26岁女性偶然自测血压升高最高180/115mmHg 罪魁祸首为…
2023-12-19
1040

26岁女性,2个多月前偶然自测血压升高,最高180/115mmHg,无头昏、头痛,伴疲倦、乏力,伴面部及双下肢水肿,小便中可见泡沫,无夜尿增多,无夜间阵发性呼吸困难,诊断为高血压病。为进一步查明高血压病因,前往医院就诊,罪魁祸首为……

 

 

患者女性,26岁。因发现血压升高2个月余就诊。2个多月前患者偶然自测血压升高,最高180/115mmHg,无头昏、头痛,无胸闷、胸痛,无心悸、气促,伴疲倦、乏力,伴面部及双下肢水肿,小便中可见泡沫,无夜尿增多,无夜间阵发性呼吸困难,无黑矇、晕厥,无恶心、呕吐等,遂于当地医院就诊。肾功能示:肌酐160.0μmol/L;尿常规示:尿蛋白定性(+++),红细胞12/HP。动态血压示:24小时平均血压146/105mmHg,白天平均血压158/112mmHg,夜间平均血压137/99mmHg;肝功能、血常规、肾上腺CT平扫未见明显异常。诊断为高血压病。予以马来酸依那普利、苯磺酸左氨氯地平等药物(具体不详)治疗后好转。患者规律服用马来酸依那普利(10mg/次,2次/d),苯磺酸左氨氯地平2.5mg/d,监测血压波动在105~121/85~92mmHg。

 

自发病以来,患者精神饮食睡眠可,大小便正常,体重无明显变化。

 

【既往史、个人史、家族史】

 

否认肝炎、结核等传染病史。否认外伤、手术、输血史。否认食物药物过敏史。无吸烟、饮酒史。父母健在,均无高血压。

 

初潮年龄:14岁。每次3~4天,末次月经2019年7月6日。

 

【体格检查】

 

T 36.3℃,P 63次/min,R 19次/min,BP 160/109mmHg。身高162cm,体重50kg,腰围73cm,臀围85cm,BMI 19.1kg/m2。神志清楚,慢性病容,发育正常,营养良好,皮肤巩膜无黄染,全身浅表淋巴结未扪及肿大。颈静脉正常。心界正常,律齐,各瓣膜区未闻及杂音。胸廓未见异常,双肺叩诊呈清音。双肺呼吸音清,未闻及干湿啰音。腹部外形正常,全腹软,无压痛及反跳痛,腹部未触及包块。肝脾肋下未触及。双肾未触及。双下肢无水肿。双侧乳房对称,乳晕存在,未见异常。大阴唇肥厚,阴毛、腋毛正常。

 

四肢血压:左上肢血压154/101mmHg,右上肢血压160/109mmHg,左下肢血压178/112mmHg,右下肢血压194/115mmHg。

 

【辅助检查】

 

肾功能示,肌酐160.0μmol/L;尿常规示,尿蛋白定性(+++),红细胞12/HP;动态血压示:24小时平均血压146/105mmHg,白天平均血压158/112mmHg,夜间平均血压137/99mmHg,最高血压173/117mmHg,最低血压119/92mmHg。肝功能、电解质、血常规、肾上腺CT平扫未见明显异常。

 

【初步诊断】

 

高血压3级。

 

【诊治经过】

 

1个月前患者为进一步查明高血压病因,前往医院就诊。遵医嘱停用马来酸依那普利、左氨氯地平。停药期间无特殊不适,监测血压波动在140/100mmHg左右。收入心脏内科后,监测血压,血压波动在132~156/92~110mmHg,为避免药物对检测结果的影响,暂予以特拉唑嗪(1mg/次,2次/d)控制血压。完善相关辅助检查,明确有无内分泌性高血压、肾性高血压等继发性高血压。

 

空腹血糖5.22mmol/L。甘油三酯0.63mmol/L,总胆固醇3.54mmol/L,低密度脂蛋白胆固醇1.68mmol/L,高密度脂蛋白胆固醇1.65mmol/L。肾功能:尿素7.40mmol/L、肌酐168.0μmol/L、估算肾小球滤过率47.27ml/(min·1.73m2)、尿酸420.0μmol/L。电解质:血钾3.92mmol/L。尿常规:尿蛋白定性(+++),红细胞10/HP。尿蛋白定量1.60g/24h。细胞免疫示:CD8细胞亚群16.80%。抗中性粒细胞胞质抗体(-)。体液免疫(-)。血常规、凝血功能及粪便常规正常。

