79岁男性间断发热、腹胀2个月 问题出在心脏
2024-01-19
875

79岁男性,因“间断发热、腹胀2个月”入院。9年前曾行主动脉瓣异种生物瓣膜置换术。本次入院治疗后,体温正常出院。出院后间断发热2个月,体温37.8~38.5℃,伴颈背部肌肉疼痛,再次入院。再次入院后第12天抢救无效死亡。本例老年共病患者人工生物瓣膜置换术后9年后的感染性心内膜炎报道少见,老年患者症状不典型,值得总结诊疗经验。
 
 
【病例介绍】
 
患者男性,79岁。因“间断发热、腹胀2个月”于2014年5月20日入院。患者起病无诱因,体温38~39.0℃,伴干咳、食欲减退、消瘦、肌肉关节痛,体重减轻8kg,自服“阿奇霉素0.5g 2次/日”及中成药效果欠佳,以“发热待查”入院。
 
既往史:主动脉瓣异种生物瓣膜置换术后9年、高血压10年、腔隙性脑梗死7年、2型糖尿病7年。
 
入院查体:体温37.3℃,心率100次/分,呼吸20次/分,血压130/68mmHg,神志清,无贫血貌,营养一般,全身皮肤黏膜无皮疹及瘀点、瘀斑,浅表淋巴结未触及肿大,颈静脉无怒张,胸部可见纵行长约12cm陈旧性手术瘢痕,双肺呼吸音清晰,未闻及干湿啰音,心律齐,各瓣膜听诊区未闻及病理性杂音,腹平软,无压痛及反跳痛,双下肢无水肿,生理反射存在,病理反射未引出。
 
入院后辅助检查:
血常规:白细胞14.1×109/L↑,中性粒细胞80.3%↑,血红蛋白130g/L;
C反应蛋白:206mg/L↑;血沉41mm/第1h↑;降钙素原0.21ng/ml。
尿蛋白(++)。
血生化:葡萄糖8.53mmol/L,羟丁酸脱氢酶244U/L,乳酸脱氢酶320U/L。
血培养连续2次均为屎肠球菌,对青霉素、喹诺酮、万古霉素、庆大霉素、链霉素均敏感。
便常规,自身免疫抗体,甲乙丙肝,HIV初步筛查,甲状腺功能,肺炎支原体,抗“O”+类风湿,结核DNA,梅毒三项,肥达反应,呼吸道病毒感染检测均正常。
心电图:窦性心律,正常心电图。
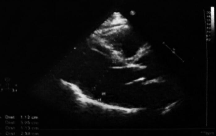
心脏超声:主动脉瓣置换术后,未见明确异常(图1)。
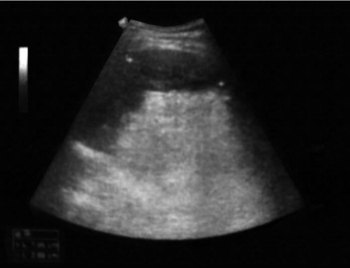
腹部超声:脾脏形态大小未见明显异常,包膜光滑,完整,实质回声欠均匀,内未见异常(图2)。
1 
图1  入院超声心动图结果
主动脉瓣为人工瓣,瓣架固定,瓣叶启闭灵活,瓣周未见异常回声附着,余各瓣膜形态结构未见异常,主动脉瓣向前血流速度最大约为3.9m/s,最大压差约为62mmHg
2 
图2  入院常规腹部彩超结果
脾脏形态大小未见明显异常,包膜光滑,完整,实质回声欠均匀,内未见异常
 
