这例治疗难度大的上段食管癌 二次多学科讨论终于获得良好疗效
2021-08-13
938

51岁男性,4月余前出现进硬食时不畅,无胸痛、胸闷、腹胀、腹泻。经过相关检查,确诊食管上段鳞状细胞癌,如何制定下一步诊疗计划?
 
(1)病情介绍:
 
基本信息:男,51岁。
 
主诉:确诊食管鳞癌2月余。
 
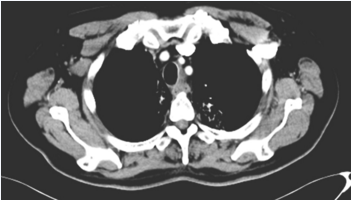
现病史:4月余前出现进硬食时不畅,无胸痛、胸闷、腹胀、腹泻。至当地医院行DR示:考虑食管上段外压性改变。CT示:上纵隔食管左旁囊性占位,彩超示甲状腺未见明显异常。后就诊于郑大一附院,行胸部CT示:考虑食管占位性病变:食管癌?间质瘤?(图1)胃镜下病理回示:(食管)低分化鳞状细胞癌(图2-A、图2-B)。免疫组化:CKH(+),CKL(+),CK7(−),CK5/6(+),P40(+),P63(+),Ki-67(约80%+),CD56(−)。未治疗。后至林州市中医院就诊给予放疗35次(剂量不详),期间给予“紫杉醇+奈达铂”(剂量不详)治疗3周期。


图1 
图1


图2-A 
图2-A


图2-B 
图2-B
 
特殊合并症与家族史:有吸烟史(30余年,约20根/天)。
 
体检阳性体征与重要阴性体征:无。
 
重要辅助检查与影像检查结果:
 
2014-03-29 CT:胸段食管癌,较2013-12-19片对比肿块明显缩小。双肺炎症。腹部CT增强未见明显异常(图3)。

图3 
图3
 
诊断:食管上段鳞状细胞癌。
 
(2)首次MDT讨论:
 
讨论目的:是否能进行手术,明确下一步诊疗计划。
 
讨论时间:2014-04-07
 
参与科室:肿瘤内科,胸外科,放射科。
 
讨论意见:
 
放射科:食管癌的CT表现:食管壁不均匀环形增厚。食管管腔局限性狭变形,狭窄段以上的管腔多有扩张窄。隆起改变。经阅片,食管上段可见软组织肿块影,增强后轻度强化,相应管腔变窄,气管轻度受压,符合食管癌CT影像学诊断,对比放化疗前CT片,可见肿块明显缩小。
 
胸外科:上段食管癌相对发病率低,胸部上段食管癌解剖位置与颈段食管接近,手术难度大,并发症多,术后生活质量差,带来的生存期延长有限,该患者在放化疗综合治疗后,疗效影像学评价为PR,且手术愿望不大,建议继续行内科治疗。
 
肿瘤内科:同步放化疗方案作为无法手术食管癌的标准治疗措施,可以明显提高局部控制率及生存率。针对在放化疗中获益患者的后续治疗,晚期食管癌患者口服氟尿嘧啶类化疗药物替吉奥可获得更高的反应率,并可延长PFS,且不良反应可以耐受,建议患者口服替吉奥。
 
讨论结论:

 
该患者病理诊断明确,在同步放化疗方案中获益。使用高效、低毒的单药作为实体瘤的维持治疗方案可能带来延缓疾病进展并提高生存率的获益。上段食管癌手术难度高,家属要求内科治疗,建议口服S-1维持治疗。
 
执行情况及治疗结局:
 
2014-04-16给予替吉奥40mg bid口服化疗,EGFR检测示:(3+)。
 
(3)二次MDT讨论:
 
讨论时间:2014-04-30
 
参与科室:肿瘤内科,放射科,病理科。
 
讨论意见:
 
放射科:经阅片,食管上段可见软组织肿块影,管腔变窄,较替吉奥维持治疗前CT变化不大,疗效评价为SD(图4)。

图4 
图4
 
病理科:EGFR参与肿瘤细胞的增殖、侵袭和转移等生物学行为。小分子TKI通过作用于EGFR-TKI区抑制其酪氨酸激酶活性,从而发挥抗肿瘤的作用。该患者检测EGFR强阳性表达,提示小分子TKI类药物可能有效。
 
