中老年男性,慢性病程,以便秘、腹痛为主要表现,伴排气、排便减少,排便后腹痛缓解。结合病史及影像学表现考虑机械性肠梗阻,后经检查排除该病。该患者所患何病?
一、病例介绍
1.病史介绍
患者:男性,59岁,工人。
入院时间:2017年1月10日。
主诉:便秘、腹痛半年。
现病史:患者自2016年6月起出现便秘,最长排便间隔时间1次/10天,呈干球状,伴排气减少;伴腹部绞痛,位置不固定,疼痛视觉模拟评分(visual analogue scale,VAS)4~6分,与进食无关,排气、排便后腹痛缓解。2016年7—9月外院诊断不全肠梗阻,予通便治疗,效果欠佳。血、尿、便常规正常。血肿瘤标志物、血糖、甲状腺功能均正常。腹部立位X线平片可见气液平。胃镜检查提示慢性浅表萎缩性胃炎。肠镜:(2016年7月)到达盲肠,升结肠至直肠黏膜片状充血水肿,血管网模糊、紊乱,慢性结肠炎;(2016年9月)因肠道准备不佳,进镜至降结肠(自述粪便堵塞影响进镜),所见结肠黏膜光滑。胸腹盆CT示左侧胸膜局限性增厚,结肠及直肠肠腔扩张。粪便常规+隐血(2016年12月)正常。炎性指标ESR、超敏C反应蛋白(hsCRP)正常。结肠CT重建显示结肠脾曲、降结肠、部分乙状结肠弥漫肠管壁环周增厚。给予聚乙二醇4000散+双歧杆菌三联活菌胶囊口服,患者每日可排少量硬结条状大便。近半年,患者因恐惧进食体重下降25kg。
既往史:高血压10余年,降压药控制血压可;2003年诊断肺结核,治疗半年,已愈;2016年1月外伤致右侧骨盆骨折,自愈。
个人史:吸烟20余年,10~20支/d,戒烟1年余;饮酒20余年,白酒每天2~3两(100~150mL),戒酒半年。否认过敏史、手术史、输血史。
家族史:否认高血压、糖尿病等家族史,家族中无类似疾病患者。
2.入院查体
T 36.5℃,P 70次/min,R 20次/min,BP 125/75mmHg。心肺无特殊,腹部稍膨隆,无胃肠型,叩诊呈鼓音,腹软,无压痛、反跳痛,肠鸣音4次/min,未闻及高调肠鸣音。
3.初步诊断思维过程
(1)入院时病情总结:患者为中老年男性,慢性病程,以便秘、腹痛为主要表现,伴排气、排便减少,排便后腹痛缓解。结合病史及影像学表现(立位腹X线平片及结肠CT),考虑机械性肠梗阻。
(2)入院时诊断思路:机械性肠梗阻的病因主要有以下几个:①缺血性肠病:多见于中老年人,病变多位于结肠脾曲、降结肠和乙状结肠。该病例支持点为中老年男性患者,有高血压、长期大量吸烟史,起病半年前骨盆骨折可能伤及肠道血管,左半结肠病变;不支持点为无典型进食后腹痛及便血。②肠结核(增殖性):支持点为既往有肺结核病史;不支持点为无结核中毒症状,炎性指标不高,无回盲部受累。③肿瘤:支持点为体重下降;不支持点为粪便隐血和血清肿瘤指标均正常,影像学检查示病变结肠管壁均匀性增厚,既往结肠镜无阳性发现。④炎性肠病(如克罗恩病):支持点为肠壁增厚梗阻;不支持点为炎性指标不高,无典型肠道表现(如节段性病变、纵行溃疡、铺路石样改变)。
(3)入院初步诊断:机械性肠梗阻?缺血性肠病?
