一例心包间皮瘤诊治经验分享
2025-12-07
43

18岁男性,因“间断胸痛21天”入院,如何诊治?


【病例摘要】


患者男性,18岁,汉族,现役武警战士,生于湖南省,无疫区、疫情、疫水居住史,无牧区、矿山、高氟区、低碘区居住史,无化学性物质、放射物、毒物接触史,无毒品接触史,无吸烟史,无饮酒史。主因“间断胸痛21天”入我院。患者于2015年8月4日11:00无明显诱因出现轻微胸痛伴喘憋症状,持续不缓解,患者未予以特殊重视。后于同日午饭后出现胸痛加重,无头晕、头痛、喘憋、腹痛、咳嗽等伴随症状,症状持续不缓解,出现呕吐症状,于卫生间呕吐后出现晕厥伴意识丧失,持续数十秒,后自诉伴随一声“惊叫”后清醒。返回武警宿舍休息后,于睡眠中再次出现“惊叫后清醒”。后就诊于当地医院,行超声心动图提示心包腔内大量液性暗区,诊断“心包积液”,自诉于当地医院测量收缩压为70mmHg,诊断为“心脏压塞”,立即行心包穿刺抽液,抽出暗红色液体约300ml,给予对症处理后转入中国人民解放军总医院第八医学中心(原中国人民解放军第三0九医院)就诊。入院后完善相关检查,查体发现颈部淋巴结轻度增大,根据患者临床表现及各项检查、检验结果给予试验性抗结核、抗感染及对症治疗,心包积液仍反复增多。随后行颈部淋巴结穿刺活检,病理未提示阳性结果。为进一步明确病因行胸部增强CT检查,结果提示心包腔内占位,考虑恶性改变可能性大,后为进一步治疗收入我院。患者目前精神状态尚可,体力欠佳,食欲正常,睡眠正常,体重近期无明显变化,大小便正常。入院查体:体温36℃,脉搏75次/min,呼吸18次/min,血压114/71mmHg,身高167cm,体重59kg,双肺呼吸音清,未闻及干湿性啰音及胸膜摩擦音,心前区无隆起,心尖搏动左移,心浊音界扩大,颈部及锁骨上窝淋巴结轻度肿大。父母健在,均体健,1姐健在,体健,家族中无传染病及遗传病史。

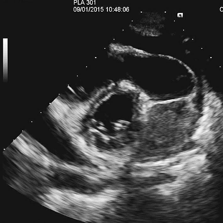
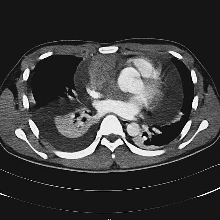
辅助检查:入院后行血常规、生化及结核与风湿免疫相关检验,均未见明显阳性结果,故考虑结核性心包积液可能性较小。后行心电图检查(2015年8月25日)示窦性心律,非特异性ST-T改变。X线胸片(2015年8月25日)示心影向双侧增大,呈烧瓶状。超声心动图(2015年9月1日)示舒张期心包腔内可见液性暗区:左室后壁21mm,右室前壁11mm,左室侧壁30mm,心尖20mm,右房顶10mm,剑突下20mm,心包腔内可见6.6cm×3.5cm实性团块,右室壁轻度受压(图1)。胸部增强CT(2015年8月26日)示心包腔内右心房上方见混杂密度肿块影,最大横截面积约6.1cm×4.0cm,病灶密度不均匀,伴有心包大量积液,少量右侧胸腔积液(图2)。心肌磁共振检查(2015年8月27日)示心包腔内团块状新生物,考虑恶性可能性大(图3)。随后在征得患者及其家属同意后,行PET-CT(2015年8月27日)检查,结果示心包腔内不均匀高代谢肿块,双侧颈根部及锁骨上窝多发高代谢肿大淋巴结,考虑恶性病变可能性大,伴随心包大量积液;右侧胸腔积液;腹、盆腔积液(图4)。综合以上检查及检验结果,考虑患者为恶性心包积液,心包腔内恶性病变可能性大,建议患者行穿刺活检,明确诊断。


