1例49岁女性因“右眼视物模糊1个月余”首次就诊于首都医科大学附属北京同仁医院眼科,初步诊断为“右眼虹膜占位(性质待查)”,给予患者试验性抗炎治疗,同时完善全身检查明确病因。患者全身查体未见明显异常,予虹膜肿物局部切除送病理以明确诊断。术后病理结果提示虹膜转移癌,后行PET-CT明确患者原发病为右侧周围型肺癌。
【病例回顾】
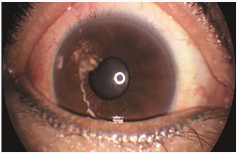
患者女性,49岁,主因“右眼视物模糊1个月余”就诊于首都医科大学附属北京同仁医院眼科。患者自述近1个月余来右眼视物模糊,不伴眼红、眼痛、畏光、眼前黑影遮挡,未行眼科治疗。既往体健,否认眼部及全身病史、手术外伤史、家族遗传病史、食物药物过敏史。查体:双眼视力1.0,眼压右眼12mmHg,左眼15mmHg。右眼结膜无充血,角膜清,前房中深,瞳孔圆,直径约3mm,对光反射存在,颞上方虹膜实性占位性病变,大小约3mm×3mm,瘤体色白,表面覆盖大量色素、表面少量出血及白色渗出,前房可见白色絮状渗出,晶状体透明,余前节未见明显异常(图1),左眼前节未见明显异常。双眼视盘界清色正,视网膜血管走行正常,视网膜平伏,未见出血、渗出等异常表现。辅助检查:双眼OCT未见明显异常。初步诊断:右眼虹膜占位,性质待查(炎症?)。予患者颞上结膜下注射妥布霉素2万单位+地塞米松3mg,每天1次×3天;右眼妥布霉素地塞米松滴眼液,每天4次点眼抗炎治疗。为进一步明确病因及诊断,同时完善眼部UBM(图2),CDI(图3),眼眶MRI、胸部X线、血尿常规、C反应蛋白、生化常规、凝血四项、免疫四项、T-SPOT结核杆菌γ-干扰素释放试验、抗链O、抗核抗体(ANA)、TORCH特异性抗体检查。
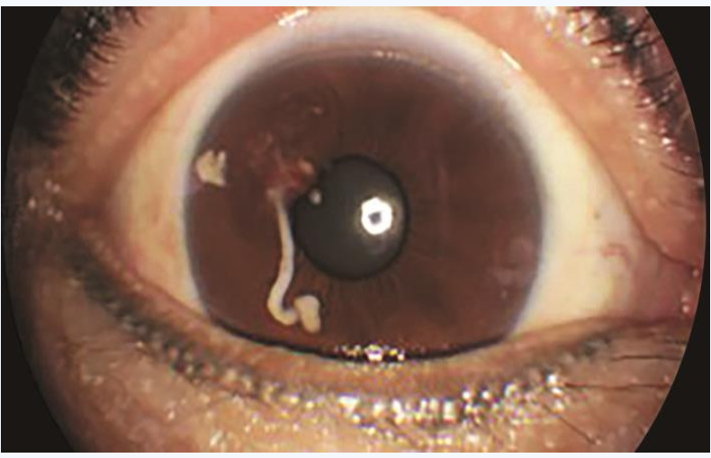
1周后患者复诊,查体:视力右眼0.7,左眼1.0,眼压右眼11mmHg,左眼15mmHg。右眼角膜清,前房中深,瞳孔圆,直径约3mm,对光反射存在,颞上方虹膜实性占位性病变大小未见明显改变,肿物表面出血较前吸收,色素脱失较前加重,前房白色絮状渗出明显吸收(图4)。右眼眼底及左眼查体同前。眼部UBM示右眼颞上方虹膜可见不规则形实性病变,大小约2.88mm×3.80mm×1.90mm,边界尚清晰,内回声不均匀,部分病变与角膜及晶状体前囊相贴,颞侧及下方房角内可见团条状回声,部分与虹膜相连;CDI示右眼颞上方虹膜实性占位性病变大小约3.5mm×2.3mm×1.4mm,边界欠均匀,内回声不均匀,CDFI病变内未探及明显血流信号;眼眶MRI示颞侧虹膜区见条状等T1、略短T2信号影,边缘不清,大小约2mm,增强后可见强化;胸部X线、血尿常规、CRP、生化常规、凝血四项、免疫四项、T-SPOT结核杆菌γ-干扰素释放试验、抗链O、抗核抗体(ANA)、TORCH特异性抗体检查均未见明显异常。
综合考虑以上情况,考虑暂除外炎症性病变可能,予进一步行腹部彩超、乳腺及淋巴结彩超、颅脑MRI检查。结果回示:腹部彩超未见脏器异常;双侧乳腺增生、左乳多发结节(倾向良性);颅脑MRI示双侧额顶叶多发异常信号影,转移瘤待除外,右眼球颞侧虹膜区异常强化。
图1 首诊右眼前节照相可见瘤体色白,表面覆盖大量色素、表面少量出血及白色渗出,前房白色絮状渗出
图2 UBM示右眼颞上方虹膜可见不规则形实性病变与角膜及晶状体前囊相贴
