帕金森老奶奶摔倒后股骨颈骨折 手术后股骨头反复脱位
2021-04-30
889

69岁帕金森老奶奶,摔倒后股骨颈骨折,行手术治疗后出现股骨头的反复脱位,最后放弃治疗。
 
 
【病例介绍】
 
患者女性,69岁,主因“左髋外伤后疼痛伴活动障碍2天”于2017年1月17日急诊入院。患者2天前于家中不慎摔倒,即感左髋部剧烈疼痛,伴左髋关节活动障碍。患者摔倒前无心慌心悸,无头晕及黑蒙。我院髋关节正侧位片诊断为左股骨颈骨折、明显移位。遂收入院治疗。
 
既往史:
 
帕金森病10余年,6年前开始口服多巴丝肼片、吡贝地尔及司来吉兰治疗,症状控制不佳,双下肢关节僵硬,行动迟缓,生活勉强自理。1个月余前于我院神经外科行双侧丘脑底核脑深部电极刺激术,术后症状较前明显缓解,但仍残留肢体轻度震颤。否认高血压病、糖尿病、冠心病史。否认脑梗死、脑出血及阿尔兹海默病。否认食物及药物过敏史。个人史和家族史无特殊。
 
入院查体:
 
体温36.8℃,脉搏80次/min,呼吸18次/min,血压145/63mmHg。心律齐,未闻及病理性杂音,双肺呼吸音清,未闻及干湿啰音,腹软,无压痛及反跳痛,肝脾肋下未触及,肠鸣音4次/min,双下肢无消肿,双侧足背动脉可触及。左下肢短缩约2cm,外展外旋畸形,左髋部压痛,纵向叩击痛(+),左髋部无明显肿胀及皮下瘀青,左下肢感觉无明显异常。双上肢震颤,四肢肌张力均高,姿势平衡及后拉试验因骨折无法检查。
 
辅助检查:
 
血常规:WBC 6.35×109/L,Hb 129g/L,PLT 241×109/L,N% 75.7%。
血生化:GLU 5.4mmol/L,ALB 37g/L,CRE 53μmol/L,BUN 4.1mmol/L,ALT 24U/L,AST 25U/L,K 4.2mmol/L,Na 138.3mmol/L,Cl 102.3mmol/L,Ca 2.14mmol/L,CK 149U/L。
尿常规:无明显异常。
凝血象:D-dimer 790ng/ml,PT 11.2s,APTT 34.1s,INR 0.98。
心肌酶谱:cTn I 0.01ng/ml,MYO 25.6ng/ml,CK-MB 1.4ng/ml。
BNP:128.88pg/ml。
动脉血气分析:pH 7.431,PCO2 38.0mmHg,PO2 80.7mmHg,SaO2 96.0%。
ECG:未见异常。
胸片正位:心影饱满。
UCG:主动脉瓣钙化伴关闭不全(轻),左室舒张功能减退,LVEF 65%。
下肢深静脉B超:双下肢深静脉未见明显异常。
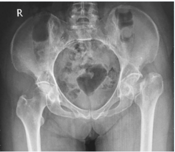
骨盆正位(图1):

图1 
图1 骨盆正位片
左股骨颈骨折,移位明显(Garden Ⅳ型)
 
入院诊断:
 
左股骨颈骨折(Garden Ⅳ型),严重骨质疏松,帕金森病,双侧丘脑底核脑深部电极刺激术后。
 
诊疗经过:
 
