57岁男性,因“发热24天,伴咳嗽10天”入院,针对细菌性肺炎广覆盖治疗病情无明显好转,如何处理?
【病例简介】
患者男性,57岁,因“发热24天,伴咳嗽10天”于2013年12月10日入院。患者24天前受凉后发热,体温高达39.5℃,10天前出现咳嗽,咳少量白色黏痰,伴有乏力、纳差,于2013年12月1日就诊当地医院,门诊查外周血白细胞为18.33×109/L,中性粒细胞为87%,ESR为30mm/h,C反应蛋白为57mg/L。胸部CT平扫示右肺上叶纤维条索影,中叶炎性改变,考虑为肺部感染,给予左氧氟沙星治疗。于当日转诊至当地上级医院就诊,查痰、肺泡灌洗液、血液和骨髓培养均阴性;气管镜检查黏膜活检示“少许支气管黏膜衬单层柱状上皮,散在慢性粒细胞浸润”。给予“哌拉西林/他唑巴坦+阿奇霉素”静脉滴注3天后仍有高热,最高达40.2℃,予停阿奇霉素,改为万古霉素治疗,6天后患者仍发热,遂为进一步诊治而入我院。
入院查体:
T 38.2℃,P 87次/min,R 20次/min,BP 125/75mmHg。皮肤黏膜未见黄染及出血点,浅表淋巴结未及肿大。头颈无异常,胸廓无畸形,左肺呼吸音清,右中下肺可闻及湿性啰音,心率87次/min,心律齐,无杂音,腹平软,无压痛,肝脾肋下未及,脊柱四肢未见异常。双下肢无水肿。
既往史及个人史:
20年前诊断肺结核,已治愈;无吸烟史。否认高血压,糖尿病史,否认食物药物过敏史。患者有餐后牙签剔牙习惯。
辅助检查:
血常规:白细胞:20.63×109/L,中性粒细胞:86%,血红蛋白:99g/L,血小板:451×109/L;CRP:76.8mg/L;PCT:0.34ng/ml;肾功能:尿素氮 8.05mmol/L,肌酐:309μmol/L;血沉:27mm/h↑。痰涂片抗酸染色:阴性;痰培养:见真菌及孢子;G试验、隐球菌乳胶凝集试验:均阴性;PPD试验:阴性;血支原体、衣原体和军团菌抗体:阴性;血清肿瘤标志物、ANA、ENA、抗dsDNA:均正常;血培养(共3次)送检后5天仍无菌生长。
胸部CT(2013-12-18,图1):右肺中叶大片高密度影,伴支气管充气征;双肺多发结节影;纵隔淋巴结肿大。

图1 胸部CT:右肺中叶大片高密度影,伴支气管充气征;双肺多发结节影;纵隔淋巴结肿大
初步诊断:
肺部阴影待查:感染性?风湿免疫性?肿瘤性?
【病例解析】
问题1:患者肺部阴影的性质?
患者病情特点:①以发热、咳嗽急性起病。②针对细菌性肺炎广覆盖治疗病情无明显好转。③多次复查血常规均提示感染血象,白细胞总数与中性粒细胞分类均显著升高;血清学检查无肿瘤与结缔组织病证据。④患者痰和纤支镜肺泡灌洗液培养:均找到菌丝;肺穿刺活检病理:见菌丝及孢子。综上分析,提示肺部阴影为真菌感染可能。
问题2:病理报告发现菌丝及孢子,是否可确诊真菌感染?
患者入院后第8天和第9天血培养(需氧和厌氧各2次)回报:见放线菌(图2);此标本送至复旦大学医学院病原微生物学教研室检查鉴定也确定为放线菌。放线菌在形态上分化为菌丝和孢子,为厌氧菌或兼性厌氧菌,属于一类具有分支状菌丝体的细菌,革兰氏染色为阳性。放线菌在培养特征上与真菌相似,但放线菌培养生长缓慢,需延长培养时间。由于在形态学上与真菌相似,因此,临床上放线菌感染极易误诊为真菌感染。
目前患者病原学诊断已基本明确。

