63岁男性,半个月前无明显诱因出现咳嗽、咳痰半个月,未用药治疗,外院行胸部X线检查发现左肺团块影(未带来影像学资料),为明确诊治来笔者医院就诊。该患者患有……
患者男性,63岁,于2009年7月22日入院。
一、主诉
咳嗽、咳痰半个月。
二、病史询问
(一)初步诊断思路及问诊目的
患者为老年男性,咳嗽,咳痰症状出现仅半个月,按照常见病优先考虑的原则应将呼吸道感染性疾病放在首位。因此,问诊的主要目的围绕患者起病的诱因,有无常见的疲劳、受凉、醉酒、病毒感染等感染性疾病的诱因;发病时主要症状及特点,如咳嗽、咳痰的性质、痰量、颜色等情况;伴随症状的情况,有无发热、畏寒、寒战、盗汗、胸痛等;目前的诊疗经过和治疗效果,详细询问具体的药物和疗程;以及患者既往有何种疾病、职业及嗜好、过敏史、接触史等一般情况。
(二)问诊结果及临床分析
患者现已退休,无不良嗜好史。既往身体健康,无呼吸系统和其他系统的疾病史,无外伤和手术史。半个月前无明显诱因出现咳嗽、咳白色泡沫痰,量较多,痰液稀薄,易咳出,无发热,无胸痛,无咯血,未用药治疗,外院行胸部X线检查发现左肺团块影(未带来影像学资料),为明确诊治来诊。
【临床分析】
通过问诊可明确,患者既往无呼吸系统疾病,本次发病出现咳嗽、咳痰,外院胸部X线发现左肺团块影。通过病史询问考虑患者可能为社区获得性肺炎、肺部恶性肿瘤或肺结核等常见病。
评价:该患者病程短,有呼吸道感染表现,按照常见病多发病优先考虑社区获得性感染等疾病无异议,特别是通过病史的询问,未发现有特殊的病史、接触史,这为以后的诊疗过程中所经历的曲折埋下伏笔。
三、体格检查
(一)重点检查内容及目的
患者的主要临床症状为呼吸道症状,胸部X线显示左肺病变,因此在对患者进行系统、全面检查的同时,应重点注意患者的肺部体征,如呼吸音增强还是减弱,干湿啰音的分布。考虑到患者为老年男性,不除外恶性肿瘤,体检时不要遗漏浅表淋巴结的检查。
(二)体格检查结果及思维提示
体格检查结果:体温36.5℃,呼吸20次/分,脉搏80次/分,血压125/85mmHg。神志清楚,自主体位,口唇无发绀,浅表淋巴结未触及,气管居中,无三凹征。胸廓对称,双侧呼吸运动度对称,双肺叩诊呈清音,双肺听诊呼吸音粗,未闻及干湿啰音及胸膜摩擦音。心界不大,心音有力,律齐,各瓣膜区未闻及病理性杂音。腹部、四肢、神经等系统检查无异常。
【临床分析】
患者为老年男性,无明显诱因出现呼吸道症状,胸部查体未见明显阳性体征,虽无明显发热,但老年人肺部感染有时影像学改变与临床症状不平行。进一步的实验室和辅助检查诊断尤为重要,主要针对痰的细菌学和细胞学检查,以及胸部的影像学进行检查,必要时行支气管镜检查,为诊断提供依据。
评价:本患者在临床表现上无特异性,咳嗽、咳白色泡沫痰,量较多,痰液稀薄,易咳出,无发热,几乎是所有呼吸系统疾病共有的症状。本患者目前的症状体征,无脓性痰,白细胞不高,不支持常见的感染性疾病;要注意肿瘤、真菌及少见的肺部疾病;此外,肺隐球菌病以及某些少见临床表现如上腔静脉阻塞、Pancoast综合征、Horner综合征等,通过系统查体均未见明显阳性体征,但进一步影像学检查、实验室及病理学检查对于该患者的诊治非常重要。
四、实验室和辅助检查
(一)初步检查内容和目的
1.血常规:明确是否存在感染性疾病。
2.痰培养及药敏,痰涂片抗酸杆菌检测:明确病原体。
3.痰脱落细胞学检查及肿瘤标志物:除外肺部恶性肿瘤。
4.影像学检查(胸部CT):以进一步了解肺部病变的部位、范围以及病变的特点。
(二)检查结果及思维提示临床分析
【检查结果】
1.血常规:
白细胞计数8.9×109/L,淋巴细胞百分比73.6%,淋巴细胞百分比19.2%。
2.痰一般细菌培养及鉴定:
结果待回报。
3.痰查抗酸杆菌:
阴性。
4.胸部CT:
左肺上叶舌段内见团块状密度增高影,周围有毛刺,呈支气管截断征,伴斑片状渗出影,纵隔内见淋巴结肿大(图1)。