4.入院辅助检查
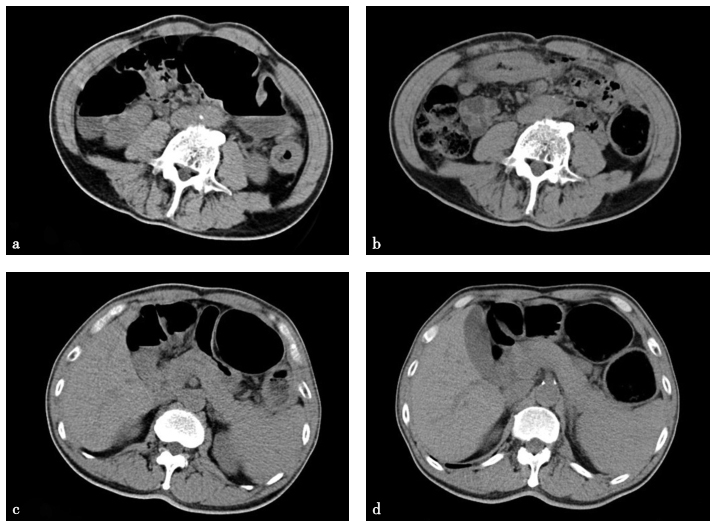
2016年12月9日和2017年1月12日两次CT比较见图1。

图1CT检查
a、c. 2016年12月9日;b、d. 2017年1月12日
血常规、肝肾功能、粪便常规+隐血正常;尿常规蛋白(+)。腹部立位X线平片示肠腔积气。肠系膜血管超声未见异常。腹盆CTA示腹主动脉及其分支未见明显管腔狭窄,结肠肠壁未见增厚。结肠镜示全结肠肠腔宽大,结肠脾曲、降结肠、乙状结肠肠腔未见狭窄,结肠黑变病。胃肠动力检查:48h胃肠通过试验(gastrointestinal transit test,GITT),排出15%,直肠乙状结肠以上55%,直肠乙状结肠以下30%;肛门直肠压力测定未见明显异常。
5.调整诊断思维过程
(1)再次病情总结:结合排气、排便减少,既往立位腹部X线平片结果,目前结肠镜及CT示结肠扩张,无机械性梗阻证据,考虑为慢性假性肠梗阻。
(2)目前诊断思路:慢性假性肠梗阻的病因包括原发性和继发性。原发性包括家族性和散发性,多幼年起病,患者为中老年人,故不考虑;继发性包括结缔组织病、内分泌疾病、感染、神经肌肉功能障碍、药物及毒物作用,其他还有硬化性肠系膜炎、麦胶性肠病,需要继续完善检查。
(3)目前诊断:慢性假性肠梗阻。
6.后续检查
(1)辅助检查:抗Jo-1抗体、抗ENA抗体、抗核抗体谱正常;血糖、血钙磷、甲状腺功能正常;CMV、EBV病毒检测阴性;血尿重金属和毒物测定无异常;血Hu、Yo、Ri抗体正常;血清蛋白电泳、血免疫固定电泳正常,尿免疫固定电泳F-κ(+),进一步检测血游离轻链κ 1180mg/dL(正常参考值:3.3~19.6mg/dL)+24h尿轻链κ 244mg/dL。
(2)假性肠梗阻病因分析
1)结缔组织病:如系统性硬化、皮肌炎、系统性红斑狼疮(systemic lupus erythematosus,SLE)。患者无相应临床表现,抗Jo-1抗体、抗ENA抗体、抗核抗体谱正常,故无结缔组织病证据。
2)内分泌疾病:包括糖尿病(diabetes mellitus,DM)、甲状旁腺功能减退、甲状腺功能减退、嗜铬细胞瘤。患者无相应临床表现,血糖、血钙磷、甲状腺功能正常,故无内分泌疾病证据。
3)感染性疾病:常见于美洲锥虫病、CMV感染、EBV感染。患者无拉丁美洲居住旅游史、无发热和肝损伤表现,CMV、EBV检测均无发现,故可除外感染性疾病。
4)药物及毒物:包括抗胆碱能药、抗帕金森药、阿片类、三环类抗抑郁药以及重金属。患者无相关药物服用史,无重金属接触史,血、尿重金属和毒物测定正常,故可除外药物及毒物作用。
5)神经肌肉功能障碍:①神经肌肉疾病,如强直性肌营养不良、帕金森病、脊髓损害。患者无相关临床表现,故可除外;②副肿瘤综合征,如肺癌、胸腺瘤、乳腺癌、卵巢癌等。影像学表现无肿瘤证据,血Hu、Yo、Ri抗体正常,故可除外;③淀粉样变,血和尿中均检测到游离轻链κ明显升高,提示体内单克隆免疫球蛋白水平升高,故需进一步鉴别该病。
6)其他:如硬化性肠系膜炎(患者无典型影像表现)、麦胶性肠病(患者症状与进食种类无关,无小肠绒毛萎缩证据),可除外。
7.最终诊疗思维过程
