达芬奇手术机器人系统由三部分组成,包括医生控制台、成像系统及床旁机械臂系统。与传统的腹腔镜手术相比,达芬奇手术机器人成像更为清晰,且机械臂活动角度更大,操作更为灵活,同时达芬奇机器人手术系统还能滤过生理振动,使操作更为精确。自2006年我国大陆地区引进首台达芬奇手术机器人,截至2017年底,我国普外科机器人手术量已超11000台次。Desiderio等研究表明,机器人手术切除胃肠间质瘤的安全性和可行性与腹腔镜组、开腹组相同。因此,达芬奇手术机器人应用于胃肠间质瘤手术是可靠的。
【病例摘要】
患者,男性,36岁,2016年9月14日于当地医院体检发现胃底隆起性病变。2016年9月20日就诊于华中科技大学同济医学院附属协和医院胃肠外科,门诊行超声胃镜检查示:胃黏膜下层稍低回声病灶。门诊以“胃底占位性病变”收入。
(一)既往史及家族史
平素身体良好,无过敏史;父母健在,家族中无类似病史。
(二)体格检查
全身皮肤黏膜无黄染。腹部平软,未触及包块,肝脾肋下未触及,全腹无压痛、反跳痛。双肾区无叩击痛。移动性浊音阴性,肠鸣音正常。双下肢未见明显水肿。
(三)辅助检查
血常规:白细胞 4.90×109/L,红细胞 5.45×1012/L,血红蛋白161g/L,血小板 218×109/L,中性粒细胞百分比 61.1%,淋巴细胞百分比 30.2%。
血生化:总胆红素11.2μ mol/L,直接胆红素3.8μmol/L,总蛋白80.0g/L,白蛋白52.9g/L,肌酐 91.1μ mol/L,尿素氮 4.12mmol/L,钠 142.2mmol/L,钾 4.33mmol/L,氯 98.8mmol/L。
肿瘤标志物:未见异常。
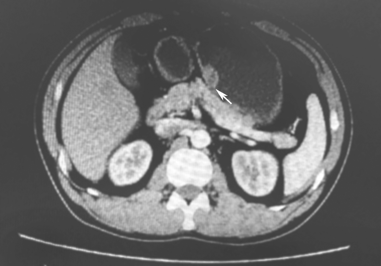
2016年9月行全腹平扫+增强CT示:胃底下部小弯侧隆起肿块影,大小约2.3cm×1.2cm,平扫CT值约50HU,增强后动、静脉期CT值约74、80HU,肿块内密度不均,病变边界清晰,邻近浆膜面光整,周围脂肪间隙清晰,未见明显肿大淋巴结。提示胃肠道间质瘤(gastrointestinal stroma tumor,GIST)可能,余无异常(图1)。
图1 增强CT提示胃底小弯侧隆起肿块
(四)初步诊断
胃底占位性病变:胃肠间质瘤?
【治疗过程】
(一)病例分析
患者为中年男性,以“体检发现胃底占位1周”就诊。完善相关检查后考虑初步诊断为(胃)胃肠间质瘤,肿瘤位于胃底下部小弯侧,大小约为2.3cm×1.2cm。因肿块未侵犯周围脏器组织,故考虑先行手术切除。因肿瘤位置特殊,邻近贲门,机器人手术可提供由主刀医生控制的数十倍放大的三维高清图像,更容易分清组织器官之间的关系,减少对周围正常组织的损伤,并且机械臂操作更加灵活和精细。因肿瘤部位邻近贲门,为避免术后影响贲门功能,且患者对微创要求较高,故建议患者行机器人手术治疗。
(二)治疗方案
患者于加速康复外科(enhanced recovery after surgery,ERAS)理念指导下行术前准备,2016年9月27日行“机器人辅助下腹腔探查术+胃肿瘤切除术”。术中先行胃镜探查发现肿瘤位于胃底后壁近贲门处,大小约2.0cm×1.0cm;离断大弯侧网膜,暴露胃后壁瘤体,切开后壁肿瘤所对应胃前壁,以腹腔镜下切割吻合器于距离瘤体1cm处离断胃壁,完整切除肿瘤,将肿瘤置入标本袋中并用丝线结扎袋口,经绕脐半周切口取出,检查标本切缘安全,以可吸收线加固切口,缝合腹部戳孔及绕脐切口。手术过程顺利,手术时间60min,术中出血量约为10ml(图2~图5)。
(三)术后病理及基因检测
术后病理:(胃)胃肠间质瘤。肿块大小1.9cm×1.7cm×1cm,核分裂象<5个/50个每高倍镜视野,按改良NIH危险度分级:极低危。
免疫组织化学染色示:CD117 (+),CD34(+),DOG-1(+),SMA(-),S-100(-),Ki-67(Li<5%)。
基因检测:本样本c-KIT基因11、13发生突变;PDGFRA基因12、18外显子为野生型。
图2 切开胃前壁
图3 丝线提起肿瘤
图4 切割吻合器切除肿瘤
图5 3-0可吸收线缝合胃壁
【预后】
