20岁男高中生,急性起病,受凉后出现寒战、发热,体温最高达41℃,伴有咳嗽、左前侧胸钝痛,活动时感气短。经治疗好转之后,再次出现咯血,怎么了?该如何治疗?
患者男性,20岁,于2013年2月15日外院住院,2013年3月14日转入我院。
一、主诉
发热、胸痛、气短3天(备注:本病例描述从首次外院住院开始)。
二、病史询问
患者为高中学生,体育特长生。既往体健,无慢性咳嗽、喘息病史,无外伤、手术、长时间卧床史。急性起病,受凉后出现寒战、发热,体温最高达41℃,伴有咳嗽、左前侧胸钝痛,活动时感气短,无喘息,无咯血。2013年2月15日于外院住院。
评价:这是初次病史采集,所获得的信息是一个青壮年,着凉后急性起病,高热、咳嗽,出于经验性思维很容易考虑到肺部感染性疾病,因此忽视了气短的存在,没有对“气短”进行详细询问,也把胸痛当成了咳嗽的并发症或反应性胸膜炎而没放在心上。外院初诊医师病史采集的不全面使诊断迷失了正确方向。
三、体格检查
外院入院查体:体温38.6℃,心率94次/分,呼吸20次/分,血压130/80mmHg。神志清楚,问答合理,口唇无发绀,双肺呼吸音粗,未闻及干湿啰音,心率94次/分,律齐,各瓣膜听诊区未闻及杂音,腹平软,无压痛反跳痛及肌紧张,肝脾肋下未触及,肝肾区无叩痛,双下肢无水肿。
四、实验室和影像学检查
1.血常规:
白细胞计数10.35×109/L,中性粒细胞百分比75.14%,血小板计数361×109/L。
2.心电图:
正常;心脏彩超:主动脉瓣及三尖瓣轻度反流。
3.胸部CT:
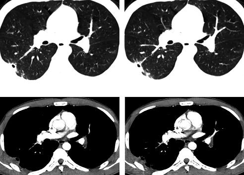
右肺下叶外后基底段散在斑片及片状渗出影,部分病灶呈楔形,尖端指向肺门,右下叶后基底段近脊柱旁片状阴影内见密度减低区,病灶与胸膜粘连(图1)。

图1
评价:一个年青体壮、无肺部基础疾病的患者,胸部CT提示右肺下叶散在斑片影就会导致气短?患者无喘息,双肺无干湿啰音,无小气道疾病依据,影像学改变与临床症状之间的“不匹配”没有引起医生的高度重视;对于胸痛伴活动后气短的患者未行血气分析和D-dimer化验等进行常规鉴别诊断分析,导致临床思路偏离了正确方向。
五、诊治方案及理由
【诊断】
根据患者发热、咳嗽症状及胸部CT渗出影,诊断为社区获得性肺炎(CAP)。
【方案】
【理由】
依据我国的CAP防治指南,年轻、无基础疾病的CAP最常见的致病菌为肺炎链球菌,其次为支原体,由于支原体肺炎主要症状为刺激性干咳,常伴有明显的肺外表现,影像学以间质性损害为主,与该患者临床症状不符,所以选择二代头孢单药治疗CAP是合理的。头孢呋辛1.5g,每12小时1次,静脉滴注。
评价:CAP的诊断似乎是一件很容易的事,只要有发热、呼吸道的症状、肺部的体征、白细胞的改变四项中的任何一项加上胸部X线上的斑片影诊断就成立了,但千万别忘了还要除外肺结核、肺部肿瘤、肺间质性疾病、肺水肿、肺不张、肺栓塞、肺嗜酸性粒细胞浸润症及肺血管炎等,因为这些疾病同样可以出现肺部阴影,同样可以导致呼吸道的症状甚至发热、白细胞升高,那么如何除外呢?显然我们不能针对上述每一个疾病都做相关检查,鉴别诊断不能千篇一律,一定要结合具体病例,从临床资料中找到疑点来鉴别,比如该患者有胸痛和气短,从而想到和肺栓塞相鉴别。可惜由于医生对CAP诊断“充满自信”,没有按照指南的要求认真做鉴别诊断。
六、治疗效果及临床分析
【治疗效果】
4天后热退,复查血常规白细胞计数及中性粒细胞百分比均恢复正常,治疗似乎有效,但此时患者出现咳铁锈色痰,偶有新鲜血痰,2013年2月27日复查胸部CT示右下叶后基底段原斑片影吸收,但背段有新发小片状阴影,带有小空洞,外基底段病灶也出现多发小空洞(图2),此时本该引起警觉却被“体温下来是硬道理”给冲昏了头脑,关键症状咯血也想当然的用肺炎解释了,治疗上联合左氧氟沙星氯化钠静脉滴注以加强抗感染治疗,2013年3月5日复查胸部CT(图3)可见右肺下叶背段病灶较前缩小,而外基底段斑片状渗出影较前明显吸收,更让医生坚定了肺炎的诊断。但此时的病人仍有气短(仅活动时)和轻度胸痛,咯血有加重倾向,最多一次量约5ml,呈鲜红色,这时医生感到困惑了。