图3 CDI显示右眼颞上方虹膜实性占位性病变
图4 抗炎治疗后右眼前节照相
可见虹膜实性占位性病变大小未见明显改变,肿物表面出血较前吸收,色素脱失较前加重,前房白色絮状渗出明显吸收。
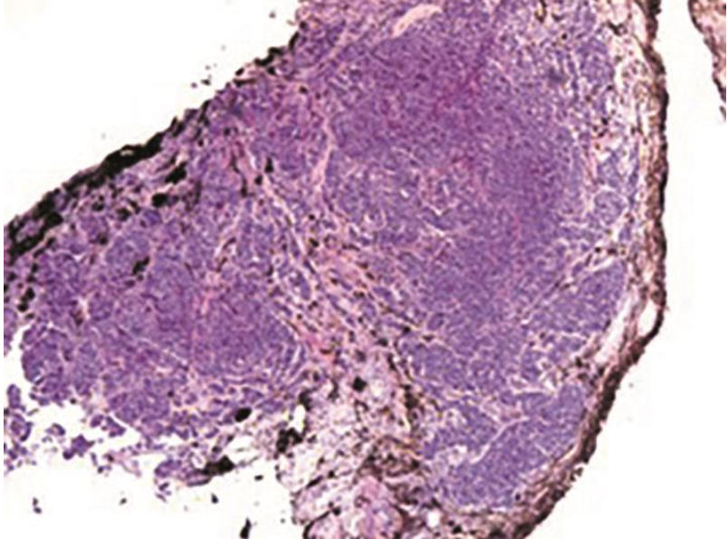
为明确诊断及对症治疗,予患者右眼虹膜肿物局部切除手术。术中可见颞上方虹膜实性占位性病变大小及形态较前无明显改变,2∶00~7∶00虹膜广泛后粘连,瞳孔欠圆。局部切除实性肿物大小约5mm×4mm×3mm,色白,肿物表面色素覆盖,包膜完整。术后病理:虹膜恶性肿瘤;免疫组化:CK(++),EMA弱阳性(图5)。结合组织形态学及免疫组化考虑转移癌可能性大。

图5 病理及免疫组化提示虹膜转移癌可能
予PET-CT检查进一步明确原发病灶,结果回示:①右肺下叶前基底段有代谢活性明显增高结节,大小约1.7cm×1.5cm,考虑肺癌;②纵隔及右肺门多发代谢活性增高淋巴结,考虑转移;③双侧顶叶稍高密度小结节,部分代谢活性增高,转移瘤可能;④右眼虹膜术后,术区未见异常代谢活性增高灶。结合颅脑MRI检查、病理检查及PET-CT给予患者确定诊断:右侧周围型肺癌(颅内转移?纵隔淋巴结转移?)、右眼虹膜转移癌切除术后。
本病例的临床特点包括:①患者中年女性,亚急性病程,因“右眼视物模糊1个月余”来诊;②虹膜占位形态特殊,瘤体色白,表面覆盖大量色素、表面少量出血及白色渗出,伴前房白色絮状渗出;③患者否认眼部及全身病史、手术外伤史、家族遗传病史;④常规化验及胸片、心电图均未见明显异常,抗炎治疗无效,帮助排除常见感染、炎症等其他可能;⑤病理及PET-CT辅助明确诊断及原发病灶。
【病例讨论】
虹膜转移癌临床特点
研究表明,虹膜转移癌的中位发病年龄为60岁。发生虹膜转移癌最常见的原发恶性肿瘤依次为乳腺癌(33%)、肺癌(27%)或皮肤黑色素瘤(12%)。目前,系统性化疗仍是其主导治疗,也可行巩膜外敷贴放疗、局部切除、眼球摘除等。通常,脉络膜转移比虹膜更容易发生,这可能是因为与供应虹膜的前睫状血管相比,供应脉络膜的后睫状动脉有更大的血流量和更高的转移栓塞机会。总体来说,该病预后较差,眼科确诊后的中位生存期为7.4~10.5个月不等。
虹膜占位疾病谱
在虹膜肿物的疾病谱中,虹膜痣、虹膜囊肿和虹膜黑色素瘤是最常见的虹膜肿瘤。虹膜肿瘤分为囊性(21%)和实性(79%)肿瘤。实体瘤包括黑色素细胞性(68%)或非黑色素细胞性(11%)。黑色素细胞性实体瘤包括痣、黑色素瘤、黑色素细胞瘤、黑色素沉积症等,非黑色素细胞性实体瘤包括瘤样增生、血管瘤、转移癌、上皮性肿瘤、淋巴细胞性肿瘤、纤维瘤、神经来源肿瘤、肉样瘤等。由于虹膜占位疾病具有罕见性,了解疾病谱对其诊断与鉴别诊断至关重要。
总之,虹膜占位疾病谱十分广泛,其中虹膜转移癌非常罕见。临床医生应对该病应注意完善全身多系统检查,必要时局部切除进行诊断与治疗,以病理检查及PET-CT辅助,从而避免漏诊错诊。
参考文献
[1] WEISENTHAL R,BRUCKER A,LANCIANO R. Follicular thyroid cancer metastatic to the iris.Case report[J].Arch Ophthalmol,1989,107(4): 494-495.