患者有外伤史,左髋部疼痛伴活动受限,局部有压痛及纵向叩击痛,结合患者骨盆正位片,左股骨颈骨折诊断明确,移位大,分型为Garden Ⅳ型,有手术治疗指征。患者入院后予以患肢制动,对症止痛,达肝素钠5000IU每日1次预防下肢深静脉血栓,雾化及盐酸氨溴索注射液30mg每日2次化痰预防坠积性肺炎,雷尼替丁150mg每日2次预防应激性溃疡,患者既往无心血管疾病病史,无高血压、糖尿病,入院心肌标志物、BNP、ECG及UCG基本正常,围手术期心肌梗死、心功能不全及恶性心律失常等心血管系统并发症发生率较低;无呼吸系统疾病史,入院WBC、中性粒细胞百分比、胸片及动脉血气分析基本正常,无低蛋白血症,围手术期肺炎、呼吸衰竭等呼吸系统并发症率较低;既往无脑血管病史,无高血压、糖尿病等危险因素,围手术期脑血管意外的发生率较低。患者身体评估有手术的条件。患者既往帕金森病史,双侧丘脑底核脑深部电极刺激术前症状控制不佳,骨折入院时虽然仍有双侧肌张力增高及震颤症状,HY分级2.5级或3级,但不是手术禁忌范围。股骨颈骨折术后有帕金森症状可能加重,髋关节周围肌肉张力增高及不协调会引起股骨头脱位风险升高。但保守治疗骨折无法愈合,疼痛会持续存在,同时长期卧床可引起坠积性肺炎、褥疮等并发症,患者今后生活质量无法保证。患者该骨折类型移位大,复位困难,且高龄,内固定后股骨头坏死及骨折不愈合发生率高,全髋关节置换手术创伤大,并且较半髋关节置换术后脱位率高,经与患者及家属反复沟通后,于2017年1月20日腰麻及辅助静脉镇静下行左侧人工股骨头置换术。术前与神经外科沟通,将丘脑底核脑深部电极刺激器关闭,麻醉时间180分钟,手术时间70分钟,术中失血300ml,未输异体血,术后将丘脑底核脑深部电极刺激器打开,功能正常。术后继续予以达肝素钠5000IU每日1次预防下肢深静脉血栓,雾化及盐酸氨溴索注射液30mg每日2次化痰预防坠积性肺炎,雷尼替丁150mg每日2次预防应激性溃疡。术后第一天拔除引流管,复查骨盆正位相见股骨头位置可,术后第二天扶助步器下地行走活动。术后第四天出院。
 
患者术后2个月于2017年3月24日转身时出现左髋关节疼痛伴活动障碍,25日于我院急诊就诊入院,查体患肢短缩、内收、内旋畸形,X检查示人工股骨头脱位。
 
入院当天于手术室静脉麻醉下试行手法复位未成功,并且出现双动头大、小头分离。后于2017年3月27日腰麻下行切开复位。术中探查关节周围肌张力很高,作部分软组织松解后,下肢牵引复位仍然很困难,手术台上反复牵引达4小时后关节复位才成功,关闭伤口后安返病房。术后即佩戴髋人字支具,左髋关节维持外展外旋位固定。
 
2017年4月13日患者大便时需要擦洗,家属解开支具时再次脱位。由于前次脱位复位极其困难,如切开复位后再次脱位风险高。与家属反复沟通后选择保守治疗,未再行切开复位,2个月后复查发现股骨头处于脱位状态,双动头大小头分离,小头与髂骨之间形成一假关节。目前患者可间断扶助步器下地慢步行走。
 
【病例讨论】
 
髋部骨折是65岁以上老年人常见的骨折类型,我国的发病率没有确切流行病学数据。全球每3秒钟就有1例髋部骨折发生,据国外数据统计,2009年全球约发生150万髋部骨折,近年来发病率逐年升高,预计到2025年约有260万,而这个数据至2050年预计增至450万[1],这其中大约有一半患者为股骨颈骨折患者。我科每年收治的髋部骨折患者数量亦是逐年增加,且平均年龄有逐年增加的趋势。老年人随着年龄的增加,各器官的功能逐渐下降,骨折及麻醉和手术的打击会使得老年髋部骨折患者围手术期各系统并发症发生率显著升高,故做好术前评估工作至关重要,对于尚能耐受手术的患者要积极调整及进行手术治疗,预防卧床相关并发症,改善患者的生活质量,对于无法耐受手术的患者及时选择相应的保守治疗方案,避免造成人财两空的结局。
 