 

卧立位试验:血浆肾素活性(卧位)4.66ng/(ml·h);血浆肾素活性(立位)>12ng/(ml·h);血管紧张素Ⅱ(卧位)64.26ng/L;血管紧张素Ⅱ(立位)305.14ng/L;醛固酮(卧位)33.53ng/dl;醛固酮(立位)18.75ng/dl;血浆醛固酮/肾素浓度比值(aldosterone to renin ratio,ARR)(卧位)7.20[(ng·dl-1):(ng·ml-1·h-1)]。

 

其他激素水平:去甲肾上腺素285ng/L,肾上腺素68ng/L,多巴胺(尿)158.27μg/24h尿,去甲肾上腺素(尿)30.26μg/24h尿,肾上腺素(尿)9.8μg/24h尿;促肾上腺皮质激素(ACTH)34.49ng/L;皮质醇(PTC,8:00)332.1nmol/L;皮质醇(PTC,16:00)119.3nmol/L;皮质醇(PTC,24:00)29.47nmol/L。甲状腺功能未见异常。

 

心电图:窦性心律,正常心电图。

 

超声心动图:LV 45mm,LA 27mm,IVS 8mm,LVPW 8mm,AAO 25mm,EF 74%;心脏各房室结构及各瓣膜未见异常。

 

动态血压示:全天平均血压133/92mmHg,白天平均血压136/95mmHg,夜间平均血压124/84mmHg。

 

双肾动脉彩超示(双肾、肾动脉):双肾实质回声稍增强。双侧肾动脉未见明显异常。单光子发射计算机断层成像(SPECT)肾动态显像示:右肾肾小球滤过率26.1ml/min,左肾肾小球滤过率24.3ml/min,双肾功能中度受损。

 

肾穿刺活检,光镜观察肾组织病理切片:

 

(1)肾小球:

总数7个,球性硬化1个。系膜:球性细胞、基质轻-中度增生。基膜节段空泡变性。毛细血管腔病变不明显。

 

(2)肾小管:

约2%肾小管萎缩;小管上皮细胞轻-中度变性;个别腔内见蛋白管型。

 

(3)肾间质:

约2%间质纤维化伴淋巴细胞、单核细胞、浆细胞浸润。

 

(4)血管病变不明显;免疫荧光染色:

IgA、λ,1个小球系膜区(+++);C3、γ,1个小球系膜区(++);C4、C1q,1个小球(-);IgG,仅见少许血管袢(-);病理诊断符合IgA肾病(Lee分级:3级)。

 

明确诊断后,调整降压药物为奥美沙坦20mg/d控制血压,监测血压在121~130/71~80mmHg。嘱患者低盐低脂优质蛋白饮食,适当运动,监测血压。定期复查肝肾功、血尿常规、电解质,门诊随访。

 

【修正诊断】

 

肾实质性高血压(IgA肾病)。

 

【讨论】

 

1.肾实质性高血压的特点是什么

 

肾性高血压包括肾实质性病变和肾动脉病变引起的血压升高。肾实质性高血压包括急慢性肾小球肾炎、糖尿病肾病、慢性肾盂肾炎、多囊肾和肾移植后等多种肾脏病变引起的高血压,是最常见的继发性高血压,终末期肾病患者80%~90%合并高血压。肾实质性高血压的发生主要是由于肾单位大量丢失,导致水钠潴留和细胞外容量增加,以及肾脏RAAS激活和排钠减少。高血压又进一步升高肾小球囊内压力,形成恶性循环,加重肾脏病变。临床上有时难以将肾实质性高血压和高血压肾病完全区别开来。一般而言,除恶性高血压,原发性高血压很少出现大量蛋白尿,一般为轻微到中度蛋白尿,血尿不明显,肾功能减退首先从肾小管浓缩功能开始,肾小球滤过功能仍可长期保持正常或增强,后期可有肾小球滤过率降低,血肌酐升高;肾实质性高血压往往在发现血压升高时已有蛋白尿、血尿和贫血、肾小球滤过功能减退、肌酐清除率下降,肾穿刺病理活检有助于确立诊断。

 

综上所述,患者为青年女性,存在高血压、血尿、蛋白尿和水肿,动态血压提示高血压诊断明确,肾实质性高血压可能性大,应建议肾穿刺病理活检以进一步明确。

 

2.肾实质性高血压和高血压肾病的病理特点

 

