56岁男性,因“活动后气短4年,加重3周”入院。患者曾多次在当地医院就诊,“怀疑肺结核、肺真菌病及肉芽肿病”,经验采用抗结核、抗真菌等治疗,但疗效不佳。该患者患有……
【病情介绍】
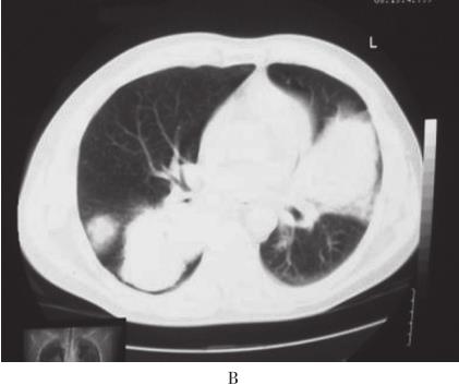
患者,男,56岁,因“活动后气短4年,加重3周”于2010年10月12日入院。入院前4年无诱因出现活动后气短,吸气时明显。3年前当地医院胸部CT检查示:双肺野内多个大小不等团片状密度增高影(图1A、B)。支气管镜下见:左上叶开口、右上叶开口及右下叶基底段开口处黏膜充血肿胀,管腔狭窄。支气管镜活检病理显示有大量淋巴细胞浸润。抗感染治疗后症状稍缓解。入院前1年上述症状加重,胸部CT示:双肺多发结节状、团块状病灶(图1C、D)。CT引导下肺穿刺活检病理示有大量淋巴细胞及浆细胞浸润,血管扩张充血,炎性渗出。诊断为双肺多发炎性肉芽肿,具体治疗不详。入院前2个月出现反复右侧鼻腔少量出血。入院前3周活动后气短加重,拟诊“双肺多发阴影性质待查”收入院。病来无发热、盗汗、咯血、胸痛、皮疹、关节痛。患者4年间多次在当地医院就诊,“怀疑肺结核、肺真菌病及肉芽肿病”,经验采用抗结核、抗真菌等治疗,具体治疗方案及疗程患者及家属叙述不清,疗效不佳。入院前半年,出现乏力、食欲下降,体重减轻4~5kg。







图1 胸部CT
A、B:2007年4月胸部CT示双肺野内多个大小不等团片状高密度.C、D:2009年10月胸部CT示双肺多发结节样、团块样病.E~G:2010年10月胸部CT示右肺下叶巨大团块状类软组织密度影,双肺弥漫性团片状浸润及实变影,纵隔内多发肿大淋巴结;胸片示右下肺团块影,双肺多发结节影
既往史:20年前行左侧腹股沟斜疝手术,否认高血压、糖尿病、冠心病、脑血管病史;否认肝炎、结核等传染病史;否认输血及重大外伤史;否认药物及食物过敏史;预防接种史不详。
个人史:生于吉林省,久居当地,从事电工职业40年;否认放射性及化学毒物接触史。吸烟20余年,20支/日,已戒烟8年;饮酒20余年,白酒3~4两/周(1两=50g),已戒酒1年。
婚育史:30岁结婚,育有1子,爱人孩子体健。
家族史:父亲死于膀胱癌,母亲患慢性支气管炎,已逝。有高血压家族史,否认其他家族遗传及类似疾病史。
【诊治经过】
入院后体格检查:一般情况佳,双侧颈部、锁骨上、腋窝、腹股沟可触及数枚肿大淋巴结,最大直径约2cm,质硬,边界清,活动度可,无压痛。双肺呼吸音粗,可闻及广泛哮鸣音。心、腹检查未见异常,肝脾肋下未触及。入院时实验室检查:血常规:WBC 5×109/L,HGB 111g/L,PLT 368×109/L;外周血涂片:白细胞正常范围,淋巴样浆细胞约占5%,成熟红细胞呈明显缗钱样排列,血小板增多。凝血功能检查:PT 15.2秒,凝血酶原活动度74%,APTT 43.9秒;血清肿瘤标志物及自身抗体谱检查阴性;PPD试验阴性;多次痰病原学检查阴性;C反应蛋白CRP)10.8mg/L;ESR 105mm/h;血β2微球蛋白44.9ng/L;血清总蛋白106g/L,血清白蛋白35g/L,白蛋白/球蛋白0.49。胸部X线示:右下肺团块影,双肺多发结节影。胸部CT示:右肺下叶巨大团块状类软组织密度影,双肺弥漫性团片状浸润及实变影、纵隔内多发肿大淋巴结图1E和F)。支气管镜:右上叶、右中叶、右下叶、左上叶、左下叶背段支气管开口黏膜充血水肿,可见不规则隆起,向腔内生长,触之易出血,表面光滑;右下叶、左上叶支气管开口完全闭塞;于右下叶开口行支气管黏膜活检。该患者有乏力、鼻黏膜出血倾向等高黏滞血症表现,血清总蛋白106g/L,血清白蛋白35g/L,提示患者存在血清球蛋白异常增多。遂继续查免疫球蛋白定量、血清蛋白电泳及骨髓穿刺活检。