帕金森病是一种神经元变性疾病,最主要的病理改变是中脑黑质多巴胺能神经元的变性死亡,由此而引起纹状体多巴胺含量显著性减少而致病,目前原因不明,主要临床表现为静止性震颤、运动迟缓、肌强直和姿势步态障碍等。发病率根据诊断标准不同而有差异,但据估计,65岁以上老年人发病率约为1%[2]。据文献报道,帕金森病患者骨质疏松发生率较高[3],[4],且此类患者由于步态不稳,跌倒的发生率约为无帕金森病患者的9倍[5],故帕金森病患者更容易发生股骨颈骨折。帕金森病患者的肌肉震颤及肌肉强直,髋关节周围肌力不平衡,髋关节屈曲及内收肌挛缩,使髋关节常处于内收及屈曲状态,增加了术后脱位的风险。文献报道术后6个月内的脱位率最高约为37%[6]。术后其他系统并发症也较高,Mark S. Karadsheh等人对282例患者进行分析后认为,无论移位或非移位型骨折,术后再手术率都高于不合并帕金森病者,同时合并帕金森病者肺炎等术后并发症发生率较高,中位生存期较不合并者明显缩短(31m vs 45m,p=0.007)[7],故帕金森病患者行髋部手术风险较大。
 
对于Garden Ⅲ型或Ⅳ型股骨颈骨折合并帕金森病患者的治疗,是否应行手术治疗曾经有争议。Turcotte的研究认为合并帕金森病的股骨颈骨折患者总体死亡率与不合并者相似,1年总体死亡率约14%左右,但Garden Ⅲ型及Ⅳ型股骨头置换患者死亡率较Ⅰ型及Ⅱ型内固定患者明显升高,药物控制帕金森症状后对减少帕金森患者的死亡率没有改善,同时脱位率也较高[8],故认为合并帕金森病是股骨头置换的禁忌证。相反的,Takahito Yuasa及国内等学者的研究认为合并帕金森病的股骨颈骨折,其术后脱位及术后并发症发生率较不合并帕金森病者无明显升高[9-12],并不作为此类患者手术的绝对禁忌证,但帕金森症状严重者尤其肌张力较高者,其术后脱位风险较高,手术时充分考虑术后脱位及其他并发症的风险。
 
对于GardenⅠ型及Ⅱ型股骨颈骨折患者,目前的研究多数建议采用内固定,但Mark S. Karadsheh等的研究显示,合并帕金森病者内固定失效率也较高(22% vs 5%,p=0.01)[13],一方面由于骨质疏松,另一方面由于髋关节周围肌力不平衡引起内固定失效,同时内固定术后功能恢复也不十分令人满意,据文献报道,内固定术后2年只有6.25%的患者活动范围超过200m[14]。而对于Garden Ⅲ型及Ⅳ型选择全髋关节置换或半髋关节置换,国内外研究结果也不完全一致。全髋关节置换术创伤较半髋关节置换术手术时间长,出血量大,对患者影响较大,但全髋关节使用年限较长,对髋臼磨损较小是其优点。Coughlin的早期研究显示,合并帕金森病的患者行全髋关节置换术术后脱位率可高达37%[6],但该研究进行较早,假体的发展及对于帕金森病的治疗均较现在落后,如此高的脱位率可能与此相关。较近期的研究,如Meek等人的大规模研究显示,全髋关节置换术后一年脱位发生率与不合并者相似[7],国内近期的研究也显示合并帕金森病的患者行人工全髋关节置换术并不显著增加术后脱位的发生率,必要时可使用聚乙烯高边衬垫防止脱位[12]。对于高龄无法耐受全髋关节置换者及术前活动能力较差的患者,可考虑行半髋关节置换术。杨秩、姚振均等人的研究显示对于高龄帕金森病HY分级(Ⅳ级及以下)患者行半髋关节置换术并在必要时行经皮内收肌群松解,术后脱位的发生率与不合并帕金森者相似,Zuckerman LM等人的研究也显示对于高龄帕金森病患者行半髋关节置换术后优良率高,脱位发生率并不明显升高[8,15]。在目前的研究中,未见有髋臼磨损的报道,且帕金森病患者活动能力较差,活动量较小,半髋关节置换能够满足其日常生活,术后功能优良率与全髋关节置换相似。但有研究显示,在股骨头置换术后3年左右因脱位而翻修的病例中可观察到,髋臼磨损严重[9]。目前一般认为对于HY分级Ⅳ级及以下患者选择全髋关节置换术或半髋关节置换术,其依据可参照不合并帕金森病患者,笔者认为对于内收肌群张力过高者可同时行经皮内收肌群松解以减少髋关节周围肌力不平衡可引起的脱位,减少脱位对患者造成的痛苦。
 