肺部CT:右肺上叶尖段陈旧性结核,心脏瓣膜置换术后改变。
病情变化:住院第9天患者突发言语不清,左侧肢体麻木无力,腹痛,症状持续不缓解。影像学检查提示脾梗死(图3),双侧外囊区、基底节区、左侧额叶区腔隙性脑梗死。心脏超声考虑人工瓣狭窄,二尖瓣少量反流(图4)。
3 
图3 第9天腹部彩超结果
脾厚约5.2cm,包膜光滑,完整,实质回声欠均匀,于下极实质见约7.9cm×3.9cm的低回声,边界欠清晰,CDFI:低回声内部未见明确血流信号。脾大、脾内异常低回声考虑梗死
4 
图4 入院9天超声心动图结果
主动脉瓣为人工瓣,瓣架固定,瓣叶毛糙,开放受限,瓣周未见明确异常回声附着,余瓣膜形态未见异常,主动脉瓣人工瓣位前向后血流速度最大约4.1m/s,最大压差约为69mmHg提示:主动脉瓣置换术后考虑人工瓣膜狭窄
 
诊断:1.高度可疑感染性心内膜炎;2.主动脉瓣异种生物瓣膜置换术;3.脾梗死;4.脑梗死;5.高血压病;6.2型糖尿病。
 
治疗方案:给予万古霉素0.5g 1次/12小时+哌拉西林他唑巴坦4.5g 1次/8小时连续应用30天,并给予阿司匹林、硫酸氢氯吡格雷片抗血小板等治疗,体温正常出院。
 
再次入院(第94天):出院后间断发热2个月,体温37.8~38.5℃,伴颈背部肌肉疼痛,于2014年8月19日再次收住入院。
 
入院查体:体温38.0℃,血压130/80mmHg,心率90次/分,呼吸22次/分,双肺呼吸音粗,主动脉瓣听诊区可闻及收缩期3/6级粗糙吹风样杂音呈递增递减型,向颈部传导。
 
入院辅助检查:本次入院连续3次血培养均为屎肠球菌,对万古霉素、庆大霉素、链霉素均敏感。心脏超声:主动脉瓣置换术后,生物瓣轻中度狭窄并轻度关闭不全,主动脉瓣生物瓣呈团块状,EF 54%(图5)。腹部B超示:脾大(图6)。
5 
图5 入院94天超声心动图结果
主动脉瓣为人工瓣,瓣架固定,瓣叶增厚,呈团块状,瓣周未见明确异常回声附着,余各瓣膜形态结构未见异常主动脉瓣人工瓣向前血流速度最大约为3.3m/s,平均压差约25mmHg,且可见少量反流信号。超声提示:主动脉瓣置换术后,生物瓣轻度狭窄并轻度关闭不全,主动脉瓣生物瓣呈团块状
6 
图6 入院94天腹部彩超结果
脾脏光滑,完整,脾下缘实质回声不均匀形态
 
诊断:1.感染性心内膜炎;2.主动脉瓣膜(生物瓣)置换术后;3.主动脉瓣狭窄并关闭不全;4.脾梗死;5.脑梗死;6.高血压病;7.2型糖尿病。
 
治疗方案:给予万古霉素0.5g 1次/12小时抗感染治疗10天,同时给阿司匹林肠溶片100mg/d,阿托伐他汀钙片20mg/d,厄贝沙坦片150mg/d、胰岛素等治疗。再次入院后第12天抢救无效死亡。
 
【病例讨论】
 
医疗活动相关的人工心脏瓣膜置换后老年患者感染性心内膜炎(infective endocarditis,IE)发病率明显增加,临床表现不具特异性;老年患者中症状不典型或不具有特异性,在医疗工作中漏诊、误诊率高,值得临床关注。IE年发病率为每年3~10例/10万人次,随年龄升高发病率增高,在70~80岁老年人为每年14.5例/10万,男女之比≥2∶1。人工心脏瓣膜或再造成形的自体瓣膜上的感染性心内膜炎(PVE)发生率为每年0.3%~1.2%,在我国确诊IE患者中占2%~4%,近年达13.9%。住院的IE患者死亡率约9.6%~26%,PVE住院死亡率国外为20%~40%,我国为13.5%;50%患者在住院期间接受外科手术,有外科指征而手术风险较高,无法实施手术者预后差。
 
