS 40ml灌洗,送病理学及病原学检查(图2)。
图2 支气管镜检查:右肺中叶外侧段管腔脓性分泌物堵塞,右肺中叶支气管黏膜充血肿胀(A);经反复冲洗、吸痰处理仍有脓性分泌物(B)
全身PET-CT检查(2017-12-15):右肺中叶支气管开口处局灶FDG代谢异常增高,结合病史,考虑恶性病变不能除外。余全身(包括脑)PET显像未见FDG代谢明显异常增高灶。
问题2:此患者为支气管新生物导致的阻塞性肺炎吗?
综合分析以上检查结果如下:患者胸部CT显示无慢性结构性肺病;无长期口服激素与免疫抑制剂病史;未发现自身免疫性疾病证据;病原学检查未发现特殊病原体感染证据;支气管镜检查未发现管腔异物阻塞。PET-CT检查考虑右肺中叶支气管开口处恶性病变可能,但是支气管镜病理检查结果不支持。
活检病理示:(右肺中叶)支气管黏膜下重度炎症反应。
刷片病理示:(右肺中叶支气管刷片)未见明显恶性肿瘤细胞。
综合以上结果,我们考虑支气管新生物导致的阻塞性肺炎证据不足,暂时给予抗感染治疗,嘱患者门诊随访。
【治疗】
院内治疗方案如下:
1.左氧氟沙星0.5g/d,静脉滴注抗感染;
2.氯化铵甘草口服溶液20ml/次,3次/d,口服。
患者体温、咳嗽咳痰较前好转。遂出院带药:
1.左氧氟沙星片0.5g/d,口服;
2.氨溴索片30mg/次,3次/d,口服。
问题3:患者随访结果如何?
患者出院后按医嘱口服左氧氟沙星抗感染,但仍有反复咳嗽、咳痰伴低热,故于2018年1月9日再次入住我院胸外科,在全麻下行右肺中叶切除手术。
手术经过:右侧第4肋间进胸,见中叶不张。游离中叶动脉,结扎切断。游离中叶静脉,以内镜直线切割缝合器切断。叶间裂以内镜直线切割缝合器切断。切开中叶支气管,切除中叶。见半粒花生脱出。连同中叶一并送检,病理示支气管慢性炎症。缝合中叶支气管开口。放置引流管1根。缝合切口。
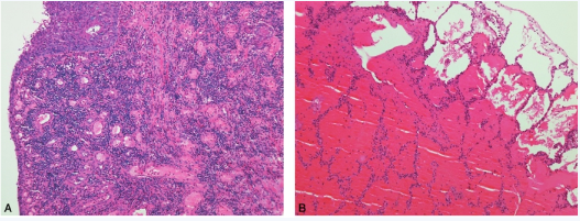
术后病理:右中叶支气管开口见花生米异物,肺组织示慢性炎症,支气管切缘慢性炎症。送检7、10、12组淋巴结共计5枚,均未见异常(0/5)(图3)。
图3 术后病理示:支气管纤毛上皮部分缺失,部分鳞化,黏膜下慢性炎症细胞增生伴腺体导管增生(A);肺组织示肺泡腔内充满嗜伊红无定形物质,另见少量泡沫细胞,肺泡上皮细胞增生(B);未见异常肿瘤细胞
术后3个月于2018年4月27日复诊,患者咳嗽、咳痰症状明显好转。复查肺CT提示右肺呈术后改变,无新发病灶(图4)。
图4 术后胸部CT示:右肺中叶术后瘢痕纤维条索影,余肺野清晰
【最终诊断】
右中叶支气管异物(花生米)伴阻塞性肺炎
【病例点评】
1.支气管异物阻塞导致肺部感染反复发作是临床难治性肺炎的重要原因。在反复发作的肺炎患者中,气道异物是需要考虑的一项原因,尤其对于老年人和醉酒史者。
2.气道异物多为碎骨、豆子、果仁和果核等,本例气道异物为花生米。患者2次CT检查和支气管镜检查均未能发现。文献报道,气道异物的胸部影像学经常缺乏特异性表现,能于管腔中直接发现异物的比例平均仅为25%左右,当胸部CT肺窗发现管腔狭窄时需对比纵隔窗观察管腔内有无异常密度影。另一方面,若未发现管腔异常,但有局部阻塞性肺炎、肺气肿、肺不张或支气管扩张等表现,也需要警惕是否为气道异物的间接征象。气道异物周围黏膜形成大量肉芽组织类似新生物,有时难以与支气管肿瘤相鉴别,本例患者PET/CT报告管腔新生物恶性可能。
3.支气管镜检查对气道异物的确诊和治疗有重要价值。通过支气管镜可直接观察管腔,对性质不明的管腔内肿物活检,若明确气道异物也可在支气管镜直视下取出。但对于滞留时间较长的异物,周围黏膜形成大量肉芽组织包裹异物,同时伴阻塞性肺炎有大量分泌物溢出,给镜下诊断和摘取造成困难。对少数疑难病例,可能需要外科手术干预明确诊断和治疗。
(章鹏 周霞 陈刚 夏敬文 李圣青)
【参考文献】
[1]LIN L,LV L,WANG Y,et al.The clinical features of foreign body aspiration into the lower airway in geriatric patients[J].Clin Interv Aging,2014,9:1613-1618.
[2]SAMAREI R.Survey of foreign body aspiration in airways and lungs[J].Glob J Health Sci,2014,6(7):130-135.
(环球医学编辑:常路)
免责声明
版权所有©人民卫生出版社有限公司。 本内容由人民卫生出版社审定并提供,其观点并不反映优医迈或默沙东观点,此服务由优医迈与环球医学资讯授权共同提供。
如需转载,请前往用户反馈页面提交说明:https://www.uemeds.cn/personal/feedback
来源:《呼吸与危重症医学疑难与危重病例精选》
作者:李圣青
页码:18-22
出版:人民卫生出版社