肿瘤内科:埃克替尼是我国国产的小分子TKI,主要用于晚期肺癌。2015年ASCO壁报上报道埃克替尼二线治疗EGFR过表达或扩增的晚期食管癌Ⅱ期单臂试点试验,共纳入38例患者,治疗反应可评价33例,ORR为15.2%,展现出良好的抗肿瘤活性和安全性,不良反应大多轻微可逆。该患者EGFR强阳性表达,建议入组埃克替尼食管癌临床试验。
 
讨论结论:
 
该患者替吉奥维持治疗疗效评价为SD,EGFR强阳性表达,建议患者入组食管癌临床试验。
 
执行情况及治疗结局:
 
2014-04-30开始行盐酸埃克替尼250mg tid口服治疗至今。现患者疗效评价为SD(图5)。

图5 
图5
 
(4)病例点评:
 
影像科(山东省医学影像研究所,CT诊断研究室,徐卓东):
 
该例患者经MDT讨论,影像、病理诊断明确,外科手术难度大,并发症多等不利因素,特别是病理科提供了该患者EGFR检测强阳性表达,结合患者家属意愿制定了较合理的肿瘤内科放化疗的综合治疗计划,使患者得到了较好的近期治疗结果。
 
图片建议:
 
2014-03-29(图3):较治疗前(图1)病变明显缩小,与气管间脂肪间隙明显清晰。但2014-04-30(图4)显示:因病变与气管间脂肪间隙模糊,似有进展。2016-05-26(图5)再次显示脂肪间隙模糊,但软组织密度范围缩小。原因有二:①图像采集层面不同;②是否为放疗后改变。必要时在讨论中给予说明。
 
病理科(北京大学肿瘤医院,病理科,李忠武):
 
本病例是经过MDT讨论并严格执行MDT建议较为成功的病例。首先,第一次MDT讨论结论为病理诊断明确,但胸部外科手术难度大,只能以全身化疗及局部放疗为治疗原则。在评估放化疗获益后,以单药维持,减轻了大量化疗引起的毒副反应。另外,病理科的工作在后续治疗中发挥了重要的作用,通过免疫组化的方法检测到EGFR高水平的表达,建议患者入组靶向治疗的临床试验,并最终获益,也真正体现了MDT团队作战的优势。
 
内科(哈尔滨医科大学附属肿瘤医院,消化内科,张艳桥):
 
该患者为局部晚期食管癌,且为上段食管。由于上段食管手术风险大且同步放化疗疗效基本等同于手术。因此,采取放化疗作为首选治疗符合治疗规范。放疗35次预计放疗剂量足够,化疗方案“紫杉醇+奈达铂”也是标准方案,疗效评价PR,治疗成功。不足之处:①3周期化疗略显不足,至少4~6周期,可能会有更好临床效果;②维持治疗在食管癌还没有证据,选择观察也是一个选择,待病情进展后进入二线或参加临床研究。
 
放疗科(复旦大学附属肿瘤医院,放射科,童彤):
 
上段食管癌诊断明确。患者放化疗综合治疗后,疗效评价为PR,患者从同步放化疗方案中获益。低毒的单药氟尿嘧啶类化疗药物替吉奥作为实体瘤的维持治疗方案可能带来延缓疾病进展并提高生存率的获益,且上段食管癌手术难度高,家属要求内科治疗,建议口服替吉奥维持治疗。患者执行MDT意见:给予替吉奥胶囊40mg bid口服化疗,且EGFR检测示:(3+)。第2次MDT经阅片,食管上段软组织肿块影,较替吉奥维持治疗前CT变化不大,疗效评价为SD。埃克替尼二线治疗在EGFR过表达或扩增的晚期食管癌Ⅱ期单臂试点试验中展现出良好的抗肿瘤活性和安全性,该患者EGFR强阳性表达,建议入组埃克替尼食管癌临床试验。
 
 
(环球医学编辑:常路)

免责声明

版权所有©人民卫生出版社有限公司。 本内容由人民卫生出版社审定并提供,其观点并不反映优医迈或默沙东观点,此服务由优医迈与环球医学资讯授权共同提供。

如需转载,请前往用户反馈页面提交说明:https://www.uemeds.cn/personal/feedback

参考资料

来源:《消化系统恶性肿瘤多学科综合治疗经典病例集》

页码:193-196

作者:沈琳 叶颖江

出版:人民卫生出版社

(2)
下载
登录查看完整内容
热门推荐图标
热门推荐
二维码
关注优医迈微信
并绑定账号
即可获得100优点