患者女性,50岁。因甲状腺癌外院术后20余年,发现颈前肿块20年,声嘶2个月,于2017年8月9日收入某省人民医院耳鼻咽喉头颈外科。20年前当地医院行颈部肿块切除术(具体不详),术后半年相同位置及右颈上部再次出现肿块,未做进一步治疗,起初肿块约红枣大小。1年前上述部位包块逐渐增大,近2个月明显增大,同时出现持续性声嘶,伴有说话费力,遂来本院就诊,发病以来,体重无明显下降。既往体健,家族中无甲状腺癌疾病史。
【影像学及特殊检查】
1.2017年8月8日颈部B超
甲状腺右叶可见一3.0cm×1.9cm×1.7cm大小的中低回声结节,边界尚清,内回声不均匀,其中心部可见一长约1.2cm的强回声;峡部可见一直径2.4cm大小的囊实性混合回声结节,边界清楚,回声不均匀,实质部分中等回声。CDFI可见较丰富血流信号(图1);左叶上极可见一直径0.5cm大小的低回声结节,边缘毛糙,其内可见点状强回声;右颈Ⅱ、Ⅲ、Ⅳ、Ⅵ区可见多个肿大淋巴结,最大者直径2.7cm,其内可见斑状及半弧形强回声(图2)。

图1 颈部超声示甲状腺右叶中低回声结节CDFI可见较丰富血流信号
图2 颈部超声示右颈肿大淋巴结
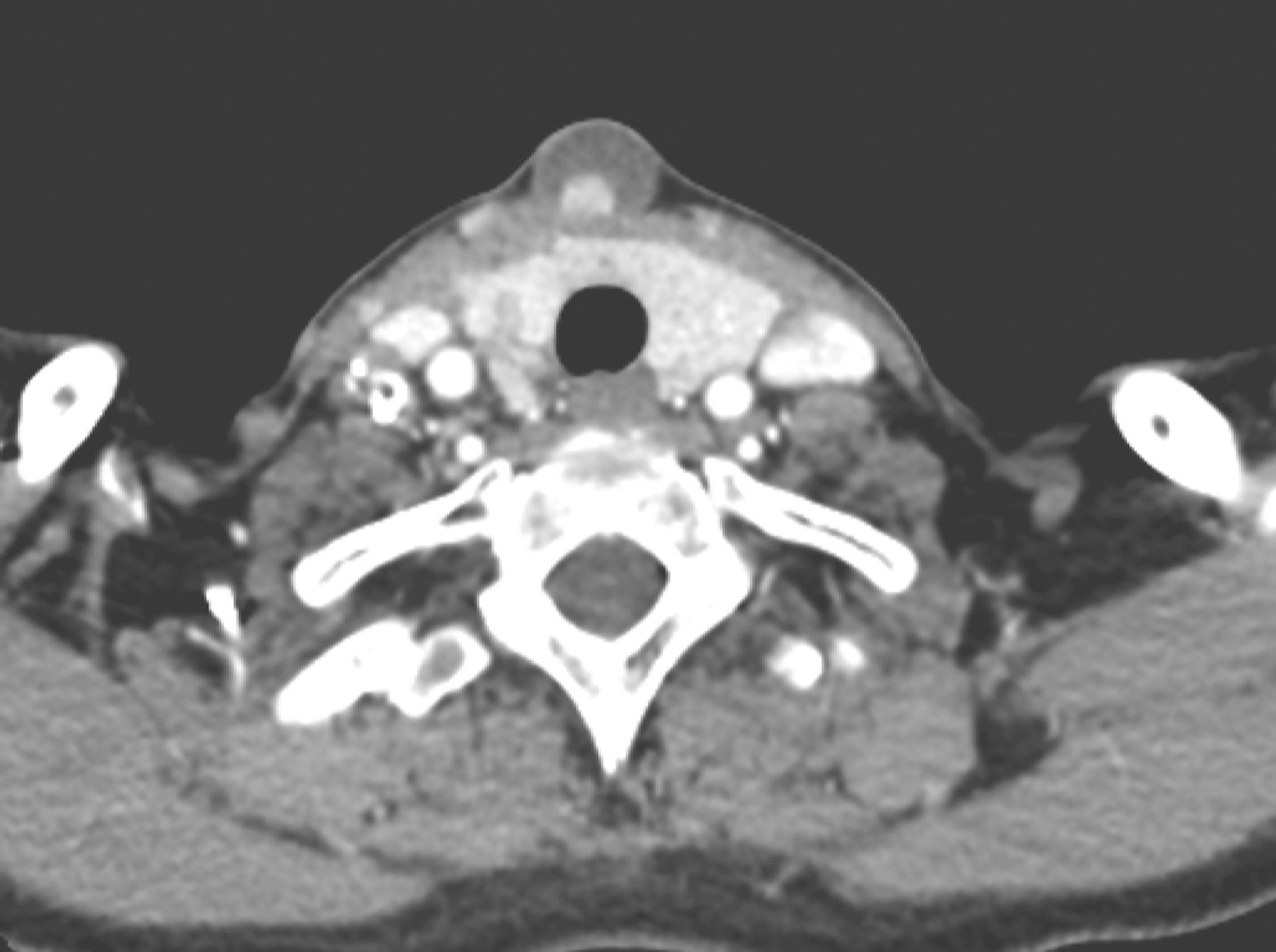
2.2017年8月8日颈胸部增强CT
颈前正中可见一直径1.9cm大小的类圆形低密度影,边界清楚,其内可见一直径0.8cm大小的强化结节影(图3);甲状腺右叶见斑片状低密度影,边界不清楚,其内见斑片状、斑点状钙化密度影;甲状腺左叶见斑片状低密度影;右颈见多发结节状稍高密度影,边缘见环形钙化影,轻度强化(图4)。