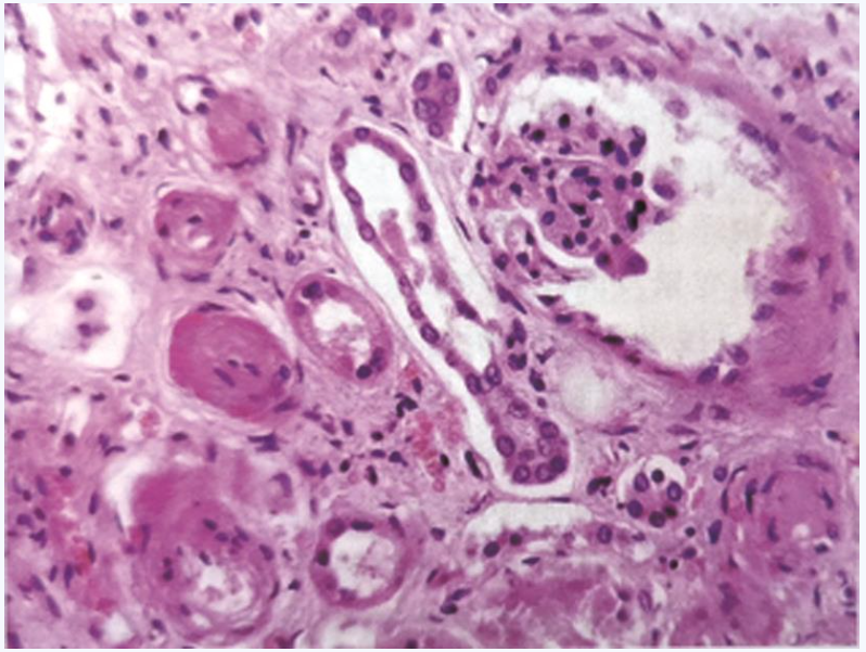
肾实质性高血压以慢性肾小球肾炎所致高血压为例:肉眼观,双肾体积缩小,表面呈弥漫性细颗粒状(图1),切面皮质变薄,皮髓质分界不清。肾盂周围脂肪组织增多。慢性肾炎的大体病变称为继发性颗粒性固缩肾。组织学改变,早期肾小球分别具有相应类型肾炎的改变。随病变进展,肾小球内过碘酸希夫(PAS)染色阳性的嗜酸性玻璃样物质增多,细胞减少,严重处毛细血管闭塞,肾小球发生玻璃样变和硬化(图2)。由于肾炎引起的高血压,肾内细小动脉发生玻璃样变和内膜增厚,管腔狭窄。由于部分肾小球玻璃样变和硬化,毛细血管球血流量减少,病变肾单位的其他部位也发生缺血性损伤。肾小管萎缩或消失,间质纤维化,伴有淋巴细胞及浆细胞浸润。间质纤维化使肾小球相互靠拢。不同肾单位的病变常有差异,病变轻的肾单位出现代偿性改变,肾小球体积增大,肾小管扩张,腔内可出现各种管型。


图1 

图1 继发性颗粒性固缩肾


图2 

图2 慢性肾小球肾炎组织学

 

高血压肾病:肉眼观,双侧肾脏对称性缩小,质地变硬,肾表面凹凸不平,呈细颗粒状,单侧肾可<100g(正常成人约为150g),切面肾皮质变薄(≤0.2cm,正常厚0.3~0.6cm)。皮髓质界限模糊,肾盂和肾周围组织增多,称为原发性颗粒性固缩肾(又称为细动脉性肾硬化,图3)。组织学改变,高血压时,由于入球动脉的玻璃样变性和肌性小动脉的硬化,管壁增厚,管腔狭窄,致病变区的肾小球缺血发生纤维化、硬化或玻璃样变性(图4),相应的肾小管因缺血而萎缩、消失,出现间质纤维组织增生和淋巴细胞浸润。病变相对较轻的肾小球代偿性肥大,相应的肾小管代偿性扩张。


图3 

图3 原发性颗粒性固缩肾


图4 

图4 原发性颗粒性固缩肾组织学

 

3.慢性肾脏病的定义和分期

 