图1
【临床分析】
重要的检查结果包括:
1.末梢血白细胞计数不高、中性粒细胞百分比升高。
2.胸部影像学提示左肺上叶见团块状高密度影,边缘有毛刺,呈支气管截断征,伴纵隔淋巴结肿大。其中最具有提示意义的就是影像学所见。结合其症状、体征及辅助检查结果,高度怀疑肺部恶性肿瘤伴纵隔淋巴结转移、阻塞性肺炎可能性大,可通过纤维支气管镜直接取病理以明确病变性质。
五、治疗方案及理由
(一)方案
哌拉西林钠/舒巴坦4.5g,每8小时1次,静脉滴注。
(二)理由
胸部CT提示患者有阻塞性肺炎,考虑由于管腔堵塞,容易并发细菌性肺炎,且患者入院时血常规粒细胞比值偏高,可应用哌拉西林钠/舒巴坦抗感染治疗,同时氨溴索祛痰治疗。
六、治疗效果及临床分析
【治疗效果】
患者入院后第四天因外出归来后出现发热,体温达37.4℃,查体咽部充血、红肿,听诊双肺未闻及干湿啰音,考虑上呼吸道感染,给予喜炎平抗病毒治疗。3日后患者体温仍未得到有效控制,仍有发热,体温最高达38.4℃。辅助检查结果:痰培养回报阴性。
【临床分析】
患者在治疗过程中出现发热,考虑存在病毒感染,经抗病毒治疗,发热持续无缓解,考虑原因如下:①药物未能覆盖致病菌,或细菌耐药。②特殊病原体感染,如部分G+菌、非典型病原体、结核分枝杆菌、真菌等。③非感染性疾病误诊为肺炎。患者具有明显呼吸道症状,影像学上左肺可见阴影,血象提示中性粒细胞比例偏高,非感染性疾病依据尚不充分,应该注意治疗中未能覆盖的特殊病原体感染:如部分G+菌、非典型病原体、结核分枝杆菌、真菌、寄生虫等。
评价:该患者经过初期的抗感染治疗后,出现发热的表现,因此考虑经验性治疗效果不佳,对于病原体需重新判断,但是该患者入院后出现的发热能否与其左肺阴影联系起来值得商榷,通过上述阶段的调整治疗已经提示临床医生需针对其他的病因及病原体进行探索。
七、补充辅助检查结果
纤维支气管镜下所见:气管隆嵴锐利,左、右肺各叶、段、亚段均未见异常改变(图2),于左舌叶支气管行经支气管壁透壁肺活检技术(TBLB),病理回报:送检组织内有较多淋巴浆细胞浸润,有纤维组织增生,结合临床。

图2
根据肺活体组织病理,考虑为肺部感染性疾病,结合其治疗经过,需要调整抗生素继续抗感染治疗。
八、调整治疗方案及疗效
(一)新方案
停用哌拉西林钠/舒巴坦。予莫西沙星0.4g,每日1次,静脉滴注。
(二)疗效
治疗1周后,咳嗽、咳痰减轻,仍间断发热,体温波动在37~37.8℃,肺部听诊仍未闻及啰音。复查胸部CT示:左肺上叶舌段病灶未见明显变化,纵隔内淋巴结肿大(图3)。