图3 颈部增强CT示颈前正中类圆形低密度影内的强化结节影

图4 颈部增强CT示右颈多发结节状稍高密度影伴钙化
3.2017年8月10日电子喉镜
右侧声带固定于旁正中位,闭合时有裂隙(图5,图6)。
4.2017年8月10日甲状腺功能检查
甲状腺球蛋白(TG)明显升高,达166.2ng/ml(<55ng/ml),其余10项指标在正常范围内。

图5 喉镜示右侧声带固定于旁正中位

图6 喉镜示声带闭合时裂隙
【入院诊断】
甲状腺癌外院术后复发右颈淋巴结转移癌,右声带麻痹。
【治疗经过】
2017年8月11日在全麻下行甲状腺全切+右颈淋巴结清扫(Ⅱ~Ⅵ区)+右侧喉返神经移植(耳大神经)术。
手术过程
距颈前肿块周约1.5cm做一类梭形切口(图7),切开皮肤、皮下组织及颈阔肌,分离皮瓣。先行右颈清扫,切除受累的颈内静脉,保留胸锁乳突肌、副神经。于胸骨上窝显露右侧带状肌下端并切断,显露甲状腺左叶及左侧喉返神经,保留左上甲状旁腺,完成甲状腺左叶切除及左侧Ⅵ区清扫后(图8),将标本(右颈清扫组织)沿右侧颈总动脉表面分离,显露右侧喉返神经,见肿瘤包绕侵袭神经,遂切除受累的喉返神经,将甲状腺右叶、右侧Ⅵ区淋巴脂肪组织、受累的右侧带状肌、皮肤一同自气管表面切除(图9)。标本包括:全甲状腺、双侧Ⅵ区与右颈清扫组织、受累的颈前皮肤及带状肌(图10)。冲洗术腔后,取耳大神经,长度约5cm,并标记其近心端及远心端,显微镜下行右侧喉返神经移植:修剪耳大神经及喉返神经的断端,采用神经外膜缝合法,用8-0的PROLENE将耳大神经与喉返神经的近心端间断对位缝合4针,同法行神经的远心端吻合,检查已吻合的神经无张力及扭曲(图11)。放置引流管后,拉拢缝合切口。

