13岁女性,5个月前无意间发现左大腿肿物,约鸡蛋大小,有压痛;22岁女性,3年前偶然发现右侧腰部约1cm大小肿物,无疼痛,6个月前外伤后明显增大,偶有劳累后疼痛。尽管两名患者症状不一样,却得了同一种病……
【病例1介绍】
女,13岁,患者5个月前无意间发现左大腿肿物,约鸡蛋大小,有压痛,无活动障碍。左腿活动良好,生理反射存在,病理反射未引出(图1、图2)。

图1 CT:左股骨中段内侧肌群见一梭形软组织肿块影,略低于肌肉密度,其内密度稍不均,可见条状分隔影,CT均值约为40HU,与邻近肌肉分界欠清


图2 MR:左股骨中段内后侧肌群内见一梭形软组织肿块影,T1WI以等信号为主,T2WI呈混杂较高信号,其内条带状低信号区,大部边界不清,少部分边界清晰、可见低信号包膜
【病例2介绍】
女,22岁,3年前偶然发现右侧腰部约1cm大小肿物,无疼痛。6个月前外伤后明显增大,偶有劳累后疼痛。病来无发热。生理反射存在,病理征阴性(图3)。


图3 MR:约腰13水平右侧腰背肌群内见不规则分叶状肿块,T1以等信号为主,见点条状低信号,T2呈略混杂的稍高信号,边缘不清,周围未见明显水肿,STIR序列程混杂高信号,邻近多块肌肉受累,并见病灶突破右侧腰背部肌层突入腹膜后肾周脂肪囊。增强扫描可见不均匀中等强化,原低信号灶无强化
【诊断】
侵袭性纤维瘤(图4、图5)

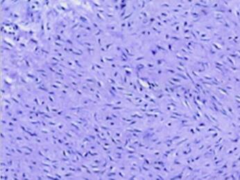
图4 病理:镜下:瘤细胞梭形,无明显异形性,向周边浸润性生长。诊断:(左大腿)侵袭性纤维瘤病

图5 病理:镜下:瘤细胞梭形,束状、编织状排列,浸润横纹肌。免疫组化:SM A(-),S-100(-),CD34(血管+),AACT(-),Ki67(局灶+)。诊断:侵袭性纤维瘤病
一、概述
侵袭性纤维瘤又称瘤样纤维组织增生、韧带状瘤、硬性纤维瘤,是一种少见的起源于纤维结缔组织的交界性肿瘤,来自肌筋膜和肌腱,可见于身体任何部位的骨骼肌。组织学上主要由成纤维细胞、纤维细胞和胶原纤维组成,属于良性,但病灶常呈浸润性生长,术后易复发,尚未见远处转移。病因可能与外伤、手术、妊娠等有关,其原因可能为不成熟的成纤维细胞修复时的过度增生,遗传因素在本病的发生发展过程中也可能起作用,例如家族性腺瘤性息肉病患者本病发病率较高。
本病可见于任何年龄,但以青年女性多见,四肢、躯干是常见部位,也可发生于腹腔。临床症状与肿瘤所在部位有关,因肿瘤生长较慢,肿瘤较小时多无症状,当增大到一定体积压迫邻近组织器官时可引起相应症状。在病程上肿瘤总体来说生长缓慢,但可呈间歇性生长过程,即某一段时间内生长较为迅速,之后表现为一段时间的“间歇期”,该过程长短不一,原因不明。肿瘤可表现为两种生长方式,其一为浸润性生长,较为常见,病变范围广泛,累及多块肌肉,边界模糊不清呈浸润性生长,无包膜,但邻近组织器官多呈受推挤改变,无侵袭破坏征象;其二为限局性肿块样生长,累及单一肌肉,边界较清楚,常可见包膜,但多不完整。
二、影像学表现
(一)X线平片
X线平片病灶较小时多无明显异常,肿瘤生长较大可见局限软组织密度增高,累及邻近骨骼时可显示邻近骨质呈慢性受压改变。
(二)CT
肌肉内限局性或弥漫性软组织肿块,边界多不清晰,密度较为均一、接近肌肉密度,内部无钙化或坏死灶。增强扫描显示病灶不均一显著强化。
(三)MRI
依肿瘤生长方式不同表现为弥漫性或局限分叶状生长,界限多不清晰,在T1WI上多表现不均一较低信号,病灶内可见蚓状、条状更低信号,在T2WI上病灶特征为不均一高信号为主,其内夹杂不规则低信号灶,有时病灶周边可见不完整低信号包膜。肿瘤的MR信号特征与其组织成分相关,由于肿瘤主要由成纤维细胞、纤维细胞及不等量的胶原纤维组成,不同成分的比例差异导致相应的信号改变,成纤维细胞成分主要表现为T1WI信号较低、T2WI信号较高;而纤维细胞及胶原成分则T1WI、T2WI均呈低信号。
三、鉴别诊断
侵袭性纤维瘤好发于青年女性,四肢、躯干是常见部位,肿瘤多呈侵袭性生长方式,局部切除后复发率高,病因不明,可能与外伤、手术、激素水平及遗传等因素有关,临床表现为生长缓慢的实性肿瘤。主要影像学表现为沿肌肉长轴方向生长的较大椭圆形或分叶状软组织肿块,边界不清,肿瘤内部无钙化或坏死灶,瘤周无明显水肿,在T1WI上多表现为相对较均匀稍低信号,T2WI上为不均一高信号为主,病灶内蚓状、条状低信号的纤维成分较具特征性。由于本病体积多较大,呈侵袭性生长,易被误诊为恶性肿瘤,但相对来说本病具有病灶内密度较均匀、T1WI信号较均一、无坏死、无瘤周水肿等良性肿瘤表现。主要需与下列疾病鉴别:
1.软组织肉瘤
软组织肉瘤多呈向心性生长,肿瘤生长较快可压迫邻近正常组织形成假包膜,因此边界多较清晰,由于肿瘤生长超过血供而容易出现中央坏死,瘤周水肿多较明显;而侵袭性纤维瘤生长较慢,多为浸润性生长境界不清,无包膜,无瘤周水肿,由于瘤内纤维及胶原分化良好,即使肿瘤巨大也无液化坏死灶。
2.恶性纤维组织细胞瘤
好发于四肢深部,特别是大腿,但多见于老年患者,瘤周有广泛水肿,多有假包膜,邻近骨骼易受侵犯,引起骨皮质破坏和骨膜反应,MRI瘤体内T1WI高信号的出血灶反映瘤体易侵及血管的特性,增强扫描不均匀显著强化。
3.肌间血管瘤
与侵袭性纤维瘤一样,肌间血管瘤也可呈侵袭性生长,但侵袭性纤维瘤病灶内肌纤维明显结构紊乱,而肌间血管瘤周围可见正常肌纤维结构轮廓,且肌间血管瘤在T1WI上以高信号为主也与本病不同。
(环球医学编辑:余霞霞)
免责声明
版权所有©人民卫生出版社有限公司。 本内容由人民卫生出版社审定并提供,其观点并不反映优医迈或默沙东观点,此服务由优医迈与环球医学资讯授权共同提供。
如需转载,请前往用户反馈页面提交说明:https://www.uemeds.cn/personal/feedback
来源:《疑难病例影像诊断评述》
作者:郭启勇 卢再鸣
页码:108-111
出版:人民卫生出版社
Copyright © 2025 Merck & Co., Inc., Rahway, NJ, USA and its affiliates. All rights reserved.