对于手术入路的选择也有不同的观点。髋关节置换最常见的入路包括前方入路、外侧及后外侧入路。Mark S等在其研究中发现后外侧入路将后外侧稳定结构破坏,加之内收肌群肌张力高,脱位率较前方入路高[13,16]。但另外一些研究显示,后外侧入路充分修复关节囊等关节周围稳定组织后并不升高术后脱位率[9,17]。而且更换自己熟悉的手术方式会有学习曲线,在未熟练时也会增加手术时间及术中出血量。所以笔者认为应该选择术者最熟悉的手术方式,后外侧入路必要时可行内收肌群松解以平衡髋关节周围肌力。
 
还有一些合并其他神经系统疾病如老年痴呆者,全髋或者半髋关节置换术后由于意识障碍,无法配合术后护理,肢体活动无法控制,有一定的术后脱位概率,故对此类患者行关节置换时也要慎重。
 
本例患者左侧股骨颈骨折,Garden Ⅳ度,既往无高血压、冠心病及糖尿病等心脑血管疾病危险因素,亦无心肌梗死、心力衰竭、心律失常及脑血管事件病史,入院查心电图及心肌酶谱无明显异常,围手术期心脑血管意外发生率较低。患者既往无COPD、哮喘等呼吸系统病史,入院血气无明显异常,无低蛋白血症及意识障碍,围手术期肺炎、呼吸衰竭等呼吸系统并发症发生率较低。根据诺丁汉髋部骨折风险评分(NHFS),该患者评分为3分,术后30天内病死率为3.85%,属于低危组,可行手术治疗。但该患者既往有帕金森病史,双侧丘脑底核脑深部电极刺激术前症状较重,术后仍遗留少量症状,骨折后入院时HY评分2.5级或3级,全髋及半髋置换术后脱位发生率较高,但考虑到手术后可缓解疼痛,减少卧床引起的各种并发症,我们决定手术治疗。患者既往活动能力较差,半髋关节置换术可满足患者日常生活要求,且手术时间较短,出血量较少,对患者整体影响较小,综合考虑后为该患者行了半髋关节置换术,术中未行内收肌群松解。术后第一次脱位后,即使切开、软组织松解后,复位也极其困难,持续牵引无效,遂行了内收肌腱松解,松解后再行持续牵引后复位才成功,各向活动度可,未再脱位。但术后又再次发生脱位,患者及家属放弃了复位治疗,也实属无奈。从本例病例可以看出,合并有帕金森病的股骨颈骨折患者,术后有一定的脱位率,且在行内收肌群松解后仍然有可能发生脱位,所以对于此类患者,尤其症状较重者,行关节置换时一定要慎重。
 
【专家点评】
 
文良元(北京医院骨科 国家老年医学中心 主任医师)
 
本文通过一例老年股骨颈骨折合并帕金森病,行手术治疗后出现股骨头的反复脱位,最后放弃治疗的失败病例,详细阐述了老年股骨颈骨折治疗的原则和治疗选择。同时阐明了老年髋部骨折术前评估的重要性,并且需要详细了解影响手术治疗的各种内科并发症。病例选择很有代表性。随着社会的老龄化,老年人群数量快速增长,老年髋部骨折的发生率也在不断增加。因其高发病率,高死亡率和致残率,髋部骨折越来越成为老年人健康的重要杀手之一。
 