图1心脏彩超

图1心脏彩超


图2胸部增强CT

图2胸部增强CT



图3心肌磁共振

图3心肌磁共振



图4PET-CT

图4PET-CT



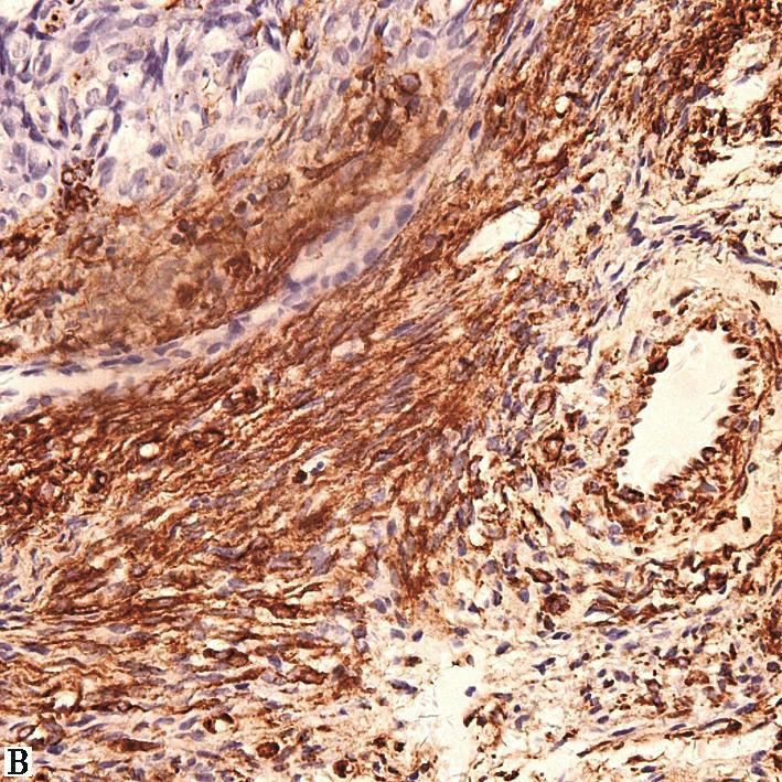
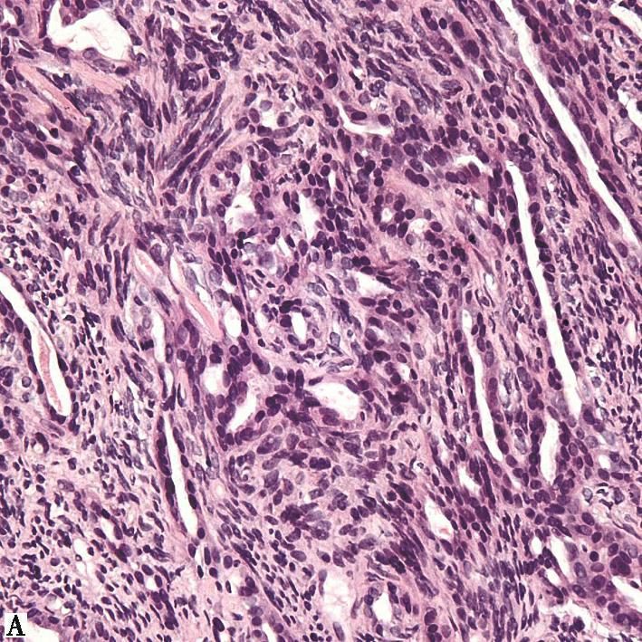
病理结果(2015年9月6日):经超声引导下取出的3条组织,镜下见肿瘤细胞呈乳头状及腺样结构排列并浸润横纹肌,瘤细胞小圆形,大小较一致,免疫组织化学结果显示肿瘤具有双向分化特点,符合恶性间皮瘤(图5)。免疫组织化学染色结果:波形蛋白(vimentin)(+),CK5(−),钙视网膜蛋白(calretinin)(−),Ki-67(+20%),WT-1(个别细胞+),CK(+),D2-40(+)(图5B)。经口服多维元素片1周后,转入肿瘤科接受进一步化疗,方案为培美曲塞二钠1g+顺铂60mg i.v.gtt. D1,同时心包腔内注射顺铂60mg。