单克隆免疫球蛋白可见于浆细胞病和继发性疾病。浆细胞疾病包括多发性骨髓瘤、华氏巨球蛋白血症、淀粉样变、轻链病/重链病、未定性的单克隆免疫球蛋白病(monoclonal gammopathy of undetermined significance,MGUS)、POEMS[多神经病(polyneuropathy)、脏器大(organmegaly)、内分泌障碍(endocrinopathy)、M蛋白(monoclonal protein)和皮肤病变(skin changes)]等。继发性见于部分慢性淋巴细胞白血病(chronic lymphocytic leukemia,CLL)或淋巴瘤、Castleman病、结缔组织病、慢性感染、慢性肾功能不全。继发性已经过之前的筛查基本除外,故需重点考虑浆细胞病,尤其是淀粉样变,需要病理学证据。进一步检查,骨髓穿刺示浆细胞比例稍增高(成熟浆细胞2%);骨髓、舌体、横结肠近脾曲、乙状结肠、直肠黏膜活检病理无阳性发现;牙龈活检病理示黏膜下血管周围淀粉样物质沉积,刚果红染色(+),高锰酸钾刚果红(+)。
根据原发性轻链型淀粉样变(primary light chain amyloidosis,pAL)的诊断和治疗中国专家共识(2016年版):①具有受累器官典型临床表现和体征;②血、尿中存在单克隆免疫球蛋白;③组织活检见无定形粉染物质沉积,刚果红染色(+);④沉淀物证实为免疫球蛋白轻链沉积;⑤除外多发性骨髓瘤(multiple myeloma,MM)、华氏巨球蛋白血症或其他淋巴浆细胞增殖性疾病。对于不适合受累器官活检的患者,腹壁脂肪、舌体、牙龈和骨髓部位的活检也是一种诊断选择。
该病例pAL诊断明确。pAL主要受累器官包括肾脏、心脏、肝脏、神经和胃肠道。目前患者胃肠道可疑受累,其他受累器官评价:①24小时尿蛋白0.73g,肾脏受累明确;②心电图和心脏彩超结果正常,血cTnI和NT-proBNP正常,故无心脏受累;③血ALP(-),影像学检查显示肝脏不大,故无肝脏受累;④无对称的四肢感觉运动异常,故无周围神经受累;虽有假性肠梗阻,但是无直立性低血压和排尿困难,故自主神经受累证据不多;⑤无巨舌、舌体活动障碍、构音异常,无皮肤紫癜和瘀斑,故无软组织受累。
8.最终诊断
原发性轻链型淀粉样变,根据Mayo2004年危险分期为Ⅱ期。
9.后续治疗方案
患者因经济原因未治疗,定期血液科随诊。
10.后续随访
半年后复查,无心脏临床症状,血cTnI 0.061μg/L(正常参考值:0~0.056μg/L),NT-proBNP 205pg/mL(0~125pg/mL);心肌灌注延迟成像动态MRI示左心略增大,左室下侧壁基底段心肌片状延迟强化,心肌病变可能。患者心脏受累明确,开始硼替佐米治疗。
二、疾病诊疗难点
淀粉样变是血液系统疾病,可以沉积于全身各个器官,引起各种临床表现。淀粉样变的胃肠道表现也是多种多样。临床工作中,接诊以消化系统症状为主的患者时,除了关注消化系统疾病,也要警惕系统性疾病。当临床怀疑淀粉样变时,要多部位活检;当怀疑胃肠道受累时,从食管到直肠要多部位活检以取得病理学证据。当淀粉样变确诊后,要评价受累器官,以便后续治疗及评估预后。
三、疾病知识回顾
淀粉样变是指纤维样淀粉样变蛋白沉积于细胞外,造成器官肿大、功能障碍。形成淀粉样沉积物的蛋白质亚基源自可溶性前体,这些前体经历了构象改变,导致沉积物主要呈反平行β-折叠结构。目前已经确定31种自体蛋白可以在组织和器官中形成局部或系统性淀粉样变(表1)。
表1主要的淀粉样变前体蛋白及相关疾病

胃肠道淀粉样变性可局限于胃肠道或作为全身性受累的一部分。在一项包含2334例淀粉样变性患者的回顾性研究中,76例患者(3%)存在经活检证实的胃肠道淀粉样蛋白沉积,其中约80%具有全身性淀粉样变性,约20%为胃肠道淀粉样变性,而无证据表明存在相关浆细胞病或其他器官受累。542例经胃肠道病理诊断为淀粉样变患者的回顾分析显示,各种前体蛋白淀粉样变均可以沉积于胃肠道,包括AL型、AA型、ATTR、AAPO1等。淀粉样变胃肠道表现的发病机制包括淀粉样变胃肠道受累,另外外源性自主神经病变也可能影响胃肠道功能。