60岁男性,在戴有强烈油漆气味义齿约10天后出现咯血,一直未给予诊治。之后,自觉咯血无好转就诊于社区医院,行胸部CT示“双肺散在大小不等的薄壁空腔样病灶,周围可见磨玻璃渗出影”,后又于某三甲医院完善部分相关化验,但未明确病因,未给予治疗,为求进一步诊治入住笔者所在科室。该患者患有……
【病情介绍】
患者,男,60岁,汉族,退休职员。主因“咯血1个月余”于2014年10月28日入院。
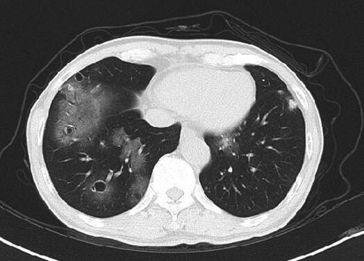
现病史:患者2014年9月在戴有强烈油漆气味义齿约10天后出现咯血,初始为痰中带少量鲜红色血液,2~3口/日,未给予重视,后痰中带血量逐渐增多至5~6口/日,且血量与痰量相当,偶感咽痒,无发热、牙周肿痛、乏力、盗汗,无胸痛、呼吸困难、喘息,偶有反酸,无恶心、呕吐、便血等,无皮疹、关节肿痛、肌痛、口眼干燥、反复发作口腔溃疡、光过敏等,一直未给予诊治。2014年10月25日觉咯血无好转就诊于社区医院,行胸部CT示“双肺散在大小不等的薄壁空腔样病灶,周围可见磨玻璃渗出影”(图1),后又于某三甲医院完善部分相关化验,但未明确病因,未给予治疗,10月28日为求进一步诊治入住我科。
图1 2014年10月25日胸部CT
双肺散在大小不等的薄壁空腔样病灶,周围可见磨玻璃渗出影
既往体健。无糖尿病、冠心病、高血压等慢性病史,无肝炎、结核等传染病史。生于并长期居住于太原,未到过疫区,居住环境良好,无长期职业粉尘、毒物、放射性物质接触史,无宠物饲养史,作息不规律,长熬夜,吸烟20余年,1包/日,无酗酒史。已婚,1子及配偶体健,家族史无特殊。
【诊治经过】
入院时生命体征平稳,体型偏瘦,余未见明显阳性体征。入院后积极完善血尿便常规、风湿免疫相关化验,如ANCA系列、补体等及痰培养、痰涂片找结核菌、痰涂片找真菌等,同时经验性给予头孢西丁联合左氧氟沙星抗感染治疗5天,患者咯血量无明显变化。期间化验回报:血细胞分析示血象正常,尿常规示潜血弱阳性,镜检红细胞数正常,ANCA、狼疮系列、补体系列均大致正常,两次痰涂片找真菌回报可见真菌孢子及菌丝,两次痰培养回报为白念珠菌,11月3日复查胸部CT(图2)示空洞病灶较前增多,空腔增大,遂调整治疗方案为头孢哌酮舒巴坦、替硝唑及卡泊芬净治疗2周,患者咯血量较前增多,约20~30ml/d,11月16日复查胸部CT(图3),双肺空腔病灶较前继续进展,11月18日行气管镜检查示左、右主支气管及其所属所见各分支支气管黏膜光滑,轻度充血水肿,各管腔内可见血性分泌物,充分吸引后可见右下基底各段支气管及左舌叶支气管管腔黏膜不断有新鲜血液溢出,以右下后基底段为主,管腔远端未见血液溢出,支气管刷检及灌洗液找结核菌均为阴性。结合患者病史、症状、体征及胸部影像学、气管镜下特点,双肺空洞病灶性质仍不明确,考虑到患者支气管管腔溢血较多,经皮肺穿刺活检出血风险大,建议其可考虑胸腔镜肺活检术,协助明确双肺病灶性质,患者本人表示拒绝。患者给予经验性抗细菌、抗真菌治疗后,双肺病灶仍有进展,提示治疗无效,停用所有抗生素,给予口服某中成药止血胶囊及更换义齿后,咯血次数逐渐减少至2~3口/日,为痰中带暗红色血块,并建议其于上级医院进一步诊治。11月26日就诊于北京某三甲医院,12月1日行胸部增强CT(图4)示双肺多发囊泡影,黏液腺癌?血管肉瘤?肺吸虫?并转入胸外科行胸腔镜下肺活检术,术中快速冰冻病理示恶性肿瘤。12月18日病理回报为肺低分化恶性肿瘤,倾向低分化癌,同时送检病理切片于外院会诊。12月26日两家医院病理会诊结果回报为低分化鳞癌。1月4日行PET-CT回报双肺内多发薄壁空洞,周围伴磨玻璃影,空洞壁代谢异常增高,右肺近肺门代谢增高结节,均考虑为恶性病变,余未见明显异常。
图2 2014年11月3日胸部CT
双肺空洞病灶较入院时略有进展
图3 试验性抗细菌、抗真菌治疗后胸部CT示双肺病灶继续进展
图4 12月1日复查胸部CT较前相比进展明显
【最后诊断】
右肺癌低分化鳞癌。
【治疗和转归】
患者未给予继续治疗,目前一般情况差,消耗明显,夜间不能平卧,仍咯血,每日20余毫升,自诉可见肉眼血尿。
【重要提示】
