青年男性,病程长,平素无消化道症状,既往有肛瘘手术史。间断血便,查体无明显阳性体征,实验室检查显示外周血嗜酸性粒细胞比例升高。胃镜检查未见上消化道可疑出血病灶,结肠镜、胶囊内镜检查发现空回肠糜烂、浅表溃疡灶。该男性所患何病?
一、病情摘要
1.基本情况
男性患者,22岁,因“间断血便5年”,于2011年8月入院。入院前5年,患者无诱因出现鲜红色糊状血便,伴上腹痛,无呕血,外院考虑为急性出血性肠炎,治疗后未再排血便。本次入院前13天,患者再排4次糊状血便,色暗红,无腹痛、腹胀、呕吐、呕血、发热,门诊予以对症止血治疗后症状好转,为进一步诊治收住院。
2.既往
患者3年前有肛瘘手术史,术后恢复良好。
3.入院查体
体温36.3℃,脉搏72次/min,呼吸20次/min,血压91/50mmHg。神志清楚,双肺呼吸音清,未闻干、湿啰音。心律齐,未闻病理性杂音。腹平软,全腹无压痛、反跳痛,未触及肿块,肝、脾肋下未触及,墨菲征阴性,叩诊鼓音,移动性浊音、振水音阴性,肝区、肾区无叩痛,肠鸣音3次/min。肛门指诊未触及肿物,指套退出无染血。
4.入院前检查
血常规:WBC 5.56×109/L,嗜酸性粒细胞比例19.42%,Hb 117g/L,PLT 356×109/L;胃镜示浅表性胃炎改变;结肠镜检查见回盲瓣息肉,回盲部炎症;胶囊内镜检查见空肠、回肠黏膜散在充血糜烂及不规则片状浅表溃疡灶。
5.初步诊断
便血待查。
二、诊治过程
【病例特点】
1.一般情况
患者为青年男性,病程长,平素无消化道症状,既往有肛瘘手术史。
2.主要症状和体征
间断血便,查体无明显阳性体征。
3.实验室检查
外周血嗜酸性粒细胞比例升高。
4.内镜检查
胃镜检查未见上消化道可疑出血病灶;结肠镜、胶囊内镜检查发现空回肠糜烂、浅表溃疡灶。
【鉴别诊断思路】
综合患者临床表现及入院前辅助检查结果,患者消化道出血诊断明确,目前重点是确定出血部位及原因。
患者病程长达5年,本次发病有明确排暗红色血便症状,但无恶心、呕吐、呕血等症状,出血期间查胃镜仅提示浅表性胃炎,胶囊内镜示空肠、回肠黏膜散在充血糜烂及不规则片状浅表溃疡灶等改变,因此,出血部位应首先考虑为小肠。小肠出血的常见原因如下:
(1)克罗恩病:表现为非特异性胃肠道慢性炎性肉芽肿性病变,但病因不明确,临床可见腹痛、腹泻、瘘管形成及肠梗阻等多种表现。病变常累及回肠末端,也可累及全消化道。病变处黏膜溃疡通常为深裂隙样,溃疡可深达肠壁各层,易造成穿孔或形成外瘘。本病例胶囊内镜发现小肠散在糜烂及溃疡灶,并且既往曾有肛瘘病史,应高度怀疑克罗恩病可能。
(2)肠结核:溃疡型肠结核病灶多分布于回盲部,形成的溃疡深浅不一,有时很难与克罗恩病鉴别。本例患者虽无低热、盗汗等结核毒性症状,仍需注意排除,可行病理活检(如果发现干酪性肉芽肿性病灶,可确诊)。
(3)原发性小肠淋巴瘤:是最常见的小肠恶性肿瘤,临床上可表现为不明原因消化道出血、腹痛、腹泻等,胶囊内镜可见小肠黏膜多发肿胀、糜烂、溃疡灶。也有患者起病隐匿,以消化道出血、肠穿孔等表现就诊,易误诊为克罗恩病、肠结核等。本例患者空回肠多发糜烂、溃疡灶性质尚不明确,不排除小肠原发淋巴瘤可能,可行小肠镜检查并组织活检。
(4)寄生虫感染:患者虽久居城市,无寄生虫疫区接触史,但血常规提示嗜酸性粒细胞比例升高,考虑不能排除寄生虫感染。寄生虫所致出血性肠炎并非罕见,可查粪便培养、粪便集卵等进一步明确。其他如肠伤寒、阿米巴肠炎、慢性细菌性痢疾等特殊感染与患者表现不符,暂不考虑。
(5)肠贝赫切特综合征:贝赫切特综合征累及消化道时,好发于回盲部,形成单个或多个溃疡,重者可出现肠出血、肠穿孔、瘘管形成。贝赫切特综合征以复发性口腔溃疡、生殖器溃疡、眼炎及皮肤损害为主要特点。患者无上述表现,考虑为肠贝赫切特综合征可能性小,可行针刺反应进一步排除。
(6)血管病变:如血管畸形、毛细血管扩张症、静脉曲张等。国外文献报道,小肠出血以血管畸形最多见,占70%~80%。本例患者系青年男性,反复出现消化道出血,出血期间无其他伴随症状,不排除血管病变所致可能。
(7)其他:抗菌药物相关性肠炎、出血坏死性小肠炎、缺血性肠炎、放射性肠炎也可出现腹痛、排血便等表现。本例患者既往无使用抗菌药物病史,无放射治疗史,排血便期间无明显急腹症表现,故暂不考虑以上原因。
综上所述,患者目前小肠出血原因考虑为克罗恩病可能性大,肠结核、小肠淋巴瘤、寄生虫感染亦不能排除,为进一步明确诊断,可行小肠镜及活检。
【诊治措施】
1.入院后相关检查
(1)一般检查
血常规:WBC 7.4×109/L,N% 70.8%,嗜酸性粒细胞比率0.5%,Hb 119g/L,PLT 287×109/L。肝功能、肾功能、心肌酶、DIC+血凝、尿常规、粪常规均正常。
(2)免疫及肿瘤相关检查
自身免疫全套、ANCA均阴性,癌胚抗原正常。
(3)感染相关检查
血沉、C反应蛋白(CRP)正常。抗结核抗体、PPD试验阴性。粪便查蠕虫卵阴性。
(4)小肠镜检查
经口进镜,至回肠中上段,于回肠处见散在小溃疡灶,距空回肠交界处以远约30cm见多发溃疡瘢痕,并见一环周生长的溃疡型病灶,肠腔狭窄,内镜无法通过(图1),予活检。经肛门进镜,至回肠中段,无法继续进镜,肠腔未见异常。内镜诊断:小肠多发溃疡,克罗恩病可能。病理:空回肠交界以远(15cm、30cm)小肠黏膜送检,间质中见中量急慢性炎症细胞,腺体轻度增生,部分呈腺瘤样增生。