患者反复发热2个月伴:①心脏内人工材料;②曾有瓣膜性心脏病;③血培养典型IE致病菌阳性或血清学阳性,入院应高度警惕感染性心内膜炎。根据Duke临床诊断标准[1]本例老年患者,主动脉瓣异种生物瓣膜置换手术史9年,反复发热,多次血培养为屎肠球菌生长,心脏听诊出现新的主动脉瓣杂音,超声心动图见主动脉瓣人工瓣膜团块状形状改变,并发脑梗死、脾梗死,明确诊断感染性心内膜炎。
 
疑诊IE患者应首先行超声心动图检查,在IE感染的早期人工瓣膜上识别赘生物(<2mm)检出率低,治疗第9天再次复查超声心动图有变化,2个月后再次复查超声心动图见主动脉瓣叶增厚,呈团块状,故临床上高度怀疑IE的患者进行一次以上的心脏超声检查非常必要。同时需要在抗感染完成后进行临床心功能评估和经胸超声心动图检查,并定期随访,尤其在第1年随访期内。一般建议抗感染结束后第1、3、6、12个月进行临床评估,血液检查(白细胞计数、C反应蛋白)及经胸超声心动图检查[3]。
 
抗菌药物是治疗IE的最主要手段,应遵循早期、足量、全程、杀菌剂、监测血清杀菌滴度、必要时联合用药的原则。该患者连续多次血培养为屎肠球菌感染,IE患者中5%~15%由肠球菌所致,其中屎肠球菌5%,病程通常呈亚急性,临床特点不显著。合并基础瓣膜疾病、糖尿病、留置导尿管、血液透析的老年感染患者中多见[2]。肠球菌对抗生素(如氨基糖苷类、β-内酰胺类和万古霉素)可能高度、多重耐受,常需联用具协同杀菌作用的细胞壁抑制剂和氨基糖苷类药物,并且给药时间足够长(6周左右)。对阿莫西林和庆大霉素敏感时给予阿莫西林2g、1次/4h静滴,疗程4~6周,或青霉素2.4g、1次/4h静滴联合庆大霉素1mg/kg、1次/12h静滴,疗程4~6周;青霉素过敏或者阿莫西林耐药时万古霉素1g、1次/12h静滴联合庆大霉素静滴1mg/kg理想体重、1次/12h静滴疗程4~6周,根据肾功能调整万古霉素及庆大霉素剂量。此例患者药敏结果对万古霉素敏感,规范给予万古霉素治疗[3]。初次感染IE后6个月内的再次发生IE,且病原菌与前次一致,为复发IE,我国2014的成人IE共识建议,复发IE应根据致病菌和药敏试验选择抗生素,并需额外延长抗感染时间4~6周。
 
患者突发脑栓塞应考虑活动期IE赘生物脱落导致脑栓塞的可能性大,能否使用抗栓和抗凝药物值得探讨,细菌性栓子不予抗凝治疗,无效且可能引起出血并发症(细菌性动脉瘤破裂脑出血),溶栓治疗后出血的发生率为显著增高,且获益明显降低[4]。患者的背景疾病中有继发血栓形成缺血性梗死的可能性,故给予阿司匹林,氯吡格雷抗栓治疗。
 
IE的早期手术指征为心力衰竭,不能控制的感染,预防栓塞[5]。手术治疗是整体治疗策略的重要组成部分,而不是保守治疗无效的后续治疗。人工瓣膜置换后心内膜炎,有手术指征的患者应尽早进行外科手术治疗;瓣膜赘生物的形成是紧急手术的指征;病情稳定,细菌药敏敏感,无瓣膜结构损害及心脏并发症的患者可择期进行手术[6];脑卒中应立即进行外科手术(Ⅱa B)、TIA或无症状性脑梗死应无延迟手术(IB)、颅内出血至少延期1个月后手术(IC)[7]。结合此例患者具体特点有明确的紧急手术指征,因患者家人考虑手术风险未同意行手术治疗,患者病情的进一步恶化,造成死亡。
 
【专家点评】
 
王丽(新疆石河子大学医学院第一附属医院心内科 教授主任医师)
 