1. 中老年男性,有长期吸烟史,发病前有小诊所戴义齿病史。
2. 主要表现为咯血,余无特殊不适。
3. 胸部CT主要表现为双肺多发薄壁空腔,周围可见渗出影;多次痰找结核菌阴性,痰找真菌可见真菌孢子,痰培养可见白念珠菌;支气管镜下可见支气管管腔黏膜溢血。
4. 肿瘤标志物、痰找癌细胞、支气管刷检找癌细胞均为阴性。
5. 抗细菌、抗真菌治疗无效。
【讨论】
空洞病灶是肺部疾病常见的影像学表现。很多种疾病在发展过程中均可形成空洞。在病理学上空洞是病变坏死后其液化的成分经支气管排出并引入空气而形成。不同疾病空洞的病因及形态各有特点。充分认识空洞的影像学特点对于疾病的诊断十分重要。空洞病灶根据其数目可分为单发和多发空洞,本例患者主要表现为咯血及肺部多发空腔病灶,需与以下多种疾病进行鉴别。
1.肺部真菌感染
常见曲霉菌、念珠菌感染,好发于免疫抑制宿主,如长时间使用广谱抗生素、糖皮质激素、细胞毒药物及免疫抑制剂等药物,表现为发热、干咳或棕黄色痰、胸痛、咯血、喘息等症状,X线可表现出以胸膜为基底的楔形影、结节或团块影,内有空洞。胸部CT示空洞特点主要为类圆形,两上肺多见,空洞壁厚薄不均或者为均匀薄壁空洞,空洞边缘清楚,内壁光滑,空洞内可有球形结节随体位改变。该患者有咯血,胸部CT示双肺多发散在大小不等薄壁空洞,周围可见磨玻璃渗出影,真菌感染不除外。入院后多次送检痰培养为白念珠菌,痰涂片找真菌可见真菌孢子及菌丝。但患者仅表现为咯血,免疫功能大致正常,无真菌感染高危因素,且深部真菌感染症状常常较为凶险,经验性抗真菌治疗后双肺病灶仍有进展,真菌感染可以除外。
2.肉芽肿性血管炎
该病早期病变可局限于上呼吸道某一部位,表现为慢性鼻炎、鼻窦炎,后期出现“鞍鼻”,气管受累可导致气管狭窄,累及肺部表现为咳嗽、咯血、胸痛和呼吸困难,X线检查可见中下肺野结节和浸润,有的呈空洞,亦可见胸腔积液;累及肾脏可表现为血尿、蛋白尿、细胞管型。胸部CT一般表现为类圆形空洞,分布无明显特征性,一般厚壁空洞多见,空洞边缘光滑或可稍模糊,内可形成气液平。该患者咯血、尿潜血弱阳性,既往长期鼻炎病史,胸部CT示双肺多发散在大小不等薄壁空洞,周围可见磨玻璃渗出影,肉芽肿性多血管炎不除外。需进一步行ANA、抗-ENAs、ANCA系列化验,必要时局部组织活检,明确诊断。患者院外尿液分析曾提示潜血(+),尿镜检红细胞增多,入院后复查尿常规基本正常,两次行风湿免疫系统相关化验提示均为阴性,鼻窦CT示双侧上颌窦轻度炎症;右侧筛窦骨瘤;鼻中隔右偏,双侧下鼻甲肥大。肉芽肿性血管炎诊断依据不足。
3.肺结核患者
无发热、乏力、盗汗等结核常见症状,多次痰涂片、支气管灌洗液、支气管刷检等找结核菌均为阴性,且结核气管镜下支气管黏膜溢血较为少见,结核不予考虑。
4.肺癌
多表现为咳嗽、咯血、气短,伴发热、乏力、消瘦,近半数患者可有胸痛,该患者仅表现为咯血,无其他全身伴随症状,考虑到肿瘤相关性疾病具有隐匿性及症状非特异性,肺癌不除外。入院后送检肿瘤标志物水平基本正常,多次痰找癌细胞均未见明确的肿瘤细胞,气管镜检查镜下可见右下基底各段支气管及左舌叶支气管管腔黏膜不断有新鲜血液溢出,支气管刷检及灌洗液找癌细胞亦未找到明确的肿瘤细胞。某些胆道肿瘤可转移至肺部,表现为多发空洞病灶,该患者虽无胆道系统症状,但此情况仍不能除外,进一步完善MRCP,回报胆道未见明显梗阻征象,胆道系统肿瘤肺部转移可以除外。行胸腔镜肺活检明确诊断后,进一步行PET-CT检查,其余系统未见明显原发灶或转移灶,考虑为肺部原发病灶肺内转移。
(赵丽芬 李萍 许建英)
参考文献
刘士远,陈起航,吴宁. 实用胸部影像诊断学. 北京:人民军医出版社,2012:414-415.
(环球医学编辑:余霞霞)
免责声明
版权所有©人民卫生出版社有限公司。 本内容由人民卫生出版社审定并提供,其观点并不反映优医迈或默沙东观点,此服务由优医迈与环球医学资讯授权共同提供。
如需转载,请前往用户反馈页面提交说明:https://www.uemeds.cn/personal/feedback
来源:《呼吸疑难少见病例解析》
作者:林江涛
页码:98-101
出版:人民卫生出版社