图7 颈部切口设计

图8 甲状腺左叶切除及左侧颈部Ⅵ区清扫后

![]()
图9 甲状腺右叶、右侧颈部Ⅵ区淋巴脂肪组织、受累的右侧带状肌、皮肤一并切除后

图10 手术标本

图11 耳大神经与喉返神经吻合
【术后处理】
1.术后24小时内密切观察生命体征,注意呼吸。
2.注意伤口情况及颈部引流液的性质及引流量。引流量每日少于15ml后拔除引流管。
3.静脉与口服钙剂,预防低钙血症。
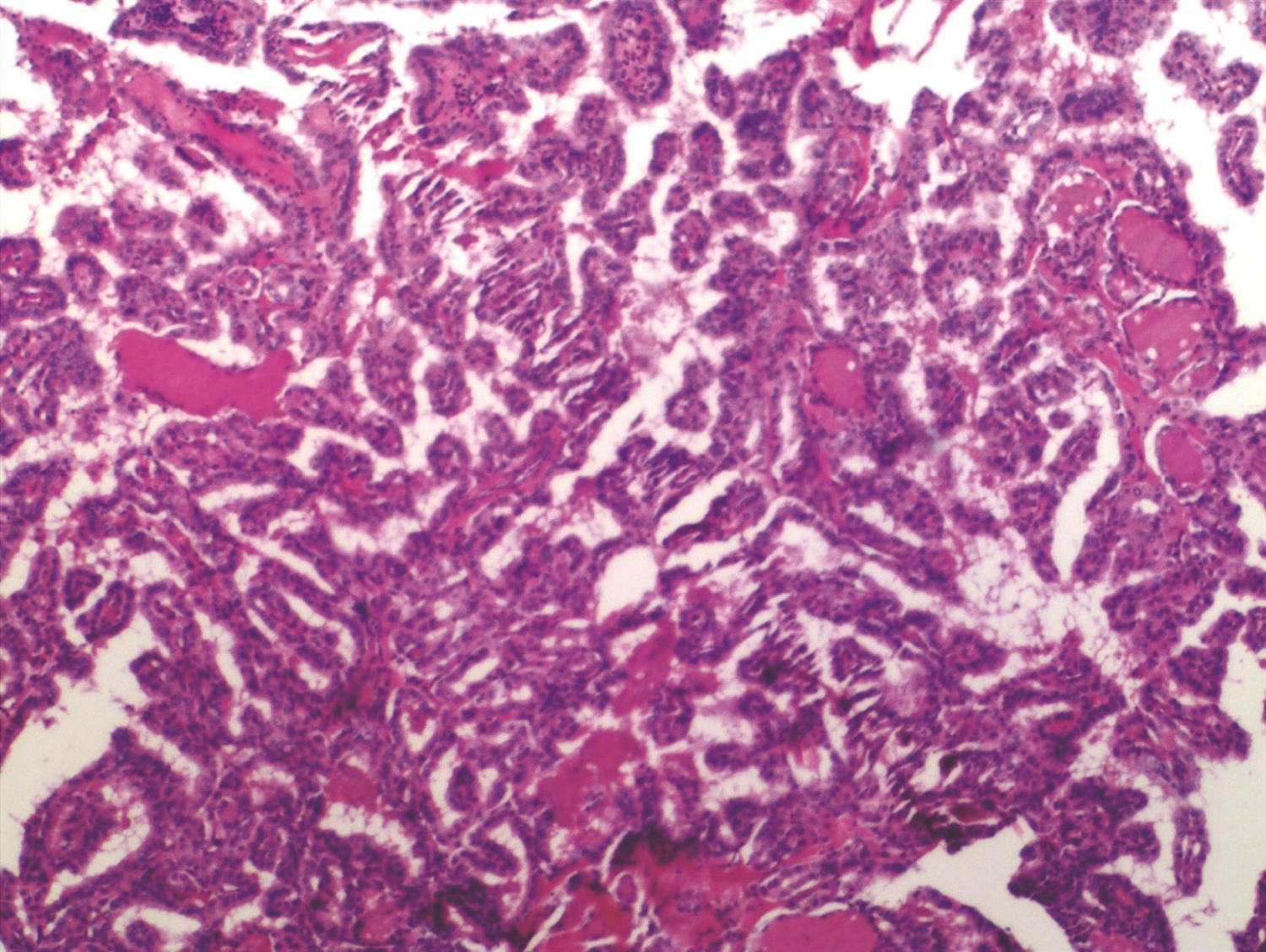
【术后病理】
(甲状腺右叶)乳头状癌,最大直径2cm,小灶侵及周围横纹肌组织(图12)。
(甲状腺左叶及峡部)见乳头状癌组织,并侵及周围横纹肌组织。
(皮下包块)见癌组织。