图1 小肠镜检查所见
A.小肠溃疡瘢痕状态;B.小肠溃疡伴狭窄。
引自:内科疑难病例解析.第1版.ISBN:978-7-117-26559-1.主编:朱鹏立 陈愉生
(5)立位腹部X线平片
腹腔见胶囊影(胶囊内镜滞留)(图2)。

图2 立位腹部X线平片
引自:内科疑难病例解析.第1版.ISBN:978-7-117-26559-1.主编:朱鹏立 陈愉生
(6)消化道碘油造影
胶囊内镜往返走行,相应肠腔扩张、气液平面形成,其近、远端多段狭窄,考虑为不全性肠梗阻(图3)。

图3 胶囊内镜检查所见
引自:内科疑难病例解析.第1版.ISBN:978-7-117-26559-1.主编:朱鹏立 陈愉生
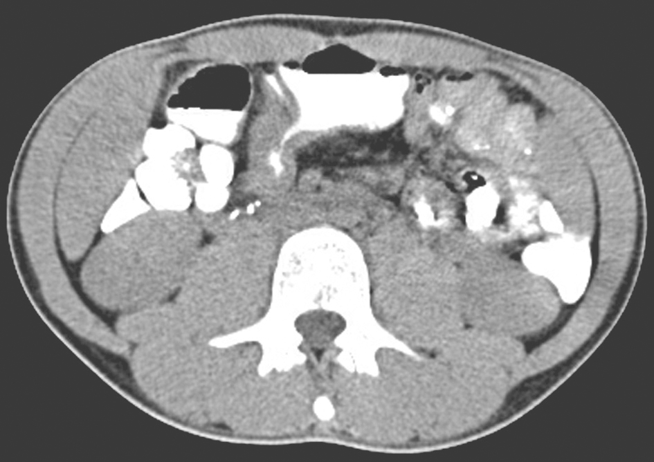
(7)腹部CT
回肠部分肠管扩张,可见异物(胶囊内镜)存留,其近、远端肠管管壁增厚,管腔狭窄,考虑可能为克罗恩病致不全性肠梗阻(图4)。