老年髋部骨折主要有两种类型,即股骨颈骨折和股骨转子间骨折。其中股骨颈骨折的发生率略高于转子间骨折。骨折的发生与老年人骨质疏松,尤其是女性及跌倒密切相关。骨折发生后,患者失去了活动的能力,只能卧床,同时还有剧烈的疼痛,容易出现误吸、压疮、泌尿系感染,便秘,及心脑血管并发症。老年人因为年老体弱,骨折前往往合并较多的内科各系统的疾病,骨折后也会有所加重。因为骨折带来这么多问题,所以,股骨颈骨折治疗的目的很明确,即解除患者的疼痛,恢复患者的髋部活动功能,防止各种并发症的发生。目前除了外科手术外,还没有更好的其他办法能达到上述目的。所以,临床上医师会采取各种措施极力促成手术的实施,以达到治疗的目的。术前需要详细的全面检查,仔细询问患者既往病史,从各个系统逐一评估,是否有手术的禁忌,如急性心肌梗死、脑梗死,严重心律失常、心力衰竭等。同时可以把患者各项检查指标放入评估体系中进行计算和打分,以确保手术治疗的安全,如果患者合并有急性的内科疾病,不能早期手术,则需要延缓手术治疗,调整内科状况。
 
手术方法的选择需要根据患者的年龄、身体状况、骨折分类综合考虑。老年股骨颈骨折的分类中包括骨折类型和骨折移位程度。分类能对手术方法的选择提供重要依据,如基底部骨折,不论移位大小,均能保留良好的血运,内固定后能保证骨折愈合,这样治疗就变得更为简单。股骨颈骨折类型通常包括头下型,经颈型和基底型。骨折移位的评估临床常用Garden分型,简单实用。临床对嵌插型骨折和GardenⅠ、Ⅱ型骨折保守治疗还是手术治疗,尚无定论。但患者卧床期间翻身护理或坐起容易引起再移位。
 
原则上,65岁以下年龄段,无论骨折移位程度,首选骨折复位内固定治疗,对65岁以上患者,原则上首选关节置换手术,75岁以下,身体状况良好,活动能力较强的患者,需要选择全髋关节置换术,身体状况欠佳,或75岁以上的患者,首选单纯股骨头置换术。本例患者,69岁,但合并帕金森病多年,身体体质较弱,活动能力低,所以选择了治疗简单,损伤较小的人工股骨头置换术,符合治疗原则。
 
老年人患有神经系统疾病往往肌肉力量弱、协调平衡差,比一般老人更容易跌倒,导致骨折,并且在治疗过程中,如手术,也容易引起原来疾病加重、谵妄、关节脱位等。老年髋部骨折患者常合并神经系统疾病,既影响骨折治疗决策,也影响骨折治疗预后。常见疾病包括急性脑梗死、陈旧脑梗死及后遗症、痴呆、帕金森病等。本例患者就因为帕金森病而导致治疗失败。帕金森病是一种神经元变性疾病,常引起患者静止性震颤、运动迟缓、肌强直和姿势步态障碍,此患者患帕金森病多年,一直用药物控制,效果不佳,后作了电极植入手术,症状得到部分控制。帕金森对股骨颈骨折手术最大的影响是肢体肌肉僵硬和强直,肌张力高,假体植入困难,甚至需要切断部分肌肉以达到松解的目的,这自然会影响术后肌力和功能。并且因为手术和麻醉的影响,术后帕金森病会有所加重。严重的患者因为肌肉、关节僵硬而无法下床活动,只能卧床。帕金森病并不是手术禁忌证,本患者术前也作了相应的评估。本例患者特殊之处在于股骨颈骨折及治疗过程与帕金森病互相产生负面影响。一方面骨折疼痛和手术、麻醉会加重帕金森病,而帕金森病的肌肉、关节痉挛容易引起关节脱位。本患者两次脱位及术中复位困难就说明了问题。
 
本例患者的治疗既是教训,也给我们临床增长了不少经验。股骨颈骨折合并帕金森病患者,术前既要有综合评估,更要重视帕金森病的评估和控制。争取神经内科的专业配合支持。如果帕金森病症状较重,估计术后症状加重后会出现较高的关节脱位概率,甚至不能下床,那么股骨头置换的手术一定要慎之又慎。
 
