66岁女性大便困难还便血 后果很严重
2021-02-19
1315

66岁女性,7个月前无明显诱因出现便血,自服中药治疗,效果不佳。5个月前开始出现排便困难,便后伴出血,未进一步诊治;3周前便血较前加重且伴间断发热,就诊于外院发现直肠肿物,如何进行诊断治疗?
 
(1)病情介绍:
 
基本信息:女,66岁。
 
主诉:发现直肠肿物3周。
 
现病史:7个月前无明显诱因出现便血,主要表现为便后出血,为鲜血,量不多,自服中药治疗,效果不佳,症状反复出现。5个月前开始出现排便困难,大便变细,大便次数增多,5~6次/天,每次量不多,便后伴出血,未进一步诊治。3周前便血较前加重且伴间断发热,右侧臀部及肛周疼痛,就诊于外院,行乙状结肠镜提示距肛缘2cm可见一肿物,占肠腔周径3/4,表面糜烂,阻力大无法进镜。经门诊以“直肠癌”入院。
 
特殊合并症与家族史:高血压病史5年余;5个月前行二尖瓣成形术;2型糖尿病5月余;青霉素及磺胺类药物过敏;无胃肠道肿瘤家族史。
 
体检阳性体征与重要阴性体征:腹部查体阴性;肛查(膝胸位):距肛门口2cm可及肿物,质硬,累及9点钟至6点钟肠壁,表面破溃,伴压痛,未及上缘,退指可见血染。右侧臀部及肛周皮肤僵硬色素沉着伴压痛,轻度红肿,皮温轻度升高。
 
重要辅助检查与影像检查结果:
 
血常规:中性粒细胞升高74.8%。
便潜血:阳性。
肿瘤标记物:正常。
肠镜:进镜即可见增殖性病变,结节不平,长约8cm,累及肠腔约3/4周,表面污秽,糟脆,肠腔狭窄,内镜可通过(图1)。活检病理提示:中分化腺癌。

图1 
图1
 
盆腔MRI:直肠距肛门约2cm处直肠环周增厚,呈结节状突向肠腔,病灶表面凹凸不平,累及长度约8.5cm,局部肠壁僵硬,肠腔变窄,浆膜面毛糙,病灶下极右侧向直肠腔外生长,局部形成软组织肿块,其内可见较大坏死腔。增强扫描可见明显不均匀强化,病变与子宫及阴道后壁脂肪间隙尚存在,骶前可见多发小淋巴结影(图2-A、图2-B)。
图2-A 
图2-A

图2-B 
图2-B
 
腹部CT:未见明显异常,未见肝转移病灶。
 
入院后:开始发热,呈弛张热(图3),最高体温38.6℃,抗感染效果不佳。

图3 
图3
 
诊断:①直肠癌;②肛周软组织感染;③高血压病(高危组);④二尖瓣成形术后;⑤Ⅱ型糖尿病。
 
(2)首次MDT讨论:
 
讨论目的:①肛周及右侧臀部软组织感染与直肠癌的关系?②患者是否应接受新辅助放化疗,时机如何把握?③肛周软组织感染如何处理?
讨论时间:入院后第7天
参与科室:普通外科,消化内科,肿瘤内科,病理科,影像科,放疗科。
 
讨论意见:
 
影像科:患者结合影像学检查考虑低位直肠癌诊断明确,临床分期T4bN+M0,预测环周切缘阳性,肿瘤较大,且侵犯右侧软组织,目前存在局部软组织感染。
 
消化内科:结合肠镜及活检病理结果直肠癌诊断明确。
 
肿瘤内科及放疗科:患者存在新辅助放化疗指征,但目前患者肿瘤造成局部软组织感染,应在感染控制后考虑术前放化疗。
 
普外科:患者考虑低位直肠癌合并右侧肛周软组织感染,目前积极抗感染治疗效果不佳,脓肿形成,可考虑先行近端结肠造口,旷置感染病灶,待感染控制后考虑新辅助放化疗。
 
讨论结论:行腹腔镜乙状结肠造瘘,旷置感染灶,联合抗感染,控制感染后行新辅助放化疗。
 
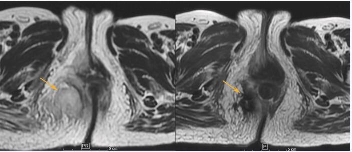
执行情况及治疗结局:治疗经过:入院后第9天行腹腔镜下乙状结肠造瘘术(图4);术后8天肛周感染症状明显缓解:体温正常、局部无压痛;术后11天出院门诊开始新辅助放化疗:长疗程放疗(总剂量45Gy,共5周),联合卡培他滨(1000mg bid ×25天)。放化疗第3周肛周感染症状再次出现:肛周疼痛、局部皮温升高;放化疗第5周中止放化疗。肛周疼痛伴发热,皮肤皮温升高伴波动感,抗感染治疗无效。复查检查:血常规:中性粒细胞比例升高,74.8%;肿瘤标记物:正常;盆腔MRI:肛周感染较前范围明显增大伴脓肿形成,右侧臀部软组织感染(图5)。