图5病理图像-7646139261093888


图5病理图像-7646130214520832

图5病理图像


A.镜下见肿瘤细胞呈乳头状及腺样结构排列并浸润横纹肌;B.免疫组化结果显示肿瘤具有双向分化特点,符合恶性间皮瘤


最后诊断:心包恶性间皮瘤,大量心包积液,胸腔积液,盆腔积液。


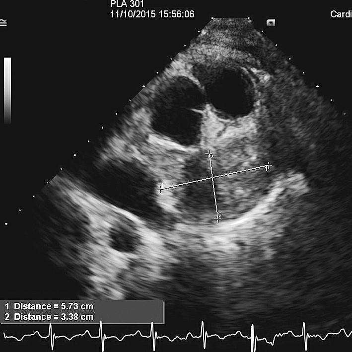
随访结果:患者于肿瘤科接受化疗,经2个周期(每7天1个周期)后,再次行超声心动图检查,结果是肿瘤体积缩小,为5.7cm×3.4cm,同时未见明显心包积液(图6)。



图6化疗后超声心动图

图6化疗后超声心动图


【诊治思路】


心包积液是一种较常见的临床表现,是心包疾病的重要表现之一。心包积液的常见病因分为感染性和非感染性两大类。感染性心包积液可由结核、病毒(柯萨奇、流感等病毒)、细菌(金黄色葡萄球菌、肺炎球菌等)、原虫(阿米巴)等引起;而非感染性心包积液则最多见于肿瘤(尤其肺癌、淋巴瘤、纵隔肿瘤等),其次还包括风湿病(类风湿关节炎、系统性红斑狼疮等)、心脏损伤或大血管破裂、内分泌代谢性疾病(如甲状腺功能减退、尿毒症、痛风等)、放射损伤、心肌梗死后积液等。出现症状时多表现为气短、胸痛。当心包积液突然急剧增长时,心包的适应性扩张低下,积液增加,表现为限制性心包积液,有可能出现心脏压塞。本例患者为青年男性,无化学性物质、放射物、毒品接触史以及恶性肿瘤家族史。首次胸痛症状发作轻微,因为患者年轻,未予以特殊重视。此后病情存在一个明确的进展过程,伴随着心包积液的突然急剧增长,直至患者出现晕厥并伴有意识丧失,在当地医院就诊后,行超声心动图发现明确的大量心包积液,并存在心脏压塞现象,收缩压70mmHg,行心包穿刺为暗红色血性心包积液。转诊于中国人民解放军总医院第八医学中心(原中国人民解放军第三0九医院),考虑患者为青年男性,且无明显化学、放射性及致癌性物质接触史,同时合并颈部淋巴结穿刺活检结果无明显阳性结果,故考虑患者为结核性心包积液,并予以试验性抗结核治疗,没有给患者行排除恶性肿瘤的相关检查,错过了明确诊断的机会。患者为青年男性,对自己的疾病认识不足,心包积液量逐渐增加,直至失代偿才来院就诊。患者病程早期未明确病因,错过了最佳诊断与干预时机。治疗方案的选择上也存在明显的考虑不周,导致患者病情一再延误。2015年8月开始在我院就诊以来,完善各项相关检查,各种相关影像学证据均显示心包腔内恶性占位性病变,伴有大量心包积液,在排除其他诊断的基础上,通过病理学最终明确诊断为恶性间皮瘤,制定了相应的化疗方案,并在随访过程中了解到患者从治疗中取得了相应的获益,肿瘤体积有所缩小,心包积液消失。