[2] SHIELDS JA,SHIELDS CL,KIRATLI H,et al. Metastatic tumors to the iris in 40 patients[J].Am J Ophthalmol,1995,119(4): 422-430.
[3] BLOCH RS,GARTNER S.The incidence of ocular metastatic carcinoma[J].Arch Ophthalmol,1971,85(6):673-675.
[4] NELSON CC,HERTZBERG BS,KLINTWORTH GK.A histopathologic study of 716 unselected eyes in patients with cancer at the time of death[J].Am J Ophthalmol,1983,95(6): 788-793.
[5] SHIELDS CL,SHIELDS JA,GROSS NE,et al.Survey of 520 eyes with uveal metastases[J].Ophthalmology,1997,104(8): 1265-1276.
[6] SHIELDS CL,KALIKI S,CRABTREE GS,et al.Iris metastasis from systemic cancer in 104 patients: the 2014 Jerry A.Shields Lecture[J].Cornea,2015,34(1):42-48.
[7] DE POTTER P,SHIELDS CL,SHIELDS JA,et al. Uveal metastasis from prostate carcinoma[J].Cancer,1993,71(9): 2791-2796.
[8] FERRY AP,FONT RL.Carcinoma metastatic to the eye and orbit.I.A clinicopathologic study of 227 cases[J]. Arch Ophthalmol,1974,92(4): 276-286.
[9] SHIELDS CL,KANCHERLA S,PATEL J,et al.Clinical survey of 3680 iris tumors based on patient age at presentation[J].Ophthalmology,2012,119(2): 407-414.
张川 陈梦曦 刘月明 魏文斌
(环球医学编辑:常路)
免责声明
版权所有©人民卫生出版社有限公司。 本内容由人民卫生出版社审定并提供,其观点并不反映优医迈或默沙东观点,此服务由优医迈与环球医学资讯授权共同提供。
如需转载,请前往用户反馈页面提交说明:https://www.uemeds.cn/personal/feedback
来源:《同仁眼科疑难病例精析:同仁眼科临床病例讨论会.1》
作者:魏文斌 周海英 佘海澄
页码:297-301
出版:人民卫生出版社
Copyright © 2025 Merck & Co., Inc., Rahway, NJ, USA and its affiliates. All rights reserved.