患者于术后24小时肛门排气,术后第1天拔除胃肠减压管及导尿管,喝水并下床活动,第2天无腹胀不适后进无渣饮食(肠内营养液),第3天进半流质饮食,术后第4天拔除引流管,并复查血常规、肝肾功、降钙素原和C反应蛋白正常后出院。
术后按改良NIH危险度分级为极低危,故术后未行靶向药物治疗。截至2018年10月,随访24个月,无复发。
【经验与体会】
目前华中科技大学同济医学院附属协和医院胃肠外科陶凯雄教授的手术团队已经为10余位胃肠间质瘤患者施行了机器人手术,患者均预后良好。结合本中心成功实施机器人下切除胃肠间质瘤的经验,我们认为机器人手术有如下优点:手术机器人机械臂是固定的,提供三维高清的手术视野,并且可以根据需求放大术野;达芬奇机器人器械臂具有消除震颤的功能,并且可以向7个方向自由活动,保证了狭小手术空间里的精细操作;达芬奇机器人手术操作过程中,术者采取舒适的坐位,减轻了手术过程中的紧张感和疲劳感,降低了因疲劳而导致错误的发生率;将达芬奇机器人联网,通过数据传输可实现远程手术。然而受限于经济原因,达芬奇机器人手术还尚未推广。
机器人手术系统突破了传统外科与腹腔镜手术的局限性,将GIST的手术精度提高到了一个新的水平,机器人手术与腹腔镜手术相比更加微创,降低了患者术后并发症发生的概率,加速患者术后康复。在本案例中,我们将ERAS的理念与达芬奇机器人微创优势相结合,减少手术应激及并发症的发生,加速术后康复。
胃肠间质瘤实施ERAS的具体步骤为:①术前教育:告知患者及其家属实施ERAS的必要性;②肠道准备:不常规进行肠道准备,术前10小时口服10%葡萄糖溶液800ml,麻醉前2小时口服10%葡萄糖溶液400ml;③麻醉方案:全身联合硬膜外阻滞;④术中使用保温毯保温,并控制液体输入;⑤术后镇痛:可选择经腹横肌平面神经阻滞及切口局部浸润等镇痛方式;⑥麻醉清醒后即鼓励少量饮水,鼓励术后24小时内下床活动,48小时内拔除导尿管。本案例患者术后4天即出院,提示机器人手术联合ERAS方案安全有效,可以缩短患者康复时间,促进患者术后胃肠功能恢复,提高围手术期患者舒适度。
【专家点评】
周岩冰,教授,主任医师,博士研究生导师。
达芬奇机器人业已成为外科医生熟悉和经常采用的手术平台,能够为广大患者提供更加精准、高品质的外科手术治疗。与传统微创技术相比,达芬奇机器人手术具有多方面优势,如手术视野放大倍数可至10倍以上,能为手术者呈现患者体腔内三维立体高清影像,极细小的血管、神经也能一目了然,同时手术器械可以模拟人手腕的灵活操作,滤除不必要的颤动,超越了人手的精确度。在GIST手术应用方面,其优良的3D显示、术野放大、机械臂七个自由度的活动、精细解剖操作、对神经血管的保护、镜下缝合等优势,更加适合于贲门、幽门、十二指肠、盆腔、直肠等特殊部位的手术处理。基于GIST特殊的生物学行为,针对某些位于特殊部位、局部进展、潜在扩大手术可能的肿瘤患者,可以采取术前伊马替尼辅助治疗、动态评价,待肿瘤降期再施加手术的方式,能够提高R0切除率而无需扩大手术范围,最大程度保留器官功能,这包括贲门、幽门功能,甚至排尿、排便、性功能等。Buchs等在2010年率先研究了机器人行GIST楔形切除的安全性及患者的短期预后,结果表明行机器人手术切除胃GIST的患者术后恢复良好,且随访至术后18个月,患者均为无复发生存。此外,Desiderio等则报道机器人组与腹腔镜、开腹手术组对比,机器人组R0切除率及短期预后与腹腔镜组及开腹组相同。最近,Maggioni等单中心报告显示,机器人手工缝合能够避免胃扭曲,R0切除率高,具有广阔的应用前景。本例患者严格按照围手术期ERAS路径管理原则,采取达芬奇手术机器人系统完整切除(贲门)胃肠间质瘤,保留了贲门功能,术后无贲门狭窄、反流等并发症,随访两年无复发生存,是一个成功的典范。当前机器人手术在GIST应用方面报道不多,病例数量偏少,总体认为手术更加精准,疗效不劣于传统腹腔镜手术。然而,有关达芬奇机器人GIST手术的适应证、临床疗效、结局以及卫生经济学指标评价等仍然需要设计良好的临床研究加以验证。
免责声明
内容来源于人卫知识数字服务体系、人卫inside知识库,其观点不反映优医迈或默沙东观点。此服务由优医迈与胤迈医药科技(上海)有限公司授权共同提供。
如需转载,请前往用户反馈页面提交说明:https://www.uemeds.cn/personal/feedback
人卫知识数字服务体系