【讨论】


原发性心包间皮瘤极为少见,诊断困难。大多依赖临床表现、心包积液的特点、各种影像学证据,以及最终的病理检查来支持恶性心包间皮瘤的诊断。患者多次接受胸穿及胸腔积液常规检查,结果均不典型;因未及时完善心包相关检查,导致诊断延误。在临床工作中,对于出现顽固性心包积液合并胸腔积液的患者,应尽早做心包穿刺抽液,了解积液性质,送检积液沉淀病理,或行心包充气造影检查,以早期明确诊断。肿瘤所导致的恶性心包积液早期,患者通常无明显症状,也有患者表现为心肺症状(如呼吸困难、咳嗽、胸痛);一旦出现急进性进展,若不予以及时治疗,常因心脏压塞导致患者在短期内死亡。


本病例的特点:青年男性,仅因胸痛起病,临床症状不典型,无化学性物质、放射物、毒品接触史以及恶性肿瘤家族史,同时颈部淋巴结穿刺活检结果无明显阳性结果,导致当地医生判断失误,考虑结核性心包炎,并给予试验性抗结核治疗,致使诊断治疗延误。最终依据患者的临床表现、心包积液的特点、各种影像学证据,以及最终的病理检查,支持恶性心包间皮瘤的诊断,并符合恶性心包积液的主要临床特点,诊断明确。结合患者的临床情况给予了相应的化疗方案。

心包间皮瘤导致的恶性心包积液应注意与原发性良性间皮瘤、心包炎及心包转移肿瘤相鉴别,结合留取心包积液的生化检查以及采用各种影像学检查的手段,可达到明确诊断的目的。目前本病总体预后甚差,未经治疗病程一般不超过1年,心脏压塞及心力衰竭为其死亡原因。虽经治疗,多数患者预后仍难以改善,尤其是弥漫性者。


【小结】


心包腔内的恶性肿瘤极为罕见,国外文献报道的以个案为主。多数患者可因其临床表现类似于急性心包炎,导致医生在前期判断失误,而出现诊断及治疗的延误,所以早期识别至关重要。该类患者各年龄均可罹患本病,但多见于30~50岁,男女发病数之比为2∶1。临床医生特别是心内科、急诊科和胸外科医生,应该提高认识,细致地查体及询问病史,典型的心包积液、影像学改变、心包积液性质变化及辅助检查的结果,有助于临床医生的早期诊断及制定正确的治疗方案,有利于提高患者的正确诊断率,在早期给予患者正确的治疗。


【专家点评】


该病例临床极为罕见,有较好的临床借鉴作用,尤其有两点是我们临床医师应认真吸取的经验和教训。其一,正确的诊断与鉴别诊断:心包积液的原因很多,分为感染性和非感染性两大类。感染性心包积液中以结核性的心包积液最为多见;而非感染性心包积液则最多见于恶性肿瘤。本例青年患者,发病时症状轻微,但存在一个明显的进展过程,并伴随着心脏压塞的发生。随后,超声心动图证实大量心包积液的存在,此时需要继续明确患者心包积液的真正原因;而该患者无明显的结核病史,结核心包穿刺出的大量暗红色血性心包积液,恶性心包积液的诊断并不能完全排除,即使颈部淋巴结穿刺活检的病理结果并没有阳性的提示,而此时更应该做的是行进一步影像学的检查,以及必要时病变部位的病理学活检。其次,首诊医师临床经验不足是一方面的原因,更重要的是没有把握全局,未能对已经掌握的临床资料进行全面的和认真的分析。本病例给我们的启示是,当我们在临床工作中遇到特殊人群或复杂情况时,要充分利用所学病理生理基础知识,去分析、去解释患者的临床和实验室检查结果,不可以以偏概全,一叶障目,亦不可以异想天开地“想当然”。尤其是当遇到分析困难,解释矛盾时,不可绕道走,或勉强地用“一元化”解释,否则极易造成误诊或漏诊。


免责声明

内容来源于人卫知识数字服务体系、人卫inside知识库,其观点不反映优医迈或默沙东观点。 此服务由优医迈与胤迈医药科技(上海)有限公司授权共同提供。

如需转载,请前往用户反馈页面提交说明:https://www.uemeds.cn/personal/feedback

参考资料

人卫知识数字服务体系

(1)
下载
登录查看完整内容
热门推荐图标
热门推荐
二维码
关注优医迈微信
并绑定账号
即可获得100优点