图2 血培养结果(革兰氏染色,×100):革兰氏染色呈紫色,阳性菌,分支状,呈辐射状生长
【最终诊断】
放线菌血流感染;肺放线菌病
问题3:患者放线菌感染的诱因?
肺部放线菌病发病率低,年发病率约为1/30万。男女发病比例为2.8∶1,年龄12~87岁。放线菌病主要侵犯口腔和颈部(55%),腹部(20%),肺部(15%)。
放线菌可寄生于口腔,包括牙齿、扁桃体窝等部位,可通过两种途径侵入肺部导致肺放线菌病:①口腔误吸放线菌至气管-支气管,蔓延至肺、胸膜或胸壁,此为最常见感染方式;②放线菌在口颊、齿龈等部位发生损伤时侵入组织内,并通过血流感染引起肺放线菌病,常伴有其他系统、器官损伤。该患者有餐后用牙签剔牙的习惯,发热14天后出现咳嗽、咳痰症状,血培养见放线菌。因此,我们推测此患者可能为剔牙后齿龈部损伤,继而引起放线菌血流感染和肺放线菌病。
【治疗】
大部分患者采取内科治疗,青霉素、磺胺类、四环素类、碳青霉烯类及新一代氟喹诺酮类等抗生素均是有效药物;其中大剂量青霉素为首选。
1.强化期
青霉素1800万~2400万单位/d,静脉滴注,2~6周;
2.维持期
青霉素V 2~4g/d,口服,6~12个月。
此患者入院后予亚胺培南和莫西沙星治疗后发热稍有好转,改用青霉素2天后体温恢复正常。肺放线菌病预后较好,但存在复发风险,疗程宜长,目前主张用药6~12个月。有学者对此传统治疗方案提出质疑,认为肺放线菌病应遵循个体化治疗,根据患者病情程度、胸部影像学表现等对治疗的反应来决定用药方式和治疗时间。部分患者需要外科手术治疗,包括药物治疗反应不佳、反复咯血、不能排除肿瘤的患者。
【随访】
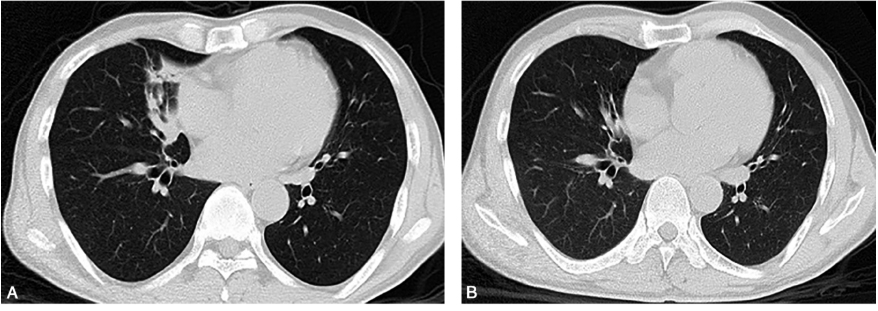
患者予青霉素治疗2天后,患者咳嗽、咳痰症状好转,体温恢复正常。治疗一周后血培养未生长细菌;血常规:白细胞:12.32×109/L,中性粒细胞:79%。查体:双肺呼吸音稍粗,未闻及干、湿性啰音。3个月后复查胸部CT:右肺中叶高密度影已基本吸收,右上肺结节明显吸收变小(图3)。

图3 胸部CT随访:青霉素治疗后3个月胸部CT(B)显示较治疗前(A)病灶已基本吸收消散
【病例点评】
1.当我们考虑感染性疾病而经验性抗感染治疗病情控制不理想时,应努力寻找病因,尽快明确致病原,包括仔细询问病史,尽早行血培养、组织培养、支气管镜和肺穿刺等病理与病原学检查。
2.患者标本见菌丝,而患者无真菌感染的高危因素且抗真菌治疗无效时,应考虑到放线菌感染的可能。标本送检时要兼顾需氧和厌氧菌,并要与检验科工作人员多沟通,必要时延长培养时间,以获取病原微生物结果。
3.放线菌感染以青霉素治疗为首选,且剂量大、疗程长。
免责声明
内容来源于人卫知识数字服务体系、人卫inside知识库,其观点不反映优医迈或默沙东观点。 此服务由优医迈与胤迈医药科技(上海)有限公司授权共同提供。
如需转载,请前往用户反馈页面提交说明:https://www.uemeds.cn/personal/feedback
[1]张有志,章鹏,杨海华.肺放线菌病血培养阳性一例并文献复习[J].中国呼吸与危重监护杂志,2014,13(6):565-567.
[2]VALOUR F,SENECHAL A,DUPIEUX C,et al.Actinomycosis:etiology,clinicalfeatures,diagnosis,treatment,and management[J].Infect DrugResist,2014,7:183-197.
[3]ENDO S,MURAYAMA F,YAMAGUCHI T,et al.Surgical considerations forpulmonary actinomycosis[J].Ann Thorac Surg,2002,74(1):185-190.
Copyright © 2025 Merck & Co., Inc., Rahway, NJ, USA and its affiliates. All rights reserved.