患者,男性,36岁,阴茎、包皮反复发作小水疱半年,尿痛、尿道排稀薄分泌物3周,皮疹复发、伴轻度瘙痒和疼痛1周。水疱液单纯疱疹病毒(HSV)-1和HSV-2均阳性,尿道分泌物培养淋病奈瑟菌、衣原体均阴性,解脉脉原体阳性。快速血浆反应素试验(RPR)、梅毒螺旋体颗粒凝集试验(TPPA)梅毒螺旋体抗体酶联免疫吸附试验(TP-E)均阴性。明胶颗粒凝集法(PA)及酶联免疫吸附试验(ELISA)初筛HIV-1抗体阳性,蛋白印迹示gp160、gp120、p66、p51、gp41、p31、p24呈阳性带。组织病理检查(耳后皮疹):表皮轻度角化不全,部分棘层肥厚,表皮突增宽,棘细胞间水肿,炎性细胞侵入,真皮浅层血管内皮肿胀,周围有较多淋巴细胞、中性粒细胞、织细胞及嗜酸性粒细胞浸润。诊断:多形性日光疹表现的HIV感染;生殖器疱疹;非淋菌性尿道炎。
1.临床资料
患者,男性,36岁,阴茎、包皮反复发作小水疱半年,尿痛、尿道排稀薄分泌物3周,皮疹复发、伴轻度瘙痒和疼痛1周。于2003年3月就诊于我科。患者2年前头面、颈部日晒后起红斑,伴瘙痒,时轻时重,曾就诊于多家医院,诊断为“日光性皮炎”,“接触性皮炎”,“湿疹”等。给予对症治疗后症状略有缓解,但皮疹一直不消退,也不因季节变化呈进行性发展。患者长年在外地打工,有过多次非婚性生活史,否认吸毒史。
体检:
发育正常,营养中等,双侧腹股沟可触及2~3枚黄豆大淋巴结,质软、活动,不与表皮粘连。系统检查未见异常。
皮肤科检查:
头面、颈部散在浸润性红斑、结节,部分融合成片,表面肥厚,周边散在红色丘疹,多数皮疹因搔抓表皮剥脱(图1)。阴茎、包皮可见陈旧性小水疱、糜烂面及色素减退斑。尿道口红,有白色稀薄黏液。
图1 面颈部皮损:面部浸润性红斑、丘疹、结节,表皮剥脱
实验室检查:
水疱液单纯疱疹病毒HSV-1和HSV-2均阳性,尿道分泌物培养淋病奈瑟菌、衣原体均阴性,解脉脉原体阳性。快速血浆反应素试验(RPR)、梅毒螺旋体颗粒凝集试验(TPPA)梅毒螺旋体抗体酶联免疫吸附试验(TP-E)均阴性。明胶颗粒凝集法(PA)及酶联免疫吸附试验(ELISA)初筛HIV-1抗体阳性,蛋白印迹示gp160、gp120、p66、p51、gp41、p31、p24呈阳性带。
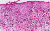
组织病理检查(耳后皮疹):
表皮灶性角化不全,部分棘层肥厚,表皮突增宽,棘细胞间水肿,炎性细胞侵入,真皮浅层血管内皮肿胀,周围有较多淋巴细胞、中性粒细胞、织细胞及嗜酸性粒细胞浸润(图2,图3)。
图2 患者皮损组织病理像:表皮轻度角化不全,棘层肥厚,真皮血管周围较多炎性细胞浸润(HE染色×40)
图3 表皮灶性角化不全,部分棘层肥厚,表皮突增宽,棘细胞间水肿,炎性细胞侵入,真皮浅层血管内皮肿胀,周围有较多淋巴细胞、中性粒细胞、组织细胞及嗜酸性粒细胞浸润(HE染色×100)
诊断
多形性日光疹表现的HIV感染;生殖器疱疹;非淋菌性尿道炎。
2.讨论
人体感染HIV后导致免疫功能缺陷,临床上可出现相关的皮肤豁膜病变。早期HIV感染出现的皮肤黏膜症状往往被忽略。HIV感染患者伴随的皮肤损害多种多样,有的以全身皮肤瘙痒、皮疹为主,有的以带状疱疹为首发症状,有的为银屑病样表现,还有的表现为光线性皮炎。HIV感染并多形性日光疹表现的报道少见。本例患者为男性,2年前因日晒后出现皮疹,虽发生于暴露部位,但手、足背无皮疹,损害为多形性,伴瘙痒。皮疹的轻重与季节变化无关,随病程延长呈进行性加重。该例的临床表现与一般多形性日光疹不同之处为:后者多发于女性的暴露部位,如面部、手、足背等处,皮疹表现虽呈多形性,但常以某一类型为主,自觉灼热、瘙痒。皮肤损害与季节有明显关系,随季节变化有自然痊愈倾向。因此我们认为该例患者的皮肤损害与HIV感染有关。
(李维云)
点评
1.报道了多形性日光疹表现的人类免疫缺陷病毒感染病例,国内外相关报道少见。皮疹损害为面颈部散在浸润性红斑、丘疹、结节,部分融合成片。多数皮疹因搔抓表皮剥脱。
2.患者有多次不安全性生活史,同时有生殖器疱疹和非淋菌性尿道炎。
3.提示临床医生对于迁延不愈,不独具特征的皮疹,要警惕感染HIV的可能。本例患者于日晒后出现皮疹,发于暴露部位(面、颈部),但手、足背无皮疹。皮疹呈多形性,不因季节变化而呈进行性发展。结合病史和实验室检查确立诊断。
4.本例患者是HIV的免疫功能缺陷诱发皮肤损害,还是皮肤病变某一免疫环节有促发HIV进一步发展的危险因子,则有待进一步研究。
参考文献
[1]李森真,丁让览.以皮疹为主诉的HIV感染一例报道[J].中国皮肤性病学杂志,1998,12(4):233.
[2]纳猛,杨曹明,李学英.以带状疱疹为首发体征的艾滋病三例报道[J].中国性病艾滋病防治,2000,6(1):32.
[3]何玉清,张锡宝.有银屑病表现的艾滋病1例[J].临床皮肤科杂志,2002,31(9):594-595.
[4]Pappert A,Grossman M,Deleo V.Photosensitivity as the presenting illness in four patients with human immunodeficiency viral infection[J].Arch Dermatol,1994,130(5):618-623.
(环球医学编辑:常路)
免责声明
版权所有©人民卫生出版社有限公司。 本内容由人民卫生出版社审定并提供,其观点并不反映优医迈或默沙东观点,此服务由优医迈与环球医学资讯授权共同提供。
如需转载,请前往用户反馈页面提交说明:https://www.uemeds.cn/personal/feedback
来源:《皮肤科疑难病例解析》
作者:张理涛 张峻岭
页码:30-32
出版:人民卫生出版社