结果为:IgM 87.30g/L、IgA 0.73g/L、IgG 8.14g/L、κ轻链100g/L、λ轻链3.49g/L;血清蛋白电泳及免疫固定电泳显示M成分为IgM κ,尿本周蛋白阴性。骨髓形态学示:红系增生,分类以中晚幼红为主,可见巨变、类巨变、双核红,成熟红细胞呈明显缗钱样排列;淋巴样浆细胞多见,约占23%;骨髓瘤细胞约占6%。血清单克隆IgM升高,血清免疫固定电泳检出IgM κ,外周血及骨髓中淋巴样浆细胞增多,支气管黏膜、骨髓及淋巴结活检组织标本病理均提示淋巴细胞浸润,表达CD20、CD79α、CD138等B细胞免疫表型,且轻链呈限制性表达(表1)。支气管黏膜活检示均匀一致的小淋巴细胞弥漫浸润,结合免疫组化结果,符合黏膜相关淋巴组织结外边缘区B细胞淋巴瘤(MALToma)。患者既存在骨髓侵犯,又存在单克隆性IgM分泌,故诊断为华氏巨球蛋白血症(Waldenström macroglobulinemia,WM),肺部多发占位为华氏巨球蛋白血症肺部浸润,伴局部肺不张。
表1 活检组织显微镜下、免疫组化及病理结果

【最后诊断】
华氏巨球蛋白血症(WM)。
【治疗和转归】
拟行氟达拉滨和利妥昔单抗联合用药方案化疗,患者因经济原因转回当地治疗。
【重要提示】
1. 中年男性,慢性病程,病情迁延、反复。
2. 主要表现为活动后呼吸困难,伴有鼻出血,乏力;胸部CT示双肺多发结节状、团块状病灶及实变影、纵隔内多发肿大淋巴结;查体发现双侧颈部、锁骨上、腋窝、腹股沟可触及数枚肿大淋巴结;实验室检查:血清球蛋白异常增多。
3. 经验采用抗结核、抗真菌等治疗,疗效不佳。
【讨论】
淋巴浆细胞淋巴瘤(LPL)是一种包含小B淋巴细胞、浆细胞样淋巴细胞和浆细胞的肿瘤,常侵犯骨髓,少数侵犯淋巴结和脾脏,同时不符合其他伴小B淋巴细胞样肿瘤的诊断标准。而华氏巨球蛋血症(WM)为侵犯骨髓且分泌单克隆性IgM的LPL。因此LPL/WM是一种兼具B淋巴细胞、浆细胞特点的特殊类型淋巴瘤。绝大部分LPL是WM,但还有少部分,约5%的LPL为IgA、IgG和非分泌型LPL。WM通常累及骨髓、淋巴结和脾,大约15%~20%的病例发生结外浸润,如肺、胃肠道、眼眶、唾液腺、中枢神经系统和皮肤等。LPL/WM的临床表现大多不典型,随疾病进展可以出现以下临床症状:乏力是常见的主诉症状;出血及贫血,单克隆IgM与凝血因子形成复合物;覆盖于血小板表面可致凝血功能下降引起出血,多表现为鼻、口腔黏膜出血、皮肤紫癜,晚期可发生内脏及脑出血,眼底静脉阶段性扩展呈现“腊肠”样改变甚至眼底出血。淋巴细胞浸润致造血功能抑制、自身抗体使红细胞破坏加速及出血均容易导致贫血;高黏滞血症及雷诺现象,导致微循环障碍,出现头痛、眩晕、听力下降、眼球震颤、共济失调甚至意识障碍;大量的IgM抑制正常免疫球蛋白的产生,降低淋巴细胞转换功能,致使机体免疫力下降,易发生感染;神经病变多样,以周围神经病变常见,四肢感觉和运动障碍呈对称性,下肢常先出现且重于上肢,感觉障碍重于运动障碍;约有15%~20%患者有肝脾及淋巴结肿大;少部分患者出现肾功能损害及蛋白尿断标准:血清单克隆IgM>30g/L;骨髓常规为浆细胞样小淋巴细胞浸润;骨髓活检表现为肿瘤细胞间质浸润;免疫表型示IgM+)、CD19(+)、CD20(+)、CD22(+)、CD79b、CD5(-)、CD10(-)、CD23(-)、CD138(-)。治疗方法包括血浆置换、烷化剂、核苷类似物、单克隆抗体、大剂量化疗及干细胞移植、生物制剂等,应根据临床症状、骨髓浸润程度、其他脏器损害等将患者分层后进行选择。
【评述】