图3
【临床分析】
患者经积极抗感染治疗后,临床症状有所减轻,但胸部影像学未见明显改变,考虑可能为机化性肺炎,但不能除外肺部恶性肿瘤,可行CT引导下经皮肺穿刺活检或胸腔镜病灶切除。
评价:经过抗生素调整后,该患者体温稍有下降,但是其左肺团块影的性质未明确,肿瘤及隐球菌感染等少见病皆不能除外。由于肺隐球菌感染的痰培养和涂片阳性率一般低于25%,且该患者无宿主妥协因素,无接触鸽粪史等,其最终的诊断只有依靠肺活检。
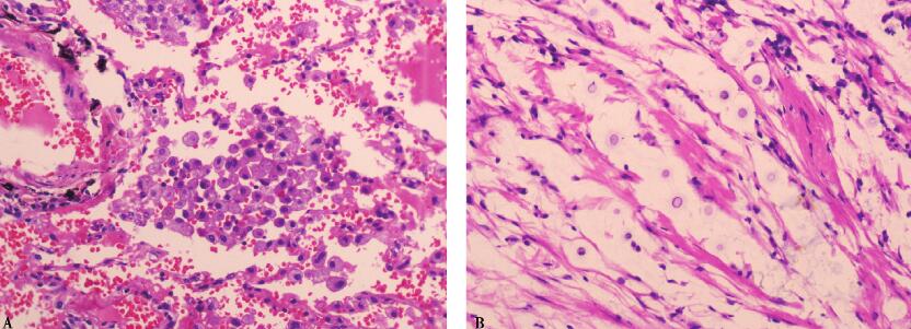
该患者于2009年8月12日转至胸外科,在胸腔镜辅助下行左侧开胸左肺上叶肿物切除,术后病理回报(左肺上叶)组织内有大量炎细胞浸润,纤维组织增生,有泡沫细胞形成,其内有圆形孢子样结构,形态符合新型隐球菌(图4)。


图4
【最终诊断】
左上肺隐球菌病
九、最终治疗方案及疗效
(一)治疗方案
伏立康唑:第1天400mg,每日2次,静脉滴注;第2天以后200mg,每日2次,静脉滴注。
(二)疗效
治疗1周后,患者无发热,复查胸部CT(图5)提示肺部团块影明显吸收。患者要求出院,嘱出院后继续用药,改为氟康唑400mg,每日1次,口服序贯治疗,门诊复查。

图5
十、对本病例诊治经过的思考
1.侵袭性肺隐球菌病是由新型隐球菌引起的亚急性或慢性深部真菌病,主要侵犯中枢神经系统和肺,常见于恶性肿瘤、白血病、淋巴瘤、应用大剂量糖皮质激素或化疗、AIDS患者等免疫功能低下者,也可见于儿童及老年人,健康人,诊断比较困难。应与多种疾病鉴别,尤其是本病例的胸部CT表现:病灶类圆形,渗出较少,没能及时行肺活体组织病理检查,是延误诊断的根本原因。
2.对拟诊的病例应尽可能的多次、多途径采集痰液、胸水、脑脊液等进行涂片和培养,痰涂片采用墨汁染色可见圆形厚壁孢子,痰标本接种于葡萄糖蛋白胨琼脂培养基上可生长。对怀疑隐球菌感染的病例,在条件允许时应尽量经有创检查采集组织标本,进行病原学检测,经皮肺穿刺活检、经支气管镜防污染毛刷获得的标本,经镜检和(或)培养出新生隐球菌具有诊断价值。
3.开胸活检后的病例明确诊断后,我们找到在纤维支气管镜下肺活检的病理片。仔细辨认发现了有符合隐球菌的圆形孢子样结构,只是数量太少没有发现。提示临床医生要和辅助科室的医生多沟通交流病情,这样才能尽早的做出准确无误诊断。
综上所述:本病例误诊误治的原因在于对肺隐球菌病认识不足,没有及时进行病理学检查。诊断失误最终导致抗生素的使用失败。
小贴士
免疫功能正常的肺隐球菌病患者的治疗方案
1.无症状,但肺组织隐球菌培养阳性,可以不用药,密切观察,或氟康唑200~400mg/d,3~6个月。
2.症状轻至中度,培养阳性:氟康唑200~400mg/d,6~12个月,或伊曲康唑200~400mg/d,6~12个月,若不能口服,可予两性霉素B 0.5~1.0mg/(kg·d),总剂量1~2g。
3.重症患者按照中枢神经系统隐球菌感染方案治疗。
吉林大学第二医院 王艳
(环球医学编辑:余霞霞)
免责声明
版权所有©人民卫生出版社有限公司。 本内容由人民卫生出版社审定并提供,其观点并不反映优医迈或默沙东观点,此服务由优医迈与环球医学资讯授权共同提供。
如需转载,请前往用户反馈页面提交说明:https://www.uemeds.cn/personal/feedback
来源:《防范与走出常见诊疗误区:呼吸疾病临床病例精粹》
作者:康健
页码:278-283
出版:人民卫生出版社
Copyright © 2025 Merck & Co., Inc., Rahway, NJ, USA and its affiliates. All rights reserved.