图2

图3
【临床分析】
抗感染治疗后体温下降,胸部影像学较前明显吸收,肺炎的诊断似乎是明确的,但呼吸困难、胸痛和咯血为什么仍不见缓解?作为呼吸科医生看见此三联征很自然会想到肺栓塞,但患者是体育特长生,每天都锻炼,而且无外伤、手术、长期卧床等静脉血栓易患因素,双下肢无水肿,所以还是排除了肺栓塞。患者为进一步诊治来我院。
评价:体温恢复正常、胸部影像学吸收好转,从常理讲诊断和治疗都应该不会有问题,但临床上没有绝对的事,临床工作中不能放过任何一个细节和疑点,细节决定成败。
七、再问病史和检查
转入我院后详细询问病史得知:患者为高三学生,活动时间很少,虽坚持体育锻炼,但每天仍久坐10小时以上,且饮水少,经过“深挖”得知,本次发病前1个月患者曾有左下肢肿胀,自行好转,未诊治,之后一直有活动时气短,间断胸痛。因为于当地医院住院时的突出症状是寒战和高热,诊断为肺部感染,所以未问及此事。入院查体:体温36.6℃,心率74次/分,呼吸22次/分,血压140/80mmHg。神志清楚,问答合理,口唇无发绀,双肺呼吸音粗,未闻及干湿性啰音,心率74次/分,律齐,P2亢进,各瓣膜听诊区未闻及杂音,双下肢周径:髌骨上15cm:左46cm、右46cm;髌骨下10cm:左34cm、右33cm。至此真相大白,结合病史高度怀疑静脉血栓栓塞症。急查双下肢血管超声示:左侧腘静脉血栓形成;2013年3月14日CT肺动脉造影(CTPA)示:双侧肺动脉内多发充盈缺损影,以双侧肺门区为主(图4)。血D-二聚体3290μg/L。故患者明确诊断为静脉血栓栓塞症、肺血栓栓塞症、左侧腘静脉血栓形成、右下肺梗死合并感染。

图4
评价:客观地讲,我们在临床工作中习惯于用“一元论”来解释病情,这在长期的医疗实践中被验证是睿智的。该患者肺炎的诊断是成立的,因为除了右下肺的空洞还有其他肺叶的斑片影,如果撇开实际从理论上讲肺炎本身可以出现胸痛、呼吸困难和咯血,尤其是这三个症状均不严重,并先后出现,故很容易被忽视。但但“一元论”来解释病情时一定要具体病情具体分析,不能仅仅停留在理论层面。显而易见,该患者气短与肺炎的面积不匹配,右侧病变与左侧胸痛不匹配,肺炎吸收期仍大量咯新鲜血也不匹配,外院首次体格检查漏掉了重要体征(P2亢进和左下肢增粗),从而导致误诊。
八、调整治疗方案及疗效
【抗凝】
予低分子肝素钙0.4ml,每日2次,皮下注射;同时予华法林5mg,每日1次,口服,监测凝血象及血小板,注意有无出血倾向,待INR达标24小时后停低分子肝素钙。
【结果】
病情明显好转,肺栓塞三联征基本消失,2013年3月26日复查CTPA+双下肢CTV示:右肺中下叶肺动脉分支、左肺下叶肺动脉分支可见充盈缺损影,肺动脉的栓子负荷较前明显减少,双下肢静脉未见明显异常充盈缺损影,未见异常狭窄及扩张。右肺可见结节影、团片影,较前有所吸收好转(图5)。化验结果显示PT 31.7秒(9~13秒)、INR 2.65、D-二聚体500μg/L,提示抗凝有效并达标,建议患者继续口服华法林抗凝治疗。至此故事似乎该画上一个圆满的句号了,但临床实践总是没有想象中那么顺利。