WM本病是一种兼具B淋巴细胞、浆细胞特点的低度恶性淋巴瘤。多起病缓慢,病初可无症状,临床表现多种多样,常不典型,容易误诊。本例患者以呼吸系统症状为首发表现,经病理证实为WM肺浸润,临床上十分少见。本病例的肺部影像学特点为胸部CT示双肺多发结节状、团块状病灶及实变影、纵隔内多发肿大淋巴结,起初根据影像学特点被误诊为肺癌或肺部感染,后因经验性抗感染治疗疗效不佳及病情迁延,继而被误诊为慢性肺部炎症性疾病,如肉芽肿病等。因此,对于临床表现和胸部影像学检查缺乏特异性的患者,在常见疾病不能完全解释病情或抗感染治疗无效的情况下,要考虑肺部少见疾病或全身性疾病的肺部表现的可能。该患者支气管黏膜标本轻链免疫组化结果与淋巴结、骨髓免疫组化结果差别较大,请病理科复核后,考虑可能与支气管黏膜取材组织少、染色欠佳、不稳定及肿瘤细胞异质性等有关。此时应结合血清免疫固定电泳及骨髓、淋巴结等大标本的结果进行综合分析。
入我院后,在1周时间内明确诊断,诊疗思路从患者多次的血清生化检查入手,发现一直存在血清球蛋白异常增高的情况,而既往就医的临床思路多以感染性疾病入手,造成了病情诊治方面的延误。本病例提示我们临床医师在采集病史时需耐心、细心,临床思维应全面,不应该只关注局部而忽略整体,更要善于在临床实践中不断地纠偏,这些都是提高诊治水平的关键。
(杨萌 林江涛)
参考文献
1. 易树华,邱录贵. 淋巴浆细胞淋巴瘤/华氏巨球蛋白血症发病机制研究进展. 中华血液学杂志,2014,35:568-570.
2. Treon SP,Hunter ZR,Castillo JJ,et al. Waldenström macroglobulinemia. Hematol Oncol Clin North Am,2014,28(5):945-970.
3. Treon SP,Xu L,Yang G,et al. MYD88 L265P somatic mutation in Waldenström’s macroglobulinemia. N Engl J Med,2012,367(9):826-833.
4. Monnet CM,Favrolt N,Bastie JN,et al. A rare cause of pulmonary opacities:Lung localization of Waldenström’s macroglobulinemia. Rev Mal Respir,2014,31(7):632-635.
5. 吴仲林,蒋慧芳. 淋巴浆细胞淋巴瘤/华氏巨球蛋白血症2例及文献复习. 浙江中西医结合杂志,2014,24:170-172.
6. 张之南,郝玉书,赵永强,等. 血液病学. 第2版. 北京:人民卫生出版社,2011:1094-1096.
7. Ansell SM,Kyle RA,Reeder CB,et al. Diagnosis and management of Waldenström macroglobulinemia:Mayo stratification of macroglobulinemia and risk-adapted therapy(mSMART)guidelines. Mayo Clin Proc,2010,85:824-833.
(环球医学编辑:余霞霞)
免责声明
版权所有©人民卫生出版社有限公司。 本内容由人民卫生出版社审定并提供,其观点并不反映优医迈或默沙东观点,此服务由优医迈与环球医学资讯授权共同提供。
如需转载,请前往用户反馈页面提交说明:https://www.uemeds.cn/personal/feedback
来源:《呼吸疑难少见病例解析》
作者:林江涛
页码:116-120
出版:人民卫生出版社
Copyright © 2025 Merck & Co., Inc., Rahway, NJ, USA and its affiliates. All rights reserved.