外源性自主神经病变属于外周和/或自主神经病变,表现为肠道或膀胱功能障碍症状和直立性低血压。淀粉样变性患者的胃肠道疾病是由黏膜浸润或神经肌肉浸润所致,黏膜浸润累及黏膜固有层、黏膜肌层及黏膜下层,神经肌肉浸润累及内源性神经系统(肌间神经丛)、固有肌层。症状性胃肠道淀粉样变性通常表现为胃肠道出血、吸收不良、蛋白丢失性胃肠病和慢性胃肠道动力障碍。胃肠道出血的原因可能包括缺血、梗死、血管脆弱或黏膜病变。淀粉样变性患者可能因黏膜浸润、胰腺功能不全或细菌过度生长而发生吸收不良,表现为体重减轻、腹泻或脂肪泻。蛋白丢失性胃肠病通常表现为腹泻、水肿、腹水、胸腔或心包积液,并有低白蛋白血症。少数情况下,患者可能表现为慢性胃肠道动力障碍,包括便秘、恶心、呕吐、腹痛、腹胀或慢性假性肠梗阻。在AL型淀粉样变性中,淀粉样蛋白沉积于黏膜下层、黏膜肌层和固有肌层,导致息肉样突起和环状襞增厚,或沉积于肌间神经丛,通常表现为便秘、机械性肠梗阻或慢性假性肠梗阻。在AA型淀粉样变性中,颗粒状淀粉样蛋白沉积主要发生于黏膜,导致细颗粒状外观、黏膜脆弱和糜烂,表现为腹泻和吸收不良。胃肠道淀粉样变的内镜下表现不具特异性,胃肠道黏膜可能有细颗粒状外观、息肉样突起、糜烂、溃疡、黏膜变脆及管腔壁增厚;极少数情况下,淀粉样蛋白沉积物形成肿瘤,称为淀粉样瘤;也可内镜下无异常发现(因累及肌间神经丛或肌层)。淀粉样变的诊断需要病理结果,组织活检发现刚果红染色阳性的无定形物质沉积是诊断淀粉样变的金标准,或电子显微镜检查示存在淀粉样纤维蛋白原也可诊断。活检部位的取材包括替代部位(牙龈、舌体、腹壁脂肪、骨髓)和受累器官(肾脏、心脏、肝脏、神经、胃肠道)。胃肠道淀粉样变的诊断也需要病理结果,活检部位从食管到直肠均可进行取材。542例(663份标本)胃肠道病理诊断为淀粉样变的患者的回顾分析显示,各种类型的淀粉样变从胃到直肠均可沉积。胃肠道淀粉样变的治疗包括胃肠道症状的对症治疗和基础疾病的治疗。在基础疾病治疗方面,对于AL型淀粉样变性,治疗浆细胞病;对于继发性AA型淀粉样变性,治疗基础疾病;对于透析相关淀粉样变性患者,则可以改变透析模式或考虑肾移植。
专家点评
患者为中年男性,因便秘、腹痛半年就诊,结合病史、胃肠道内镜检查、CT等相关检查结果,考虑存在肠梗阻,后经检查排除机械性肠梗阻;尿免疫固定电泳F-κ(+),血游离轻链κ 1180mg/dL(正常参考值:3.3~19.6mg/dL),24h尿轻链κ 244mg,单克隆免疫球蛋白升高,临床应考虑浆细胞病。其后,牙龈活检病理示黏膜下血管周围淀粉样物质沉积,刚果红染色(+),高锰酸钾刚果红染色(+)。该病例最后明确诊断为原发性轻链型淀粉样变(受累器官包括肾脏、心脏,消化道可疑受累)。从该病例的诊治过程来看,经治医师临床思维清晰,寻找发病原因环环相扣,逻辑性强。
淀粉样变临床较为少见,属于血液系统疾病,但可以表现为多器官受累的症状和体征,患者可以消化系症状为首发并就诊,临床医师要有系统、全面的临床思维,除了关注消化系统疾病外,也要注意是否存在系统性疾病。另外,病理学是诊断本病的重要依据,内镜检查时要尽量多部位取活检,以便评估患者受累器官和进行预后评估。
免责声明
内容来源于人卫知识数字服务体系、人卫inside知识库,其观点不反映优医迈或默沙东观点。 此服务由优医迈与胤迈医药科技(上海)有限公司授权共同提供。
如需转载,请前往用户反馈页面提交说明:https://www.uemeds.cn/personal/feedback
人卫知识数字服务体系
Copyright © 2025 Merck & Co., Inc., Rahway, NJ, USA and its affiliates. All rights reserved.