本例老年共病患者人工生物瓣膜置换术后9年后的IE患者少见报道,老年患者症状不典型,病情进展迅速,预后不良。最终治疗无效死亡。老年感染性心内膜炎患者明确诊断后,在有效的足够疗程的抗菌药物同时,应及时进行病情评估,若手术指征明确,选择恰当的时机进行手术治疗,患者获益最大。
 
诊治经验:
 
1.对于拟诊IE的患者应根据指南规范诊断流程,综合病史、体征、血培养和心脏超声,全面分析判断。
 
2.应规范细化使用抗菌药物,合理应用抗菌药物,把握抗生素停药指征;人工瓣膜心内膜炎抗感染疗程需6~8周或更长,以降低复发率。针对肠球菌所致IE的抗菌药物治疗原则多建议联合应用抑制细胞壁活性制剂(青霉素、氨苄西林、万古霉素及替拉考宁)和庆大霉素,可提高肠球菌的抗菌活性,且疗程可至6周。抗生素的不规范使用导致少见的、高度耐药的病原体感染已经常见报道。临床观察肠球菌的多重耐药菌株增加,对糖肽类抗菌药耐药菌株正逐渐增加,此例患者根据药敏试验结果对万古霉素敏感,第一次万古霉素疗程为30天,疗程不够?基于氨基糖苷类抗菌药物较高的耐药性,此例为老年男性,有高血压、糖尿病病史多年,存在肾功能不全的基础状况,是否联合氨基糖苷类药物值得斟酌。
 
3.提高心脏瓣膜手术及心血管手术患者的晚期随访及管理,进行风险评估;加强IE高风险的患者健康教育,增加患者IE感染的相关症状的知晓率,并及时来院复诊,定期的实验室检查及心脏超声检查,在预防IE方面使患者获益增加。
 
参考文献
 
1.Durack D T,Lukes A S,Bright D K,et al.New criteria for diagnosis of infective endocarditis:utilization of specific echocardiographic findings.The American journal ofmedicine,1994,96(3):200-209.
2.Slipczuk L,Codolosa JN,Davila CD,et al.Infective Endocarditis Epidemiology Over Five Decades:A Systematic Review.PloS one,2013,8(12):e82665.
3.中华医学会心血管病学分会.成人感染性心内膜炎预防、诊断和治疗专家共识.中华心血管病杂志,2014,42(10):806-816.
4.AsaithambiG,AdilM M,Qureshi A I.Thrombolysis for Ischemic Stroke Associated With Infective Endocarditis Results From the Nationwide Inpatient Sample.Stroke,2013,44(10):2917-2919.
5.Habib G,Hoen B,Tornos P,etal.Guidelines on the prevention,diagnosis,and treatmentof infective endocarditis(new version 2009)The Task Force on the Prevention,Diagnosis,and Treatment of Infective Endocarditis of the European Society of Cardiology(ESC).Eur Heart J,2009,30,2369-2413.
6.Attaran S,Chukwuemeka A,Punjabi P P,et al.Do all patients with prosthetic valve endocarditis need surgery?Interact Cardiovasc Thorac Surg,2012,15(6):1057-1061.
7.RossiM,Gallo A,De Silva R J,etal.What is the optimal timing for surgery in infective endocarditiswith cerebrovascular complications?Interact Cardiovas Thorac Surg,2012,14(1):72-80.
 
 
(环球医学编辑:丁好奇)

免责声明

版权所有©人民卫生出版社有限公司。 本内容由人民卫生出版社审定并提供,其观点并不反映优医迈或默沙东观点,此服务由优医迈与环球医学资讯授权共同提供。

如需转载,请前往用户反馈页面提交说明:https://www.uemeds.cn/personal/feedback

参考资料

来源:《老年科疑难病例解析》

作者:李小鹰 樊瑾

页码:63-67

出版:人民卫生出版社

(1)
下载
登录查看完整内容
热门推荐图标
热门推荐
二维码
关注优医迈微信
并绑定账号
即可获得100优点