图4 腹部CT表现
引自:内科疑难病例解析.第1版.ISBN:978-7-117-26559-1.主编:朱鹏立 陈愉生
患者入院后的系列检查提示:①患者炎症指标未见明显异常;②抗结核抗体、PPD试验均阴性,粪便集卵无异常;③自身免疫全套、ANCA均正常;④小肠镜检查及腹部CT未见肠道占位病变,全消化道碘油造影未见肠道憩室;⑤立位腹部X线平片及消化道造影提示不全性肠梗阻。结合患者年龄、既往肛瘘病史,目前诊断首要考虑为克罗恩病。
2.入院后相关诊疗
予美沙拉秦抗炎、对症支持等治疗后,患者无腹痛、腹胀、恶心、呕吐、发热等不适,排便通畅,无血便、黑便。
经通便、促肠道动力等治疗后,胶囊内镜仍滞留于患者体内,故请外科会诊行剖腹探查+部分空肠切除术。术中探见:距Treitz韧带70cm始见一长约25cm异常空肠,系膜侧肠管呈炎性条索状改变,病变远端空肠肠壁部分炎性萎缩形成狭窄,狭窄段肠管扪及一约2cm×1cm异物,其余肠管未见异常,切除病变肠管。术后病理:小肠(空肠)黏膜表面糜烂,间质中见中量急、慢性炎症细胞及嗜酸性粒细胞浸润,肌间及浆膜层见多量钙化虫卵结节沉积(图5)。

图5 术后病理
A.肌间及浆膜层见多量钙化虫卵结节沉积(HE染色,×50);B.肌间见多个钙化虫卵结节沉积(HE染色,×200)。
引自:内科疑难病例解析.第1版.ISBN:978-7-117-26559-1.主编:朱鹏立 陈愉生
3.最后诊断
空肠寄生虫卵沉积伴消化道出血、不全性肠梗阻。
【临床转归】
患者术后恢复好,经阿苯达唑驱虫治疗10天后出院,随访3年,未发生血便、腹痛、肛瘘等。
【临床难点】
结合病史及腹部CT、胶囊内镜、小肠镜检查结果,起先考虑本病例为克罗恩病可能性大,但最后经外科手术切除病变肠段,术后病理证实为肌间及浆膜层多量钙化虫卵结节沉积引起小肠多发溃疡及狭窄而造成消化道出血、不全性肠梗阻。诊断难点如下:①以血便、小肠多发溃疡、不全性肠梗阻为主要表现,有肛瘘病史,易误诊为克罗恩病;②小肠镜检查发现小肠多发溃疡,活检病理提示炎性改变,并无特异性,小肠溃疡性质难以确定;③病初时发现嗜酸性粒细胞升高,但之后多次复查均正常,易忽略寄生虫感染。
三、点睛析评
寄生虫感染是导致消化道疾病一个不容忽视的病因,可引起消化道出血及各种急腹症,如肠梗阻、急性阑尾炎、腹膜炎、胆管炎、急性胰腺炎等。可引起消化道出血的寄生虫包括钩虫、血吸虫、鞭虫、姜片虫、溶组织阿米巴、粪类圆线虫、恶性疟原虫等,其中以钩虫感染致消化道出血的报道较多。本例患者系青年男性,病程长,主要表现为间断排血便,既往肛瘘病史,入院后查胶囊内镜及小肠镜发现小肠多发溃疡伴肠腔狭窄,小肠镜活检病理示炎症细胞浸润,腹部CT见部分小肠管壁增厚、多段性狭窄伴不全性肠梗阻,排除肠伤寒、肠结核等特殊感染及血液系统、变态反应性疾病后,所有术前证据均指向克罗恩病诊断。但需注意的是,小肠镜活检病理并未检出肉芽肿性病变,并不能确诊克罗恩病。患者入院前曾有嗜酸性粒细胞增高现象,提示寄生虫感染可能,但未引起临床医师足够重视。幸而通过外科手术取得病变肠段病理,明确了消化道出血的原因系寄生虫感染。可见,在临床工作中,切勿管中窥豹,需见微知著,细致入微。此外,胶囊内镜现已成为不明原因消化道出血(obscure gastrointestinal bleeding,OGIB)诊断的主要方法,诊断率约为62%。其优点是无创、相对安全,而缺点在于无法进行活检及反复观察,肠道狭窄时有胶囊嵌顿的风险。本例患者在进行胶囊内镜检查前后并无明显腹痛,排便通畅,无明显肠梗阻表现,却出现了胶囊内镜滞留,后经检查发现存在肠道多段性狭窄伴不全性肠梗阻。因此,在进行胶囊内镜检查之前必须全面、慎重评估消化道情况,避免出现胶囊内镜滞留甚至嵌顿的情况。
免责声明
内容来源于人卫知识数字服务体系、人卫inside知识库,其观点不反映优医迈或默沙东观点。 此服务由优医迈与胤迈医药科技(上海)有限公司授权共同提供。
如需转载,请前往用户反馈页面提交说明:https://www.uemeds.cn/personal/feedback
人卫知识数字服务体系
Copyright © 2025 Merck & Co., Inc., Rahway, NJ, USA and its affiliates. All rights reserved.