(孙凤坡 纪泉 文良元)
 
参考文献
 
1.  Hu F,Jiang C,Shen J,et al. Preoperative predictors for mortality following hip fracture surgery:a systematic review and meta-analysis[J]. Injury,2012,43(6):676-685.
2.  RL N,CE E. Alzheimer’s disease and Parkinson’s disease[J]. N Engl J Med,2003,348(14):1356-1364.
3.  Invernizzi M,Carda S,Viscontini GS,et al. Osteoporosis in Parkinson’s disease[J]. Parkinsonism Relat Disord,2009;15(5):339-346.
4.  Torsney KM,Noyce AJ,Doherty KM,et al. Bone health in Parkinson’s disease:a systematic review and metaanalysis[J]. J Neurol Neurosurg Psychiatry,2014,85(10):1159-1166.
5.  BR B,YA G,M C,et al. Prospective assessment of falls in Parkinson’s disease[J]. J Neurol,2001,248(11):950-958.
6.  L C,J T. Hip fractures in patients with Parkinson’s disease[J]. Clin Orthop Relat Res,1980,148:192-195.
7.  Meek RM,Allan DB,McPhillips G,et al. Epidemiology of dislocation after total hip arthroplasty[J]. Clin Orthop Relat Res,2006,447:9-18.
8.  R T,C G,R D,et al. Hip fractures and Parkinson’s disease. A clinical review of 94 fractures treated surgically[J]. Clin Orthop Relat Res,1990,256:1059-1065.
9.  龙浩,董伟强,白波. 人工股骨头置换术后股骨头脱位的原因分析[J]. 中华关节外科杂志(电子版),2009,3(4):463-467.
10.  杨轶,张弛,邵云潮,等. 人工髋关节置换术治疗股骨颈骨折合并帕金森病的疗效[J]. 中华关节外科杂志(电子版),2012,6(4):513-517.
11.  Yuasa T,Maezawa K,Nozawa M,et al. Surgical outcome for hip fractures in patients with and without Parkinson’s[J]. Journal of Orthopaedic Surgery,2013,21(2):151-153.
12.  周义钦,忻慰,周琦,等. 全髋关节置换术治疗髋部疾病合并帕金森病的早期临床评估[J]. 中华关节外科杂志(电子版),2014,8(6):736-740.
13.  Karadsheh MS,Rodriguez EK,Harris MB,et al. Mortality and Revision Surgery Are Increased in Patients With Parkinson’s Disease and Fractures of the Femoral Neck[J]. Clin Orthop Relat Res,2015,473(10):3272-3279.
14.  Londos E,Nilsson LT,Strömqvist B. Internal fixation of femoral neck fractures in Parkinson’s disease 32 patients followed for 2 years[J]. Acta Orthopaedica Scandinavica,1989,60(6):682-685.
15.  GB A,KJ K,ML S,et al. Hip fractures in the elderly:predictors of one year mortality[J]. J Orthop Trauma,1997,11:162-165.
16.  Enocson A,Tidermark J,Tornkvist H,et al. Dislocation of hemiarthroplasty after femoral neck fracture:better outcome after the anterolateral approach in a prospective cohort study on 739 consecutive hips[J]. Acta Orthop,2008,79(2):211-217.
17.  任可,张春才,许硕贵,等. 后方软组织重建预防后路髋关节置换术后关节脱位[J]. 中华现代医学杂志,2006,16(11):1694-1695,1698.
 
 
(环球医学编辑:常路)

免责声明

版权所有©人民卫生出版社有限公司。 本内容由人民卫生出版社审定并提供,其观点并不反映优医迈或默沙东观点,此服务由优医迈与环球医学资讯授权共同提供。

如需转载,请前往用户反馈页面提交说明:https://www.uemeds.cn/personal/feedback

参考资料

来源:《老年疑难危重病例解析》

作者:杨继红

页码:493-499

出版:人民卫生出版社

(0)
下载
登录查看完整内容
热门推荐图标
热门推荐
二维码
关注优医迈微信
并绑定账号
即可获得100优点