图12 术后病理切片
淋巴结转移癌(5/15)
(1)(右颈Ⅱ区清扫)2/7,另见癌结节3枚。
(2)(右颈Ⅲ区清扫)1/1。
(3)(右颈Ⅳ区清扫)1/1,另见癌结节1枚。
(4)(右颈Ⅴ区清扫)0/5。
(5)(右颈Ⅵ清扫)纤维脂肪组织中未见癌组织。
(6)(左颈Ⅵ清扫)1/1。
【术后随诊】
1.甲状腺功能相关检查
(1)2017年9月14日:甲状旁腺激素(PTH)17.54pg/ml,甲状腺球蛋白(TG)81.7ng/ml。
(2)2017年11月24日:甲状旁腺激素(PTH)29.95pg/ml,甲状腺球蛋白(TG)14.48ng/ml。
2.电子喉镜检查
(1)2017年8月21日:喉部右侧黏膜、声带轻度肿胀,右侧声带位于旁正中位(图13)。

图13 2017年8月21日复查喉镜
(2)2017年11月23日:右侧声带位于旁正中位,轻微活动,声带闭合时有裂隙(图14)。

图14 2017年11月23日复查喉镜
3.核医学检查
(1)2017年9月14日:甲状腺扫描(99mTc 5mCi)示甲状腺未见显影,系术后改变(图15)。
(2)2017年11月22日:131I(131-碘化钠100mCi)全身碘扫描示颈部甲状腺位置见局部放射性浓聚灶,考虑甲状腺术后残留(图16)。
示甲状腺未见显影.jpg)
图15 甲状腺扫描(99mTc 5mCi)示甲状腺未见显影

图16 131I全身碘扫示颈部甲状腺位置见局部放射性浓聚灶
【专家点评】
由于喉返神经紧邻甲状腺及气管旁淋巴结,因此晚期分化型甲状腺癌包膜外侵犯或转移淋巴结包膜外侵犯常累及喉返神经,导致声带麻痹,引起发声困难(声嘶、发声费力、呛咳、甚至呼吸困难等),极大的影响患者生活质量。对于受累的喉返神经,术中需要切除。但是如何恢复喉功能、改善声嘶仍是外科医生需要面对的重要问题。
目前对于单侧声带麻痹的治疗方法包括:①延期手术:声带注射内移术、甲状软骨成形声带内移术、颈袢喉返神经吻合术等。②同期手术:喉返神经吻合术(端端直接吻合、异位神经移植)、颈襻喉返神经吻合术、膈神经喉返神经吻合术等。采取何种治疗方法,取决于术中喉返神经缺损的长度、有无替代神经可供选择、技术水平、患者意愿等因素。
喉返神经移植术是生理性手术,具有能够恢复患侧声带的肌张力、肌体积、顺应性及黏膜波等优点,与甲状软骨成形声带内移术相比具有相同的发声效果,是甲状腺癌术中同期恢复喉功能的有效方法。
本病例系局部晚期甲状腺乳头状癌,伴有广泛的淋巴结转移,患侧喉返神经缺损较长(约3cm),并且同侧颈袢神经在扩大颈清扫时已予以切除。对于此类病例,喉返神经移植可选择健侧颈襻神经行颈襻喉返神经吻合,或取异位神经桥接喉返神经断端。耳大神经作为面神经移植中最常用且最可靠的异位神经,易于取材且在同一术野,本例中耳大神经的直径与喉返神经的直径相仿、长度合适。术后患者无明显声嘶,对发声效果满意。因此,对晚期分化型甲状腺癌侵犯喉返神经的病例,在彻底切除肿瘤的同时,积极采用同期喉返神经移植术,能有效地恢复发声功能,提高生活质量。
免责声明
内容来源于人卫知识数字服务体系、人卫inside知识库,其观点不反映优医迈或默沙东观点。 此服务由优医迈与胤迈医药科技(上海)有限公司授权共同提供。
如需转载,请前往用户反馈页面提交说明:https://www.uemeds.cn/personal/feedback
人卫知识数字服务体系
Copyright © 2025 Merck & Co., Inc., Rahway, NJ, USA and its affiliates. All rights reserved.