图5
九、再起波折
出院后患者规律口服华法林(双日2.5mg/d、单日1.25mg/d),于出院后第4天,再次发生咯血,为鲜红色,血量较病初增多,24小时可达50ml,并再次出现气短,当地医院给予对症处理(具体不详)并停用华法林,3天后患者因仍有少量咯血再次入我院。行胸部CT(2013年4月5日)显示双下肺新发磨玻璃样渗出影,将原有病灶掩盖,考虑为肺泡积血,纵隔窗显示右下肺空洞病灶基本同前(图6)。

图6
再次入院后的进一步处理:因患者咯血仍未停止,故继续停用华法林口服,观察咯血的颜色及量的变化以及气短情况,并复查血常规、血浆凝血象、D-二聚体等。
再次咯血的原因分析如下:
1.肺梗死致咯血:
患者肺栓塞诊断明确,右下叶有“肺梗死”灶,梗死灶的空洞仍未完全愈合,故首先考虑为肺梗死导致咯血可能性大。
2.支气管扩张合并咯血:
患者1个半月前有急性肺部感染病史,病初影像学提示右下肺片状渗出影,现复查胸部CT右下叶病灶逐渐挛缩,似陈旧病灶,其内可见条索影,但影像学未见扩张的支气管影,因此支气管扩张诊断依据不足。
3.血管炎、肉芽肿性疾病所致咯血:
青年男性,20岁,活动后气短3个月,伴有间断咯血,病初曾有发热,影像学表现多发、多形态的斑片影伴空洞形成,明确诊断肺栓塞并规范有效抗凝治疗仍反复咯血,需考虑血管炎、肉芽肿性疾病(此类疾病可导致血管内皮损伤致血栓形成)等结缔组织病可能。为寻找该青年患者血栓疾病原因,患者首次转入我院时即完善免疫指标相关检查,结果提示均阴性;第二次入院复查免疫指标,结果也提示阴性。故目前此类疾病诊断依据不足。
4.特殊病原菌感染引起咯血:
青年男性患者,病程初期有感染症状,右肺下叶曾出现斑片影伴空洞形成,部分病灶沿支气管走行分布,应注意有无曲霉菌及结核菌感染。但患者未经抗结核和抗真菌药物治疗体温恢复正常,右下叶后基底段病变完全吸收,右下叶背段病变缩小,多次查痰结核菌及PCR、痰真菌涂片和培养均为阴性,结合临床,不支持上述特殊病原菌感染的诊断。
服用华法林过程中出现咯血再发,需警惕华法林药物副作用导致咯血。理论上,口服维生素K拮抗剂过程中,即使PT和INR维持在有效抗凝范围(PT延长至正常值的1.5~2.5倍,INR为2.0~3.0),也可出现出血并发症,即出血并发症的发生与PT和INR值并不呈一一对应关系。追述病史:患者出现第二次咯血后曾在当地医院急查凝血象提示APTT延长至80秒;次日(2013年4月3日)在我院急查凝血象示APTT下降至41秒,INR 2.2;2013年4月5日复查APTT为35.3秒、PT 20.10秒、Fib 2.14g/L、INR 1.78,凝血象逐渐恢复正常,但仍有咯血。
十、进一步治疗和结局
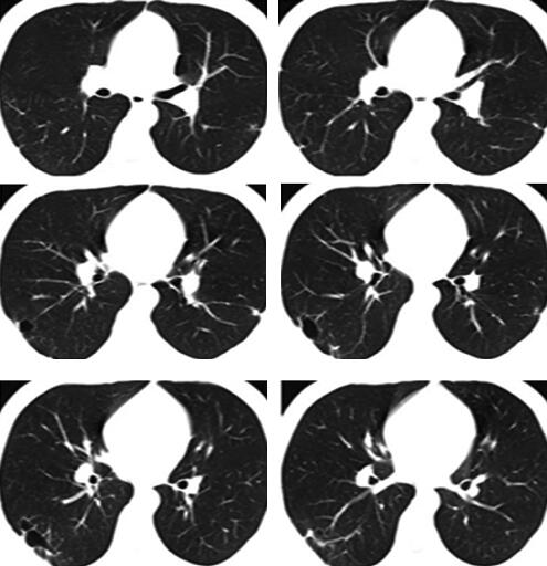
停用华法林观察1周,咯血和气短症状逐渐缓解,2013年4月14日复查胸部CT与2013年4月5日相比较,新发的磨玻璃影全部吸收,进一步证实为肺泡积血导致;而左肺下叶沿支气管走行斑片影、粟粒影与2013年4月5日比较明显吸收,原右下叶空洞较前进一步缩小(图7)。结合患者临床表现和影像学特征,考虑咯血原因为华法林药物副作用和(或)肺栓塞导致肺梗死所致,故改为低分子肝素皮下注射抗凝治疗。后咯血逐渐减少,出院后继续规律低分子肝素治疗。2013年5月22日患者门诊随访,无咯血,无气短,无胸痛,无发热,复查胸部CT示右下肺空洞基本吸收,遗留两个薄壁的小空腔及少许条索影(图8)。考虑患者为青年学生,久坐习惯可去除,规范低分子肝素皮下注射抗凝治疗总疗程3个月后停止抗凝。2013年10月16日复查CTPA提示未见肺动脉充盈缺损。


