23岁女性,2个月前无明显诱因出现左眼球突出,无头痛头晕,无恶心呕吐,无四肢抽搐,无二便失禁。体温正常。无视物模糊,无视物重影,无眼酸眼胀。该患者所患何病?
【主诉】
患者女,23岁。主因“左眼球突出2个月”就诊。
【临床资料】
1.症状
患者2个月前无明显诱因出现左眼球突出,无头痛头晕,无恶心呕吐,无四肢抽搐,无二便失禁。体温正常。无视物模糊,无视物重影,无眼酸眼胀。
2.查体
神志清醒,双瞳等大等圆,直径3mm,左侧眼球突出,眼球活动可,双眼外侧听诊未及杂音。
3.磁共振成像参数
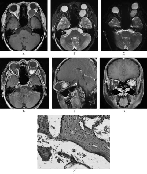
应用3.0T超导型MRI扫描仪(HDx,GE),8通道头线圈,获取SE序列体轴横断位T1WI(TR/TE=500ms/13.27ms),3mm层厚,1mm间隔,512×512矩阵,180mm视野,FSE加脂肪抑制横断和冠状位T2WI[TR/TE=(3660~6600ms)/(48~103.25ms)],3mm层厚,1mm间隔,512×512矩阵,180mm视野。扩散加权成像(DWI):b=1000s/mm2,TR/TE=5575ms/77ms,180mm视野,3mm层厚,1mm间隔。应用钆喷酸葡胺(剂量0.1mmol/kg体重)进行增强扫描,注射流率2.5ml/s,获取横断位、冠状位和矢状位T1WI(图1)。
图1左眼眶海绵状血管瘤
【鉴别诊断】
1.眼眶海绵状血管瘤球后有类圆形肿块影,信号均匀,T1WI低信号、T2WI和DWI呈高信号,增强扫描肿块表现为“渐进性强化”,邻近眼外肌和视神经受压移位,眶尖和眶周骨质未见异常改变。
2.脑膜瘤肿瘤通常发生在球后,MRI检查无论T1WI、T2WI还是DWI上,均呈等信号,增强扫描病变显著强化,内部极少出现囊变。
3.眼眶神经鞘瘤肿瘤也位于球后,但在MRI显示T1WI低信号、T2WI高信号,增强扫描强化不均匀,实性区显著强化,肿瘤内部常见囊变,容易向颅内侵犯。
【最终诊断】
左眼眶海绵状血管瘤。HE染色(×40倍),镜下可见排列紊乱的大小不一的血管团(图1G)。
【专家点评】
眼眶海绵状血管瘤是成人眶内最常见良性肿瘤,好发于青中年女性,常单侧发病,生长缓慢,视力一般不受影响。渐进性轴性眼球突出是常见临床表现。海绵状血管瘤由大小不等血管腔构成,内部血液流动缓慢。本肿瘤在T1W I上呈等或略低信号,T2W I上呈高信号。多回波脉冲序列上伴随TE值升高,海绵状血管瘤的信号强度亦升高,此征象和增强扫描病灶渐进性强化为血管瘤的特征性改变,据此MRI可作出眼眶海绵状血管瘤的定位和定性诊断。本病一般不累及眶尖,故眶尖正常脂肪仍然存在。
(郭亮 马星星)
(环球医学编辑:余霞霞)
免责声明
版权所有©人民卫生出版社有限公司。 本内容由人民卫生出版社审定并提供,其观点并不反映优医迈或默沙东观点,此服务由优医迈与环球医学资讯授权共同提供。
如需转载,请前往用户反馈页面提交说明:https://www.uemeds.cn/personal/feedback
来源:《磁共振成像对比剂的临床应用》
作者:李坤成
页码:234-236
出版:人民卫生出版社