慢性肾脏病(chronic kidney disease,CKD)是指各种原因引起的肾脏结构和功能障碍≥3个月,包括肾小球滤过率(glomerular filtration rate,GFR)正常和不正常的病理损伤、血液或者尿液成分异常,及影像学检查异常;或不明原因的GFR下降(<60ml/min)超过3个月。目前国际公认的CKD分期依据GFR,GFR≥90ml/(min·1.73m2)为CKD1期,60≤GFR<89ml/(min·1.73m2)为CKD2期,45≤GFR<59ml/(min·1.73m2)为CKD3a期,30≤GFR<44ml/(min·1.73m2)为CKD3b期,15≤GFR<29ml/(min·1.73m2)为CKD4期,GFR<15ml/(min·1.73m2)或透析为CKD5期。

 

4.慢性肾脏病引起高血压的机制

 

慢性肾脏病引起高血压的机制主要包括:①水、钠潴留:血容量增加引起容量依赖性高血压;②肾素分泌增多:肾实质缺血刺激肾素、血管紧张素分泌增加,小动脉收缩,外周阻力增加,引起肾素依赖性高血压;③肾实质损害后肾内降压物质分泌减少:肾内激肽释放酶-激肽系统生成减少,前列腺素等生成减少,也是肾性高血压的原因之一;④肾脏局部交感神经过度兴奋也可引起难治性高血压。

 

5.肾实质性高血压的降压治疗时机

 

《中国肾性高血压管理指南2016(简版)》指出,一旦高血压诊断确立(即血压>140/90mmHg),推荐CKD患者无论其是否合并糖尿病,应在改善生活方式的同时启动降压药物治疗。60~79岁老年人血压>150/90mmHg,应启动降压药物治疗;≥80岁高龄老人血压>150/90mmHg,应启动降压药物治疗。

 

6.肾实质性高血压的血压控制目标

 

CKD患者血压控制目标为<140/90mmHg,合并显性蛋白尿(即尿白蛋白排泄率>300mg/24h)时血压可控制在≤130/80mmHg。改善全球肾脏病预后组织(KDIGO)建议尿白蛋白排泄率>30mg/24h的慢性肾脏病患者血压控制在≤130/80mmHg。目前对于合并蛋白尿的慢性肾脏病患者严格控制血压的证据仍很有限。因此,临床上应在治疗过程中评估患者血压达标的获益和风险,并相应调整治疗目标。

 

在患者能耐受的情况下,推荐尽早血压达标,并坚持长期达标。评估血压是否达标的治疗时间为2~4周,达标则维持治疗;未达标需评估患者治疗依从性和可能影响血压控制的合并用药,并及时调整降压药方案。当使用降压药物治疗慢性肾脏病患者时,应定期评估和检测以预防体位性头晕和体位性低血压。

 

7.终末期肾病透析患者(CKD 5期)的血压测量和降压治疗目标

 

血液透析动静脉内瘘术后2周内,手术侧禁止测量血压。2周以后也尽量避免在内瘘侧测量血压。当血液透析患者双上肢均不能进行血压测定时,可以测定双下肢血压。对透析患者诊室血压进行评估时,每位患者必须分别记录至少6次透析前及透析后的血压(超过2周),取平均值作为诊室血压。目前缺少高质量的循证医学证据制定血液透析患者血压目标值。尽管《2005年美国肾脏病患者生存质量指导组织(KDOQI)指南》提出透析患者血压控制靶目标为透析前血压<140/90mmHg,透析后血压<130/80mmHg,但也指出部分数据来自非血液透析患者,参照总体人群血压设定目标值,并且证据多来自观察性研究,随机对照试验较少。近年临床研究结果显示,45岁以上透析患者,严格的血压控制(透析前<140/90mmHg,透析后<130/80mmHg)反而增加了患者的死亡风险。更多的观察性研究提示血液透析患者透析前收缩压130~160mmHg,患者死亡风险最低。

 

《中国高血压防治指南(2018年修订版)》指出,终末期肾病透析部分患者表现为难治性高血压,需要多种降压药联用。血液透析患者使用RAASI应监测血钾和肌酐水平。要避免在透析血容量骤减阶段使用降压药,以免发生严重的低血压。降压药物剂量需考虑到血流动力学变化以及透析对药物的清除情况而调整。透析前或诊室测量的血压并不能很好反映透析患者的平均血压,推荐患者家庭血压测量,透析患者血压变异不宜过大,透析后收缩压理想靶目标120~140mmHg。

 

8.慢性肾脏病患者的降压药物选择

 

我国非透析CKD患者高血压患病率为67.3%~71.2%,而透析患者中高血压患病率高达91.7%。针对CKD患者,ACEI/ARB、CCB、α受体阻滞剂、β受体阻滞剂、利尿剂都可以作为初始选择药物。