图7

图8
评价:贯穿于整个病程最突出的、也是最让医生感到困惑的是反复咯血,最让医生感到不解的是右下叶的肺梗死空洞,而咯血的主要原因其实就是这个空洞,对于肺梗死的影像学认识不足(将肺梗死误认为肺炎)是导致该患者延误诊治的主要原因之一。典型的肺梗死好发于下叶基底段,右侧多于左侧,早期表现为肺周边实变影,边界模糊,易误诊为肺炎的实变,但二者是有区别的,前者呈楔形,尖端指向肺门,无支气管充气征,而后者呈片状,含有支气管充气征,前者吸收时呈“溶化征”,自周边逐渐吸收,而后者的吸收是“遍地开花”式的,因此肺梗死的影像学变化明显慢于肺炎,典型的肺梗死纵隔窗显示病灶呈丝瓜瓤样改变,空洞型的肺梗死临床上确实少见,而在规律抗凝、血栓吸收好转过程中,由于肺梗死导致反复咯血就更为少见了。另外,该患者反复的咯血和肺空洞,结合病初发热病史应注意与肺梗死合并化脓菌感染相鉴别,化脓菌感染形成的空洞多有液平,临床上的突出表现为反复高热、咳大量脓臭痰,该患者发热时间短,无咳痰,感染中毒症状轻微,不支持化脓菌感染。
综上所述,本病例误诊误治的关键点是:①病史采集和临床查体不仔细;②用“一元论”思维方式勉强解释所有病情;③对空洞型肺梗死的临床认识不足。
小贴士
以咯血为临床表现的肺血栓栓塞症
1.发生率约1/3。
2.主要原因:①肺梗死出血;②肺组织坏死后支气管动脉出血。
3.常见类型:非大面积肺栓塞(外周亚段肺动脉栓塞)。
4.治疗:①多数患者血流动力学稳定,首选抗凝治疗;②少数血流动力学不稳定者,可予溶栓治疗;③根据临床情况,对症治疗。
5.预后:规范治疗后咯血量通常逐渐减少,预后可。
大连医科大学附属第一医院 王希明 季颖群
(环球医学编辑:余霞霞)
免责声明
版权所有©人民卫生出版社有限公司。 本内容由人民卫生出版社审定并提供,其观点并不反映优医迈或默沙东观点,此服务由优医迈与环球医学资讯授权共同提供。
如需转载,请前往用户反馈页面提交说明:https://www.uemeds.cn/personal/feedback
来源:《防范与走出常见诊疗误区:呼吸疾病临床病例精粹》
作者:康健
页码:17-26
出版:人民卫生出版社
Copyright © 2025 Merck & Co., Inc., Rahway, NJ, USA and its affiliates. All rights reserved.