图4 
图4

图5 
图5
 
(3)二次MDT讨论:
 
讨论目的:①新辅助放化疗是否继续?②下一步选择何种外科干预?根治手术还是脓肿切开引流?
讨论时间:入院后第3天
参与科室:普通外科,消化内科,肿瘤内科,病理科,影像科,放疗科。
 
讨论意见:
 
影像科:患者目前局部脓肿形成,炎症反应较重。
 
放疗科:患者目前局部感染较重,无法继续新辅助放化疗治疗。
 
普外科:患者肛周脓肿保守治疗无效,需行外科手术干预。考虑到目前病灶创面较大,直接行根治手术创面较大,决定先行脓肿切开引流术。
 
讨论结论:行脓肿切开引流术。
 
执行情况及治疗结局:治疗经过:入院后第4天行脓肿切开引流术;术后28天肛周感染症状消失:体温正常、局部无压痛、切口愈合良好。复查血常规正常;肿瘤标记物正常;盆腔MRI:直肠癌放疗后,与初次MRI对比,病变实性部分减小,强化程度减低,肛周脓肿引流术后(图6-A、图6-B)。

图6-A 
图6-A

图6-B 
图6-B
 
(4)三次MDT讨论:
 
讨论目的:①评估新辅助放化疗疗效;②手术时机是否成熟?
讨论时间:入院后第5天
参与科室:普通外科,消化内科,肿瘤内科,病理科,影像科,放疗科。
 
讨论意见:
 
影像科:患者病灶最大径较前缩小,肛周脓肿病灶已局限化,肿瘤侵犯少量肛提肌,未侵透。
 
肿瘤内科及放疗科:新辅助放化疗有效。
 
普外科:患者目前感染病灶已控制,肿瘤经新辅助治疗后达到了降期目的,已具备根治性切除条件,择期行根治性切除。
 
讨论结论:行经肛提肌外腹会阴切除术。
 
执行情况及治疗结局:治疗经过:入院第9天行经肛提肌外腹会阴切除术:整块切除、保持肛提肌完整切除、病损皮肤一并切除。大体病理检视:直肠系膜完整;肛提肌外切除;环周切缘未见肿瘤残留(图7)。术后病理:病理检查:ypT4aN1a;溃疡型肿物,大小4.5cm×4cm×3.5cm,肌层内可见纤维化、坏死及大片粘液池,仅见少量中分化腺癌残留,残留肿瘤有的可达到肠壁外膜层;环周切缘及远近切缘未见癌;肠周淋巴结可见癌转移(1/18)。术后恢复顺利,术后2周出院。术后根据患者意愿,行CapeOx化疗2周期;单药卡培他滨化疗4周期。治疗结局:术后规律随访3年,未见复发转移征象。

图7 
图7
 
(5)病例点评:
 
内科(北京大学肿瘤医院,消化肿瘤内科,李健):
 
该患者属于低位局部进展期直肠癌合并肛周脓肿病例,优先解除感染因素为后续抗肿瘤治疗创造了机会。该病例如选择短程放疗不知是否可避免长程放疗后期出现的感染再次加重现象?从患者后期的生存随访看,患者获益明显,生活质量未受到影响,提示整体治疗是成功的。
 
外科(中国人民解放军总医院,普外科,杜晓辉):
 
局部进展期低位直肠癌临床上常见,合并肛周脓肿感染少见,尚无临床治疗指南用于参考制定整体治疗方案。T4局部进展期低位直肠癌新辅助放化疗的疗效评价对于手术指征的确定至关重要,需要MDT讨论完成治疗方案的制定。该病例经过3次MDT讨论,给患者制定了合理的个性化的诊治流程,达到了最佳治疗效果,患者预后良好,充分发挥了MDT的诊治优势。
 
放疗科(中国医学科学院肿瘤医院,放疗科,金晶、唐源):
 
诊断上区分了直肠癌和肛周脓肿,采用MRI进行直肠癌分期,为正确治疗打下基础;T4b的下段直肠癌患者,应以降期、提高R0切除、提高局部控制和远期生存为目的,术前长程同步放化疗的选择合理;先造瘘处理肛周脓肿再行肿瘤综合治疗的选择非常正确,体现MDT的智慧,患者最终完成综合治疗,达到R0切除。
 
 
 
北京大学人民医院,胃肠外科,叶颖江、高志冬


 
(环球医学编辑:常路)

免责声明

版权所有©人民卫生出版社有限公司。 本内容由人民卫生出版社审定并提供,其观点并不反映优医迈或默沙东观点,此服务由优医迈与环球医学资讯授权共同提供。

如需转载,请前往用户反馈页面提交说明:https://www.uemeds.cn/personal/feedback

参考资料

来源:《消化系统恶性肿瘤多学科综合治疗经典病例集》

作者:沈琳 叶颖江

页码:78-83

出版:人民卫生出版社

(5)
下载
登录查看完整内容
热门推荐图标
热门推荐
二维码
关注优医迈微信
并绑定账号
即可获得100优点