 

(1)ACEI/ARB不但具有降压作用,还能降低蛋白尿、延缓肾功能的减退,改善CKD患者肾脏的预后。初始降压治疗应包括一种ACEI或ARB,单独或联合其他降压药,《2017ACC/AHA高血压指南》则扩大了RAASI的适用人群,其中就包括CKD3期或以上的患者。《2018ESC/ESH动脉高血压管理指南(中文翻译版)》也强化了RAAS抑制剂的降压地位,强调使用时应密切监测血钾、血肌酐和GFR,但不建议两药联合应用。

 

(2)二氢吡啶类和非二氢吡啶类CCB都可以应用,其肾脏保护能力主要依赖其降压作用,二氢吡啶类CCB降压疗效强,主要由肝脏排泄,不为血液透析所清除,治疗肾性高血压没有绝对禁忌证,尤其适用于有明显肾功能异常、单纯收缩期高血压、低肾素活性或低交感活性的高血压以及合并动脉粥样硬化的高血压患者。GFR>30ml/(min·1.73m2)(CKD1~3期)患者,噻嗪类利尿剂有效;GFR<30ml/(min·1.73m2)(CKD4~5期)患者可用袢利尿剂。利尿剂应低剂量,利尿过快可导致血容量不足,出现低血压或GFR下降。醛固酮拮抗剂与ACEI或ARB联用可能加速肾功能恶化和发生高钾血症的风险。

 

(3)β受体阻滞剂可以对抗交感神经系统的过度激活而发挥降压作用,α、β受体阻滞剂具有较好的优势,发挥心肾保护作用,可应用于不同时期CKD患者的降压治疗,在临床上适用于伴冠心病、心功能不全、快速性心律失常、交感神经活性增高等。

 

(4)其他降压药,如α1受体阻滞剂、中枢α受体激动剂,均可酌情与其他降压药物联用。

 

【小结】

 

患者为26岁青年女性。发现血压升高2个多月,伴血尿、蛋白尿、水肿,无夜尿增多,肾功能轻度减退。其父母亲均无高血压。查体未见明显异常。不同医院动态血压监测结果均达到高血压诊断标准。肾脏彩超提示双肾实质回声稍增强。SPECT肾动态显像示:双肾功能(GFR)中度受损,卧立位肾素及醛固酮水平升高,血皮质醇水平、尿儿茶酚胺、肾脏及肾上腺增强CT、肾血管增强CT均无明显异常,考虑肾实质性高血压,肾脏穿刺活检提示IgA肾病。通过此病例,我们需要明确肾性高血压常伴血尿、蛋白尿和水肿等主要临床表现,应该掌握肾性高血压的定义、分类以及与原发性高血压肾病的区别,明确慢性肾脏病的分期、降压靶目标和降压药物选择,根据病情进行个体化用药。

 

(冯佳越 郑翼 唐万欣)

 

参考文献

 

1. 中国医师协会肾脏内科医师分会, 中国中西医结合学会肾脏疾病专业委员会. 中国肾性高血压管理指南2016 (简版)[J]. 中华医学杂志, 2017, 97 (20): 1547-1555.

2. Kidney Disease Outcomes Quality Initiative (KDOQI). KDOQI clinical practice guidelines on hypertension and antihypertensive agents in chronic kidney disease [J].Am J Kidney Dis, 2004, 43 (5Suppl 1): S1-S290.

3. 中国医师协会肾脏内科医师分会血液透析充分性协作组. 中国血液透析充分性临床实践指南 [J]. 中华医学杂志,2015, 95 (34): 2748-2753.

4.《中国高血压防治指南》修订委员会. 中国高血压防治指南2018年修订版 [J]. 心脑血管病防治, 2019, 19 (1): 1-44.

 

 

(环球医学编辑:常路)


免责声明

版权所有©人民卫生出版社有限公司。 本内容由人民卫生出版社审定并提供,其观点并不反映优医迈或默沙东观点,此服务由优医迈与环球医学资讯授权共同提供。

如需转载,请前往用户反馈页面提交说明:https://www.uemeds.cn/personal/feedback

参考资料

来源:《社区高血压病例精粹》

作者:陈晓平

页码:11

出版:人民卫生出版社

(4)
下载
登录查看完整内容
热门推荐图标
热门推荐
二维码
关注优医迈微信
并绑定账号
即可获得100优点